• Tel: 858.663.9055
  • SeparatorEmail: info@nsjbio.com
  • Tel: 858.663.9055
  • Email: info@nsjbio.com
Home >> Antibodies >> NDUFS3 Antibody / NADH dehydrogenase ubiquinone iron-sulfur protein 3

NDUFS3 Antibody / NADH dehydrogenase ubiquinone iron-sulfur protein 3 (FY12388)

  Catalog No Formulation Size Price (USD)  
Image FY12388 Adding 0.2 ml of distilled water will yield a concentration of 500 ug/ml 100 ug 439
Bulk quote request
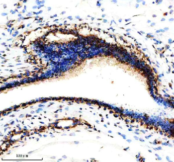
Immunohistochemical staining of NDUFS3 using anti-NDUFS3 antibody. NDUFS3 was detected in a paraffin-embedded section of human breast cancer tissue. Heat mediated antigen retrieval was performed in EDTA buffer (pH 8.0, epitope retrieval solution). The tissue section was blocked with 10% goat serum. The tissue section was then incubated with 2 ug/ml rabbit anti-NDUFS3 antibody overnight at 4oC. Peroxidase Conjugated Goat Anti-rabbit IgG was used as secondary antibody and incubated for 30 minutes at 37oC. The tissue section was developed using an HRP secondary and DAB substrate.
Western blot analysis of NDUFS3 using anti-NDUFS3 antibody. Electrophoresis was performed on a 10% SDS-PAGE gel at 80V (Stacking gel) / 120V (Resolving gel) for 2 hours. Lane 1: human 293T whole cell lysates, Lane 2: human Hela whole cell lysates, Lane 3: human MCF-7 whole cell lysates, Lane 4: human Caco-2 whole cell lysates, Lane 5: rat brain tissue lysates, Lane 6: rat kidney tissue lysates, Lane 7: mouse brain tissue lysates, Lane 8: mouse kidney tissue lysates. After electrophoresis, proteins were transferred to a nitrocellulose membrane at 150 mA for 50-90 minutes. Blocked the membrane with 5% non-fat milk/TBS for 1.5 hour at RT. The membrane was incubated with rabbit anti-NDUFS3 antibody at 0.5 ug/ml overnight at 4oC, then washed with TBS-0.1%Tween 3 times with 5 minutes each and probed with a goat anti-rabbit IgG-HRP secondary antibody at a dilution of 1:5000 for 1.5 hour at RT. The signal was developed using an ECL Plus Western Blotting Substrate. NDUFS3 (~30 kDa predicted precursor) was detected at ~25 kDa, consistent with the cleaved, mature mitochondrial form reported in peer-reviewed studies
Immunohistochemical staining of NDUFS3 using anti-NDUFS3 antibody. NDUFS3 was detected in a paraffin-embedded section of human ovarian cancer tissue. Heat mediated antigen retrieval was performed in EDTA buffer (pH 8.0, epitope retrieval solution). The tissue section was blocked with 10% goat serum. The tissue section was then incubated with 2 ug/ml rabbit anti-NDUFS3 antibody overnight at 4oC. Peroxidase Conjugated Goat Anti-rabbit IgG was used as secondary antibody and incubated for 30 minutes at 37oC. The tissue section was developed using an HRP secondary and DAB substrate.
Immunohistochemical staining of NDUFS3 using anti-NDUFS3 antibody. NDUFS3 was detected in a paraffin-embedded section of rat testis tissue. Heat mediated antigen retrieval was performed in EDTA buffer (pH 8.0, epitope retrieval solution). The tissue section was blocked with 10% goat serum. The tissue section was then incubated with 2 ug/ml rabbit anti-NDUFS3 antibody overnight at 4oC. Peroxidase Conjugated Goat Anti-rabbit IgG was used as secondary antibody and incubated for 30 minutes at 37oC. The tissue section was developed using an HRP secondary and DAB substrate.
Flow Cytometry analysis of CACO-2 cells using anti-NDUFS3 antibody. Overlay histogram showing CACO-2 cells stained with (Blue line). To facilitate intracellular staining, cells were fixed with 4% paraformaldehyde and permeabilized with permeabilization buffer. The cells were blocked with 10% normal goat serum. And then incubated with rabbit anti-NDUFS3 antibody (1 ug/million cells) for 30 min at 20oC. DyLight 488 conjugated goat anti-rabbit IgG (5-10 ug/million cells) was used as secondary antibody for 30 minutes at 20oC. Isotype control antibody (Green line) was rabbit IgG (1 ug/million cells) used under the same conditions. Unlabelled sample without incubation with primary antibody and secondary antibody (Red line) was used as a blank control.
Availability 1-2 days
Species Reactivity Human, Mouse, Rat
Format Lyophilized
Clonality Polyclonal (rabbit origin)
Isotype Rabbit IgG
Purity Immunogen affinity purified
Buffer Each vial contains 4 mg Trehalose, 0.9 mg NaCl, 0.2 mg Na2HPO4.
UniProt O75489
Localization Cytoplasm (Mitochondria)
Applications Western Blot : 0.25-0.5ug/ml
Immunohistochemistry : 2-5ug/ml
Flow Cytometry : 1-3ug/million cells
ELISA : 0.1-0.5ug/ml
Limitations This NDUFS3 antibody is available for research use only.
Review this product on BioCompare and get a $20 Amazon gift card

