• Tel: 858.663.9055
  • SeparatorEmail: info@nsjbio.com
  • Tel: 858.663.9055
  • Email: info@nsjbio.com
Home >> Antibodies >> NDUFS8 Antibody / NADH-ubiquinone oxidoreductase 23 kDa subunit

NDUFS8 Antibody / NADH-ubiquinone oxidoreductase 23 kDa subunit (RQ7236)

  Catalog No Formulation Size Price (USD)  
Image RQ7236 0.5mg/ml if reconstituted with 0.2ml sterile DI water 100 ug 439
Bulk quote request
Western blot testing of 1) rat heart, 2) rat liver, 3) rat skeletal muscle, 4) mouse heart, 5) mouse liver, 6) mouse skeletal muscle and 7) mouse C2C12 cell lysate with NDUFS8 antibody. Expected molecular weight ~23 kDa.
Western blot testing of human 1) HeLa, 2) HepG2, 3) A549, 4) MCF7, 5) Caco-2, 6) PC-3 and 7) 293T cell lysate with NDUFS8 antibody. Expected molecular weight ~23 kDa.
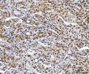
IHC staining of FFPE human liver cancer tissue with NDUFS8 antibody. HIER: boil tissue sections in pH8 EDTA for 20 min and allow to cool before testing.
IHC staining of FFPE mouse heart tissue with NDUFS8 antibody. HIER: boil tissue sections in pH8 EDTA for 20 min and allow to cool before testing.
Immunofluorescent staining of FFPE human liver cancer tissue with NDUFS8 antibody (red) and DAPI nuclear stain (blue). HIER: steam section in pH8 EDTA buffer for 20 min.
Flow cytometry testing of human 293T cells with NDUFS8 antibody at 1ug/million cells (blocked with goat sera); Red=cells alone, Green=isotype control, Blue= NDUFS8 antibody.
Flow cytometry testing of human HeLa cells with NDUFS8 antibody at 1ug/million cells (blocked with goat sera); Red=cells alone, Green=isotype control, Blue= NDUFS8 antibody.
Availability 1-3 business days
Species Reactivity Human, Mouse, Rat
Format Antigen affinity purified
Clonality Polyclonal (rabbit origin)
Isotype Rabbit IgG
Purity Antigen affinity purified
Buffer Lyophilized from 1X PBS with 2% Trehalose
UniProt O00217
Localization Cytoplasmic (mitochondria)
Applications Western Blot : 0.5-1ug/ml
Immunohistochemistry (FFPE) : 2-5ug/ml
Flow Cytometry : 1-3ug/million cells
Direct ELISA : 0.1-0.5ug/ml
Limitations This NDUFS8 antibody is available for research use only.
Review this product on BioCompare and get a $20 Amazon gift card

Related Products

Description

NADH dehydrogenase [ubiquinone] iron-sulfur protein 8, mitochondrial also known as NADH-ubiquinone oxidoreductase 23 kDa subunit, Complex I-23kD (CI-23kD), or TYKY subunit is an enzyme that in humans is encoded by the NDUFS8 gene. This gene encodes a subunit of mitochondrial NADH:ubiquinone oxidoreductase, or Complex I, a multimeric enzyme of the respiratory chain responsible for NADH oxidation, ubiquinone reduction, and the ejection of protons from mitochondria. The encoded protein is involved in the binding of two of the six to eight iron-sulfur clusters of Complex I and, as such, is required in the electron transfer process. Mutations in this gene have been associated with Leigh syndrome.

Application Notes

Optimal dilution of the NDUFS8 antibody should be determined by the researcher.

Immunogen

Recombinant human protein (amino acids M1-R210) was used as the immunogen for the NDUFS8 antibody.

Storage

After reconstitution, the NDUFS8 antibody can be stored for up to one month at 4oC. For long-term, aliquot and store at -20oC. Avoid repeated freezing and thawing.

Cross
Bulk Quote Request Form
Name*:
Organization*:
Email*:
Phone Number*:
Catalog No.*:
Comments and Specifics(amount, formulation, etc.)*:
Validation code: Captchapackage Image


Can't read the image? click here to refresh.
    *required field

Your bulk quote request has been submitted successfully!

Please contact us if you have any questions.