• Tel: 858.663.9055
  • SeparatorEmail: info@nsjbio.com
  • Tel: 858.663.9055
  • Email: info@nsjbio.com
Home >> Antibodies >> NDUFV2 Antibody

NDUFV2 Antibody (RQ7370)

  Catalog No Formulation Size Price (USD)  
Image RQ7370 0.5mg/ml if reconstituted with 0.2ml sterile DI water 100 ug 439
Bulk quote request
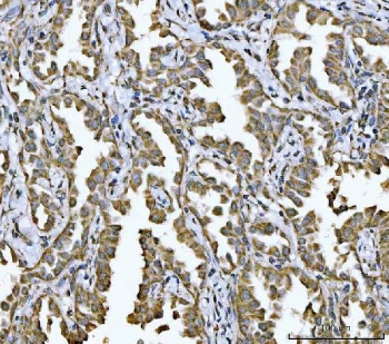
IHC staining of FFPE human lung cancer tissue with NDUFV2 antibody. HIER: boil tissue sections in pH8 EDTA for 20 min and allow to cool before testing.
IHC staining of FFPE human colorectal adenocarcinoma tissue with NDUFV2 antibody. HIER: boil tissue sections in pH8 EDTA for 20 min and allow to cool before testing.
IHC staining of FFPE human esophageal squamous carcinoma tissue with NDUFV2 antibody. HIER: boil tissue sections in pH8 EDTA for 20 min and allow to cool before testing.
Western blot testing of 1) human HeLa, 2) human A549, 3) human HepG2, 4) human ThP-1, 5) human Caco-2, 6) rat heart, 7) rat brain, 8) rat kidney, 9) rat C6, 10) mouse heart, 11) mouse brain, 12) mouse kidney and 13) mouse RAW264.7 cell lysate with NDUFV2 antibody. Predicted molecular weight ~27 kDa.
Flow cytometry testing of human A549 cells with NDUFV2 antibody at 1ug/million cells (blocked with goat sera); Red=cells alone, Green=isotype control, Blue= NDUFV2 antibody.
Immunofluorescent staining of FFPE human rectal cancer tissue with NDUFV2 antibody (red) and DAPI nuclear stain (blue). HIER: steam section in pH6 citrate buffer for 20 min.
Availability 1-3 business days
Species Reactivity Human, Mouse, Rat
Format Antigen affinity purified
Clonality Polyclonal (rabbit origin)
Isotype Rabbit IgG
Purity Antigen affinity purified
Buffer Lyophilized from 1X PBS with 2% Trehalose
UniProt P19404
Localization Cytoplasmic (mitochondria)
Applications Western Blot : 0.5-1ug/ml
Immunohistochemistry (FFPE) : 2-5ug/ml
Flow Cytometry : 1-3ug/million cells
Direct ELISA : 0.1-0.5ug/ml
Immunofluorescence : 5ug/ml
Limitations This NDUFV2 antibody is available for research use only.
Review this product on BioCompare and get a $20 Amazon gift card

Description

NADH dehydrogenase [ubiquinone] flavoprotein 2, mitochondrial (NDUFV2) is an enzyme that in humans is encoded by the NDUFV2 gene. The NADH-ubiquinone oxidoreductase complex (complex I) of the mitochondrial respiratory chain catalyzes the transfer of electrons from NADH to ubiquinone, and consists of at least 43 subunits. The complex is located in the inner mitochondrial membrane. This gene encodes the 24 kDa subunit of complex I, and is involved in electron transfer. Mutations in this gene are implicated in Parkinson's disease, bipolar disorder, schizophrenia, and have been found in one case of early onset hypertrophic cardiomyopathy and encephalopathy. A non-transcribed pseudogene of this locus is found on chromosome 19.

Application Notes

Optimal dilution of the NDUFV2 antibody should be determined by the researcher.

Immunogen

Recombinant human protein (amino acids M1-L249) was used as the immunogen for the NDUFV2 antibody.

Storage

After reconstitution, the NDUFV2 antibody can be stored for up to one month at 4oC. For long-term, aliquot and store at -20oC. Avoid repeated freezing and thawing.

Cross
Bulk Quote Request Form
Name*:
Organization*:
Email*:
Phone Number*:
Catalog No.*:
Comments and Specifics(amount, formulation, etc.)*:
Validation code: Captchapackage Image


Can't read the image? click here to refresh.
    *required field

Your bulk quote request has been submitted successfully!

Please contact us if you have any questions.