• Tel: 858.663.9055
  • SeparatorEmail: info@nsjbio.com
  • Tel: 858.663.9055
  • Email: info@nsjbio.com
Home >> Antibodies >> NDUFS5 Antibody

NDUFS5 Antibody (RQ7342)

  Catalog No Formulation Size Price (USD)  
Image RQ7342 0.5mg/ml if reconstituted with 0.2ml sterile DI water 100 ug 439
Bulk quote request
Immunofluorescent staining of FFPE human colorectal adenocarcinoma tissue with NDUFS5 antibody (red) and DAPI nuclear stain (blue). HIER: steam section in pH8 EDTA buffer for 20 min.
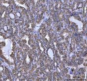
IHC staining of FFPE human thyroid cancer tissue with NDUFS5 antibody. HIER: boil tissue sections in pH8 EDTA for 20 min and allow to cool before testing.
IHC staining of FFPE human colorectal adenocarcinoma tissue with NDUFS5 antibody. HIER: boil tissue sections in pH8 EDTA for 20 min and allow to cool before testing.
IHC staining of FFPE human liver cancer tissue with NDUFS5 antibody. HIER: boil tissue sections in pH8 EDTA for 20 min and allow to cool before testing.
IHC staining of FFPE mouse heart tissue with NDUFS5 antibody. HIER: boil tissue sections in pH8 EDTA for 20 min and allow to cool before testing.
IHC staining of FFPE rat heart tissue with NDUFS5 antibody. HIER: boil tissue sections in pH8 EDTA for 20 min and allow to cool before testing.
Western blot testing of 1) human K562, 2) human HepG2, 3) human RT4, 4) human HeLa, 5) rat liver, 6) rat heart, 7) mouse liver and 8) mouse heart tissue lysate with NDUFS5 antibody. Expected molecular weight: 13-15 kDa.
Flow cytometry testing of human HeLa cells with NDUFS5 antibody at 1ug/million cells (blocked with goat sera); Red=cells alone, Green=isotype control, Blue= NDUFS5 antibody.
Availability 1-3 business days
Species Reactivity Human, Mouse, Rat
Format Antigen affinity purified
Clonality Polyclonal (rabbit origin)
Isotype Rabbit IgG
Purity Antigen affinity purified
Buffer Lyophilized from 1X PBS with 2% Trehalose
UniProt O43920
Localization Cytoplasmic (mitochondria)
Applications Western Blot : 0.5-1ug/ml
Immunohistochemistry (FFPE) : 2-5ug/ml
Flow Cytometry : 1-3ug/million cells
Direct ELISA : 0.1-0.5ug/ml
Limitations This NDUFS5 antibody is available for research use only.
Review this product on BioCompare and get a $20 Amazon gift card

Description

NADH dehydrogenase [ubiquinone] iron-sulfur protein 5 is an enzyme that in humans is encoded by the NDUFS5 gene. This gene is a member of the NADH dehydrogenase (ubiquinone) iron-sulfur protein family. The encoded protein is a subunit of the NADH:ubiquinone oxidoreductase (complex I), the first enzyme complex in the electron transport chain located in the inner mitochondrial membrane. Alternative splicing results in multiple transcript variants and pseudogenes have been identified on chromosomes 1, 4 and 17.

Application Notes

Optimal dilution of the NDUFS5 antibody should be determined by the researcher.

Immunogen

Recombinant human protein (amino acids M1-P106) was used as the immunogen for the NDUFS5 antibody.

Storage

After reconstitution, the NDUFS5 antibody can be stored for up to one month at 4oC. For long-term, aliquot and store at -20oC. Avoid repeated freezing and thawing.

Cross
Bulk Quote Request Form
Name*:
Organization*:
Email*:
Phone Number*:
Catalog No.*:
Comments and Specifics(amount, formulation, etc.)*:
Validation code: Captchapackage Image


Can't read the image? click here to refresh.
    *required field

Your bulk quote request has been submitted successfully!

Please contact us if you have any questions.