• Tel: 858.663.9055
  • SeparatorEmail: info@nsjbio.com
  • Tel: 858.663.9055
  • Email: info@nsjbio.com
Home >> Antibodies >> NDUFS3 Antibody

NDUFS3 Antibody [clone ACIG-14] (RQ4783)

  Catalog No Formulation Size Price (USD)  
Image RQ4783 Antibody in PBS with 0.02% sodium azide, 50% glycerol and 0.4-0.5mg/ml BSA 100 ul 439
Microvalidated Rab Mono Image
Bulk quote request
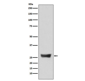
Western blot testing of human 293T cell lysate with NDUFS3 antibody. Predicted molecular weight ~30 kDa.
Availability 1-2 weeks
Species Reactivity Human, Mouse, Rat
Format Purified
Clonality Rabbit Monoclonal
Isotype Rabbit IgG
Clone Name ACIG-14
Purity Affinity purified
UniProt O75489
Applications Western Blot : 1:500-1:2000
Limitations This NDUFS3 antibody is available for research use only.
Review this product on BioCompare and get a $20 Amazon gift card

Related Products

Description

'NADH dehydrogenase [ubiquinone] iron-sulfur protein 3' is a core subunit of the mitochondrial membrane respiratory chain NADH dehydrogenase (Complex I) that is believed to belong to the minimal assembly required for catalysis. Complex I functions in the transfer of electrons from NADH to the respiratory chain. The immediate electron acceptor for the enzyme is believed to be ubiquinone.

Application Notes

Optimal dilution of the NDUFS3 antibody should be determined by the researcher.

Immunogen

A synthetic peptide specific to human NDUFS3 was used as the immunogen for the NDUFS3 antibody.

Storage

Store the NDUFS3 antibody at -20oC.

Cross
Bulk Quote Request Form
Name*:
Organization*:
Email*:
Phone Number*:
Catalog No.*:
Comments and Specifics(amount, formulation, etc.)*:
Validation code: Captchapackage Image


Can't read the image? click here to refresh.
    *required field

Your bulk quote request has been submitted successfully!

Please contact us if you have any questions.