• Tel: 858.663.9055
  • SeparatorEmail: info@nsjbio.com
  • Tel: 858.663.9055
  • Email: info@nsjbio.com
Home >> Antibodies >> Nectin 1 Antibody / PVRL1

Nectin 1 Antibody / PVRL1 (RQ5899)

  Catalog No Formulation Size Price (USD)  
Image RQ5899 0.5mg/ml if reconstituted with 0.2ml sterile DI water 100 ug 439
Bulk quote request
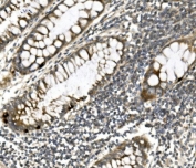
IHC staining of FFPE human rectal cancer with Nectin 1 antibody. HIER: boil tissue sections in pH8 EDTA for 20 min and allow to cool before testing.
IHC staining of FFPE human rectal cancer with Nectin 1 antibody. HIER: boil tissue sections in pH8 EDTA for 20 min and allow to cool before testing.
IHC staining of FFPE rat brain with Nectin 1 antibody. HIER: boil tissue sections in pH8 EDTA for 20 min and allow to cool before testing.
IHC staining of FFPE rat brain with Nectin 1 antibody. HIER: boil tissue sections in pH8 EDTA for 20 min and allow to cool before testing.
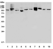
Western blot testing of human 1) HEK293, 2) CCRF-CEM, 3) SW620, 4) U-87 MG, 5) SGC-7901, 6) Jurkat, 7) rat PC-12, 8) mouse spleen, 9) mouse NIH 3T3 and 10) mouse RAW264.7 lysate with Nectin 1 antibody. Predicted molecular weight ~110 kDa.
Flow cytometry testing of human PC-3 cells with Nectin 1 antibody at 1ug/million cells (blocked with goat sera); Red=cells alone, Green=isotype control, Blue= Nectin 1 antibody.
Availability 1-3 business days
Species Reactivity Human, Mouse, Rat
Format Antigen affinity purified
Clonality Polyclonal (rabbit origin)
Isotype Rabbit IgG
Purity Affinity purified
Buffer Lyophilized from 1X PBS with 2% Trehalose and 0.025% sodium azide
UniProt Q15223
Applications Western Blot : 0.5-1ug/ml
Immunohistochemistry : 1-2ug/ml
Flow Cytometry : 1-3ug/million cells
Direct ELISA : 0.1-0.5ug/ml
Limitations This Nectin 1 antibody is available for research use only.
Review this product on BioCompare and get a $20 Amazon gift card

Description

The NECTIN1 gene encodes an adhesion protein that plays a role in the organization of adherens junctions and tight junctions in epithelial and endothelial cells. The protein is a calcium(2+)-independent cell-cell adhesion molecule that belongs to the immunoglobulin superfamily and has 3 extracellular immunoglobulin-like loops, a single transmembrane domain (in some isoforms), and a cytoplasmic region. This protein acts as a receptor for glycoprotein D (gD) of herpes simplex viruses 1 and 2 (HSV-1, HSV-2), and pseudorabies virus (PRV) and mediates viral entry into epithelial and neuronal cells. Mutations in this gene cause cleft lip and palate/ectodermal dysplasia 1 syndrome (CLPED1) as well as non-syndromic cleft lip with or without cleft palate (CL/P). Alternative splicing results in multiple transcript variants encoding proteins with distinct C-termini.

Application Notes

Optimal dilution of the Nectin 1 antibody should be determined by the researcher.

Immunogen

Recombinant human protein (amino acids V32-E237) was used as the immunogen for the Nectin 1 antibody.

Storage

After reconstitution, the Nectin 1 antibody can be stored for up to one month at 4oC. For long-term, aliquot and store at -20oC. Avoid repeated freezing and thawing.

Cross
Bulk Quote Request Form
Name*:
Organization*:
Email*:
Phone Number*:
Catalog No.*:
Comments and Specifics(amount, formulation, etc.)*:
Validation code: Captchapackage Image


Can't read the image? click here to refresh.
    *required field

Your bulk quote request has been submitted successfully!

Please contact us if you have any questions.