• Tel: 858.663.9055
  • SeparatorEmail: info@nsjbio.com
  • Tel: 858.663.9055
  • Email: info@nsjbio.com
Home >> Antibodies >> NEFM Antibody / NF-M / Neurofilament medium

NEFM Antibody / NF-M / Neurofilament medium (FY13056)

  Catalog No Formulation Size Price (USD)  
Image FY13056 Adding 0.2 ml of distilled water will yield a concentration of 500 ug/ml 100 ug 439
Bulk quote request
Immunofluorescent staining of NF-M/NEFM using anti-NEFM antibody (red). NF-M/NEFM was detected in a paraffin-embedded section of mouse brain tissue. Heat mediated antigen retrieval was performed in EDTA buffer (pH 8.0, epitope retrieval solution). The tissue section was blocked with 10% goat serum. The tissue section was then incubated with 5 ug/ml rabbit anti-NEFM antibody overnight at 4oC. Cy3 Conjugated Goat Anti-Rabbit IgG was used as secondary antibody at 1:500 dilution and incubated for 30 minutes at 37oC. The section was counterstained with DAPI nuclear stain (blue). Visualize using a fluorescence microscope and filter sets appropriate for the label used.
Western blot analysis of NF-M/NEFM using anti-NEFM antibody. Electrophoresis was performed on a 8% SDS-PAGE gel at 80V (Stacking gel) / 120V (Resolving gel) for 2 hours. Lane 1: human 293T whole cell lysates, Lane 2: human SH-SY5Y whole cell lysates, Lane 3: rat brain tissue lysates, Lane 4: mouse brain tissue lysates. After electrophoresis, proteins were transferred to a nitrocellulose membrane at 150 mA for 50-90 minutes. Blocked the membrane with 5% non-fat milk/TBS for 1.5 hour at RT. The membrane was incubated with rabbit anti-NEFM antibody at 0.5 ug/ml overnight at 4oC, then washed with TBS-0.1%Tween 3 times with 5 minutes each and probed with a goat anti-rabbit IgG-HRP secondary antibody at a dilution of 1:5000 for 1.5 hour at RT. The signal was developed using an ECL Plus Western Blotting Substrate. A major band is detected at ~150 kDa, higher than the predicted molecular weight of 102 kDa. This migration pattern is well documented for NEFM and reflects its high degree of phosphorylation and extended coiled-coil structure, both of which cause slower electrophoretic mobility. The ~150 kDa band therefore represents the mature, post-translationally modified form of NEFM commonly observed in neuronal cells.
Immunohistochemical staining of NF-M/NEFM using anti-NEFM antibody. NF-M/NEFM was detected in a paraffin-embedded section of mouse brain tissue. Heat mediated antigen retrieval was performed in EDTA buffer (pH 8.0, epitope retrieval solution). The tissue section was blocked with 10% goat serum. The tissue section was then incubated with 2 ug/ml rabbit anti-NEFM antibody overnight at 4oC. Peroxidase Conjugated Goat Anti-rabbit IgG was used as secondary antibody and incubated for 30 minutes at 37oC. The tissue section was developed using an HRP secondary and DAB substrate.
Immunohistochemical staining of NF-M/NEFM using anti-NEFM antibody. NF-M/NEFM was detected in a paraffin-embedded section of rat brain tissue. Heat mediated antigen retrieval was performed in EDTA buffer (pH 8.0, epitope retrieval solution). The tissue section was blocked with 10% goat serum. The tissue section was then incubated with 2 ug/ml rabbit anti-NEFM antibody overnight at 4oC. Peroxidase Conjugated Goat Anti-rabbit IgG was used as secondary antibody and incubated for 30 minutes at 37oC. The tissue section was developed using an HRP secondary and DAB substrate.
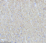
Immunohistochemical staining of NF-M/NEFM using anti-NEFM antibody. NF-M/NEFM was detected in a paraffin-embedded section of rat brain tissue. Heat mediated antigen retrieval was performed in EDTA buffer (pH 8.0, epitope retrieval solution). The tissue section was blocked with 10% goat serum. The tissue section was then incubated with 2 ug/ml rabbit anti-NEFM antibody overnight at 4oC. Peroxidase Conjugated Goat Anti-rabbit IgG was used as secondary antibody and incubated for 30 minutes at 37oC. The tissue section was developed using an HRP secondary and DAB substrate.
