• Tel: 858.663.9055
  • SeparatorEmail: info@nsjbio.com
  • Tel: 858.663.9055
  • Email: info@nsjbio.com
Home >> Antibodies >> NEAS Antibody / SPTAN1 / Alpha II Spectrin / Alpha Fodrin

NEAS Antibody / SPTAN1 / Alpha II Spectrin / Alpha Fodrin (RQ6726)

  Catalog No Formulation Size Price (USD)  
Image RQ6726 0.5mg/ml if reconstituted with 0.2ml sterile DI water 100 ug 439
Bulk quote request
Immunofluorescent staining of FFPE human HeLa cells with NEAS antibody (green) and DAPI nuclear stain (blue). HIER: steam section in pH6 citrate buffer for 20 min.
IHC staining of FFPE human Hashimoto's thyroiditis tissue with NEAS antibody. HIER: boil tissue sections in pH8 EDTA for 20 min and allow to cool before testing.
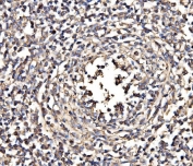
IHC staining of FFPE human testis large B cell tumor tissue with NEAS antibody. HIER: boil tissue sections in pH8 EDTA for 20 min and allow to cool before testing.
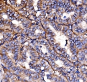
IHC staining of FFPE human thyroid papillary carcinoma tissue with NEAS antibody. HIER: boil tissue sections in pH8 EDTA for 20 min and allow to cool before testing.
IHC staining of FFPE mouse brain tissue with NEAS antibody. HIER: boil tissue sections in pH8 EDTA for 20 min and allow to cool before testing.
IHC staining of FFPE rat brain tissue with NEAS antibody. HIER: boil tissue sections in pH8 EDTA for 20 min and allow to cool before testing.
Western blot testing of 1) rat lung, 2) rat brain, 3) mouse lung, 4) mouse brain and 5) mouse NIH 3T3 cell lysate with NEAS antibody. Predicted molecular weight ~284 kDa.
Flow cytometry testing of human Caco-2 cells with NEAS antibody at 1ug/million cells (blocked with goat sera); Red=cells alone, Green=isotype control, Blue= NEAS antibody.
Availability 1-3 business days
Species Reactivity Human, Mouse, Rat
Format Antigen affinity purified
Clonality Polyclonal (rabbit origin)
Isotype Rabbit IgG
Purity Antigen affinity purified
Buffer Lyophilized from 1X PBS with 2% Trehalose
UniProt Q13813
Localization Cytoplasmic
Applications Western Blot : 1-2ug/ml
Immunohistochemistry (FFPE) : 2-5ug/ml
Immunofluorescence (FFPE) : 5ug/ml
Flow Cytometry : 1-3ug/million cells
Direct ELISA : 0.1-0.5ug/ml
Limitations This NEAS antibody is available for research use only.
Review this product on BioCompare and get a $20 Amazon gift card

Related Products

Description

Alpha II-spectrin, also known as Spectrin alpha chain, brain, Alpha II Spectrin and Alpha Fodrin is a protein that in humans is encoded by the SPTAN1 gene. Spectrins are a family of filamentous cytoskeletal proteins that function as essential scaffold proteins that stabilize the plasma membrane and organize intracellular organelles. Spectrins are composed of alpha and beta dimers that associate to form tetramers linked in a head-to-head arrangement. This gene encodes an alpha spectrin that is specifically expressed in nonerythrocytic cells. The encoded protein has been implicated in other cellular functions including DNA repair and cell cycle regulation. Mutations in this gene are the cause of early infantile epileptic encephalopathy-5. Alternate splicing results in multiple transcript variants.

Application Notes

Optimal dilution of the NEAS antibody should be determined by the researcher.

Immunogen

Recombinant human protein (amino acids E1916-S2472) was used as the immunogen for the NEAS antibody.

Storage

After reconstitution, the NEAS antibody can be stored for up to one month at 4oC. For long-term, aliquot and store at -20oC. Avoid repeated freezing and thawing.

Cross
Bulk Quote Request Form
Name*:
Organization*:
Email*:
Phone Number*:
Catalog No.*:
Comments and Specifics(amount, formulation, etc.)*:
Validation code: Captchapackage Image


Can't read the image? click here to refresh.
    *required field

Your bulk quote request has been submitted successfully!

Please contact us if you have any questions.