Related Products

  • Applications : WB
    Reactivity : Human, Mouse, Rat
    Rab Mono Image
  • Applications : WB, ELISA (peptide)
    Reactivity : Human
    Pred. Reactivity : Cow

Description

The NDUFS3 antibody targets NADH dehydrogenase [ubiquinone] iron-sulfur protein 3, a core subunit of mitochondrial Complex I encoded by the NDUFS3 gene. This protein is an essential component of the oxidative phosphorylation (OXPHOS) system that catalyzes electron transfer from NADH to ubiquinone, driving ATP synthesis. NADH dehydrogenase [ubiquinone] iron-sulfur protein 3 contributes to the assembly and stabilization of Complex I and is indispensable for mitochondrial energy metabolism. The NDUFS3 antibody enables researchers to assess mitochondrial function and respiratory chain integrity under physiological and disease conditions.

Complex I, the largest enzyme complex of the electron transport chain, consists of more than 40 subunits organized into functional modules. NDUFS3 forms part of the peripheral arm that houses redox centers responsible for electron transfer. It interacts with other core subunits, including NDUFS2 and NDUFS7, during the assembly of catalytic intermediates. The NDUFS3 antibody supports detailed examination of these interactions, helping to elucidate how mitochondrial protein complexes coordinate ATP production and energy regulation.

Defects in NDUFS3 are associated with mitochondrial complex I deficiency, one of the most common causes of inherited metabolic disorders. Mutations can result in severe encephalomyopathy, cardiomyopathy, or Leigh syndrome, characterized by impaired oxidative phosphorylation and reduced ATP generation. The NDUFS3 antibody is a critical tool for studying such pathologies, allowing detection of expression defects and assessing the impact of genetic variants on mitochondrial function. Immunoblotting with this antibody reveals the presence and stability of Complex I subunits in patient-derived fibroblasts and model organisms.

In addition to its structural role, NADH dehydrogenase [ubiquinone] iron-sulfur protein 3 influences cellular redox balance and reactive oxygen species (ROS) generation. Dysregulation of Complex I components can contribute to oxidative stress, aging, and neurodegenerative diseases such as Parkinson's and Alzheimer's. The NDUFS3 antibody supports investigation of these mechanisms by enabling visualization of mitochondrial protein distribution and expression levels in tissues under oxidative stress or toxin exposure.

The NDUFS3 antibody is validated for western blotting, immunofluorescence, and immunohistochemistry. It yields distinct mitochondrial staining, reflecting its subcellular localization. NSJ Bioreagents provides this antibody with high specificity and reproducibility for applications in bioenergetics, molecular biology, and pathology. By facilitating precise detection of NADH dehydrogenase [ubiquinone] iron-sulfur protein 3, the NDUFS3 antibody supports research into mitochondrial structure, respiratory chain disorders, and mechanisms of energy homeostasis.

Application Notes

Optimal dilution of the NDUFS3 antibody should be determined by the researcher.

Immunogen

E.coli-derived human NDUFS3 recombinant protein (Position: R26-K264) was used as the immunogen for the NDUFS3 antibody.

Storage

After reconstitution, the NDUFS3 antibody can be stored for up to one month at 4oC. For long-term, aliquot and store at -20oC. Avoid repeated freezing and thawing.

Cross
Bulk Quote Request Form
Name*:
Organization*:
Email*:
Phone Number*:
Catalog No.*:
Comments and Specifics(amount, formulation, etc.)*:
Validation code: Captchapackage Image


Can't read the image? click here to refresh.
    *required field

Your bulk quote request has been submitted successfully!

Please contact us if you have any questions.