Immunohistochemical staining of NF-M/NEFM using anti-NEFM antibody. NF-M/NEFM was detected in a paraffin-embedded section of rat cerebellum tissue. Heat mediated antigen retrieval was performed in EDTA buffer (pH 8.0, epitope retrieval solution). The tissue section was blocked with 10% goat serum. The tissue section was then incubated with 2 ug/ml rabbit anti-NEFM antibody overnight at 4oC. Peroxidase Conjugated Goat Anti-rabbit IgG was used as secondary antibody and incubated for 30 minutes at 37oC. The tissue section was developed using an HRP secondary and DAB substrate.
Immunohistochemical staining of NF-M/NEFM using anti-NEFM antibody. NF-M/NEFM was detected in a paraffin-embedded section of mouse cerebellum tissue. Heat mediated antigen retrieval was performed in EDTA buffer (pH 8.0, epitope retrieval solution). The tissue section was blocked with 10% goat serum. The tissue section was then incubated with 2 ug/ml rabbit anti-NEFM antibody overnight at 4oC. Peroxidase Conjugated Goat Anti-rabbit IgG was used as secondary antibody and incubated for 30 minutes at 37oC. The tissue section was developed using an HRP secondary and DAB substrate.
Immunoprecipitating NF-M/NEFM in SH-SY5Y whole cell lysate. Western blot analysis of NF-M/NEFM using anti-NEFM antibody. Lane 1: SH-SY5Y whole cell lysates (30ug), Lane 2: Rabbit control IgG instead of anti-NEFM antibody in SH-SY5Y whole cell lysate, Lane 3: anti-NEFM antibody (2ug) + SH-SY5Y whole cell lysate (500ug). After electrophoresis, proteins were transferred to a membrane. Then the membrane was incubated with rabbit anti-NEFM antibody at a dilution of 0.5 ug/ml and probed with a goat anti-rabbit IgG-HRP secondary antibody. The signal is developed using ECL Plus Western Blotting Substrate. A specific band was detected for NF-M/NEFM at approximately 160 kDa. The expected molecular weight of NF-M/NEFM is at 102 kDa.
Flow Cytometry analysis of 293T cells using anti-NEFM antibody. Overlay histogram showing 293T cells stained with (Blue line). To facilitate intracellular staining, cells were fixed with 4% paraformaldehyde and permeabilized with permeabilization buffer. The cells were blocked with 10% normal goat serum. And then incubated with rabbit anti-NEFM antibody (1 ug/million cells) for 30 min at 20oC. DyLight 488 conjugated goat anti-rabbit IgG (5-10 ug/million cells) was used as secondary antibody for 30 minutes at 20oC. Isotype control antibody (Green line) was rabbit IgG (1 ug/million cells) used under the same conditions. Unlabelled sample without incubation with primary antibody and secondary antibody (Red line) was used as a blank control.
Immunohistochemical staining of NF-M/NEFM using anti-NEFM antibody. NF-M/NEFM was detected in a paraffin-embedded section of mouse brain tissue. Heat mediated antigen retrieval was performed in EDTA buffer (pH 8.0, epitope retrieval solution). The tissue section was blocked with 10% goat serum. The tissue section was then incubated with 2 ug/ml rabbit anti-NEFM antibody overnight at 4oC. Peroxidase Conjugated Goat Anti-rabbit IgG was used as secondary antibody and incubated for 30 minutes at 37oC. The tissue section was developed using an HRP secondary and DAB substrate.
Flow cytometry analysis of fixed and permeabilized human 293T cells with NEFM antibody at 1ug/million cells (blocked with goat sera); Red=cells alone, Green=isotype control, Blue= NEFM antibody.
Availability 1-2 days
Species Reactivity Human, Mouse, Rat
Format Lyophilized
Clonality Polyclonal (rabbit origin)
Isotype Rabbit IgG
Purity Immunogen affinity purified
Buffer Each vial contains 4 mg Trehalose, 0.9 mg NaCl, 0.2 mg Na2HPO4.
UniProt P07197
Localization Cytoplasm, cytoskeleton
Applications Western Blot : 0.25-0.5ug/ml
Immunohistochemistry : 2-5ug/ml
Immunofluorescence : 5ug/ml
Immunoprecipitation : 2-4ug/500ug of lysate
Flow Cytometry : 1-3ug/million cells
ELISA : 0.1-0.5ug/ml
Limitations This NEFM antibody is available for research use only.
Review this product on BioCompare and get a $20 Amazon gift card

