• Tel: 858.663.9055
  • SeparatorEmail: info@nsjbio.com
  • Tel: 858.663.9055
  • Email: info@nsjbio.com
Home >> Antibodies >> Nedd4 Antibody

Nedd4 Antibody (RQ7237)

  Catalog No Formulation Size Price (USD)  
Image RQ7237 0.5mg/ml if reconstituted with 0.2ml sterile DI water 100 ug 439
Bulk quote request
Immunofluorescent staining of FFPE mouse skeletal muscle with Nedd4 antibody (red) and DAPI nuclear stain (blue). HIER: steam section in pH8 EDTA buffer for 20 min.
IHC staining of FFPE mouse skeletal muscle tissue with Nedd4 antibody. HIER: boil tissue sections in pH8 EDTA for 20 min and allow to cool before testing.
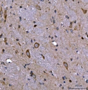
IHC staining of FFPE rat brain tissue with Nedd4 antibody. HIER: boil tissue sections in pH8 EDTA for 20 min and allow to cool before testing.
IHC staining of FFPE rat brain tissue with Nedd4 antibody. HIER: boil tissue sections in pH8 EDTA for 20 min and allow to cool before testing.
Western blot testing of 1) rat L6, 2) mouse skeletal muscle, 3) mouse lung and 4) mouse B16-F10 cell lysate with Nedd4 antibody. Predicted molecular weight ~149 kDa; commonly observed at 110-149 kDa with a possible ~95 kDa cleavage band.
Flow cytometry testing of mouse HEPA1-6 cells with Nedd4 antibody at 1ug/million cells (blocked with goat sera); Red=cells alone, Green=isotype control, Blue= Nedd4 antibody.
Availability 1-3 business days
Species Reactivity Mouse, Rat
Format Antigen affinity purified
Clonality Polyclonal (rabbit origin)
Isotype Rabbit IgG
Purity Antigen affinity purified
Buffer Lyophilized from 1X PBS with 2% Trehalose
UniProt P46935
Localization Cytoplasmic, nuclear, cell membrane
Applications Western Blot : 0.5-1ug/ml
Immunohistochemistry (FFPE) : 2-5ug/ml
Flow Cytometry : 1-3ug/million cells
Direct ELISA : 0.1-0.5ug/ml
Limitations This Nedd4 antibody is available for research use only.
Review this product on BioCompare and get a $20 Amazon gift card

Related Products

  • Applications : WB, IHC, FACS, ELISA
    Reactivity : Human, Mouse
    Pred. Reactivity : Rat
  • Applications : WB, ELISA
    Reactivity : Human
  • Applications : WB, IHC-P, IF, FACS, Direct ELISA
    Reactivity : Human, Rat

Description

E3 ubiquitin-protein ligase NEDD4, also known as neural precursor cell expressed developmentally down-regulated protein 4 (NEDD4), is an enzyme that in humans is encoded by the NEDD4 gene. This gene is the founding member of the NEDD4 family of HECT ubiquitin ligases that function in the ubiquitin proteasome system of protein degradation. The encoded protein contains an N-terminal calcium and phospholipid binding C2 domain followed by multiple tryptophan-rich WW domains and, a C-terminal HECT ubiquitin ligase catalytic domain. It plays critical role in the regulation of a number of membrane receptors, endocytic machinery components and the tumor suppressor PTEN.

Application Notes

Optimal dilution of the Nedd4 antibody should be determined by the researcher.

Immunogen

Recombinant mouse protein (amino acids A7-L655) was used as the immunogen for the Nedd4 antibody.

Storage

After reconstitution, the Nedd4 antibody can be stored for up to one month at 4oC. For long-term, aliquot and store at -20oC. Avoid repeated freezing and thawing.

Cross
Bulk Quote Request Form
Name*:
Organization*:
Email*:
Phone Number*:
Catalog No.*:
Comments and Specifics(amount, formulation, etc.)*:
Validation code: Captchapackage Image


Can't read the image? click here to refresh.
    *required field

Your bulk quote request has been submitted successfully!

Please contact us if you have any questions.