• Tel: 858.663.9055
  • SeparatorEmail: info@nsjbio.com
  • Tel: 858.663.9055
  • Email: info@nsjbio.com
Home >> Antibodies >> NELF Antibody / NSMF

NELF Antibody / NSMF (RQ8374)

  Catalog No Formulation Size Price (USD)  
Image RQ8374 0.5mg/ml if reconstituted with 0.2ml sterile DI water 100 ug 439
Bulk quote request
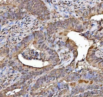
IHC staining of FFPE human colorectal adenocarcinoma tissue with NELF antibody. HIER: boil tissue sections in pH8 EDTA for 20 min and allow to cool before testing.
Western blot testing of 1) human HepG2, 2) human HaCaT, 3) rat liver, 4) rat RH35, 5) rat C6, 6) mouse liver, 7) mouse HEPA1/6 and 8) mouse NIH 3T3 cell lysate with NELF antibody. Predicted molecular weight ~44 kDa and 57-60 kDa (multiple isoforms).
Flow cytometry testing of fixed and permeabilized human HeLa cells with NELF antibody at 1ug/million cells (blocked with goat sera); Red=cells alone, Green=isotype control, Blue= NELF antibody.
Availability 1-3 business days
Species Reactivity Human, Mouse, Rat
Format Antigen affinity purified
Clonality Polyclonal (rabbit origin)
Isotype Rabbit IgG
Purity Antigen affinity purified
Buffer Lyophilized from 1X PBS with 2% Trehalose
UniProt Q6X4W1
Applications Western Blot : 0.5-1ug/ml
Immunohistochemistry (FFPE) : 2-5ug/ml
Flow Cytometry : 1-3ug/million cells
Direct ELISA : 0.1-0.5ug/ml
Limitations This NELF antibody is available for research use only.
Review this product on BioCompare and get a $20 Amazon gift card

Related Products

Description

NMDA receptor synaptonuclear signaling and neuronal migration factor (NSMF), also called Nasal embryonic LHRH factor (NELF), is involved in guidance of olfactory axon projections and migration of luteinizing hormone-releasing hormone neurons. Defects in this gene are a cause of idiopathic hypogonadotropic hypogonadism (IHH). Several transcript variants encoding different isoforms have been found for this gene.

Application Notes

Optimal dilution of the NELF antibody should be determined by the researcher.

Immunogen

An E.coli-derived human recombinant protein (E14-D527) was used as the immunogen for the NELF antibody.

Storage

After reconstitution, the NELF antibody can be stored for up to one month at 4oC. For long-term, aliquot and store at -20oC. Avoid repeated freezing and thawing.

Cross
Bulk Quote Request Form
Name*:
Organization*:
Email*:
Phone Number*:
Catalog No.*:
Comments and Specifics(amount, formulation, etc.)*:
Validation code: Captchapackage Image


Can't read the image? click here to refresh.
    *required field

Your bulk quote request has been submitted successfully!

Please contact us if you have any questions.