Description

NEFM antibody detects Neurofilament medium polypeptide, also known as NF-M, a critical intermediate filament protein that maintains neuronal structure and axonal integrity. The UniProt recommended name is Neurofilament medium polypeptide (NEFM). This protein is one of the three major neurofilament subunits-light (NEFL), medium (NEFM), and heavy (NEFH)-that assemble into heteropolymers forming the neuronal cytoskeleton.

Functionally, NEFM antibody identifies a 916-amino-acid cytoskeletal protein containing an alpha-helical coiled-coil rod domain and an extensive C-terminal tail rich in phosphorylation sites. NEFM contributes to the structural scaffolding of axons, determining their caliber and conduction velocity. Its phosphorylation regulates filament spacing and interaction with other cytoskeletal components, thereby influencing axonal transport and mechanical stability.

The NEFM gene is located on chromosome 8p21.2 and is highly expressed in neurons of the central and peripheral nervous systems. NEFM is particularly abundant in large myelinated axons, where it associates with microtubules and neurofilament light and heavy chains to form cross-linked filamentous arrays. During development, NEFM expression increases as neurons mature, supporting long-range axonal projection and signal transmission.

In pathology, NEFM serves as a biomarker of axonal injury and neurodegeneration. Elevated NEFM levels are detected in cerebrospinal fluid and plasma of patients with amyotrophic lateral sclerosis (ALS), Alzheimer's disease, and traumatic brain injury, reflecting axonal breakdown. In experimental models, altered NEFM phosphorylation contributes to impaired axonal transport and neurofilament aggregation, features commonly seen in neurodegenerative diseases.

NEFM antibody is widely used in neuroscience, neuropathology, and cytoskeletal biology research. It is suitable for immunohistochemistry, immunofluorescence, and western blotting to detect NF-M localization and integrity in neuronal tissues. This antibody supports studies of axonal structure, neurofilament organization, and neural injury responses. In translational studies, NEFM detection provides a molecular readout of neuroaxonal damage and regeneration.

Structurally, NEFM assembles into 10-nm filaments with a coiled-coil backbone and phosphorylated C-terminal sidearms that control filament spacing and cytoskeletal elasticity. NSJ Bioreagents provides NEFM antibody reagents validated for use in neuronal cytoskeleton, neurodegeneration, and axonal biology research.

Application Notes

Optimal dilution of the NEFM antibody should be determined by the researcher.

Immunogen

E.coli-derived human NF-M/NEFM recombinant protein (Position: Q125-D916) was used as the immunogen for the NEFM antibody.

Storage

After reconstitution, the NEFM antibody can be stored for up to one month at 4oC. For long-term, aliquot and store at -20oC. Avoid repeated freezing and thawing.

Cross
Bulk Quote Request Form
Name*:
Organization*:
Email*:
Phone Number*:
Catalog No.*:
Comments and Specifics(amount, formulation, etc.)*:
Validation code: Captchapackage Image


Can't read the image? click here to refresh.
    *required field

Your bulk quote request has been submitted successfully!

Please contact us if you have any questions.