• Tel: 858.663.9055
  • SeparatorEmail: info@nsjbio.com
  • Tel: 858.663.9055
  • Email: info@nsjbio.com
Home >> Antibodies >> NDUFS2 Antibody / NADH dehydrogenase ubiquinone iron-sulfur protein 2

NDUFS2 Antibody / NADH dehydrogenase ubiquinone iron-sulfur protein 2 [clone 30N44] (FY12621)

  Catalog No Formulation Size Price (USD)  
Image FY12621 Rabbit IgG in phosphate buffered saline, pH 7.4, 150mM NaCl, 0.02% sodium azide and 50% glycerol, 0.4-0.5mg/ml BSA 100 ul 439
Microvalidated Recrabbitmono
Bulk quote request
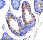
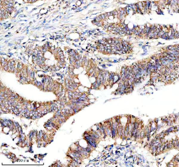
Immunohistochemical staining of NDUF-S2 using anti-NDUF-S2 antibody. NDUF-S2 was detected in a paraffin-embedded section of human colon cancer tissue. Heat mediated antigen retrieval was performed in EDTA buffer (pH 8.0, epitope retrieval solution). The tissue section was blocked with 10% goat serum. The tissue section was then incubated with 1:50 rabbit anti-NDUF-S2 antibody overnight at 4oC. Peroxidase Conjugated Goat Anti-rabbit IgG was used as secondary antibody and incubated for 30 minutes at 37oC. The tissue section was developed using an HRP secondary and DAB substrate.
Western blot analysis of NDUFS2 using anti-NDUFS2 antibody. Lane 1: human Hela whole cell lysates, Lane 2: human TE-1 whole cell lysates, Lane 3: human SH-SY5Y whole cell lysates, Lane 4: rat lung tissue lysates, Lane 5: rat C6 whole cell lysates, Lane 6: mouse lung tissue lysates, Lane 7: mouse Ana-1 whole cell lysates. After electrophoresis, proteins were transferred to a nitrocellulose membrane at 150 mA for 50-90 minutes. Blocked the membrane with 5% non-fat milk/TBS for 1.5 hour at RT. The membrane was incubated with rabbit anti-NDUFS2 antibody at 1:500 overnight at 4oC, then washed with TBS-0.1%Tween 3 times with 5 minutes each and probed with a goat anti-rabbit IgG-HRP secondary antibody at a dilution of 1:5000 for 1.5 hour at RT. The signal was developed using enhanced chemiluminescent. Western blot probed with anti-NDUFS2 shows a strong band at ~43 kDa, lower than the predicted ~53 kDa, consistent with the mature mitochondrial form of NDUFS2 lacking its cleaved N-terminal targeting sequence.
Immunohistochemical staining of NDUF-S2 using anti-NDUF-S2 antibody. NDUF-S2 was detected in a paraffin-embedded section of mouse testis tissue. Heat mediated antigen retrieval was performed in EDTA buffer (pH 8.0, epitope retrieval solution). The tissue section was blocked with 10% goat serum. The tissue section was then incubated with 1:50 rabbit anti-NDUF-S2 antibody overnight at 4oC. Peroxidase Conjugated Goat Anti-rabbit IgG was used as secondary antibody and incubated for 30 minutes at 37oC. The tissue section was developed using an HRP secondary and DAB substrate.
Immunohistochemical staining of NDUF-S2 using anti-NDUF-S2 antibody. NDUF-S2 was detected in a paraffin-embedded section of rat testis tissue. Heat mediated antigen retrieval was performed in EDTA buffer (pH 8.0, epitope retrieval solution). The tissue section was blocked with 10% goat serum. The tissue section was then incubated with 1:50 rabbit anti-NDUF-S2 antibody overnight at 4oC. Peroxidase Conjugated Goat Anti-rabbit IgG was used as secondary antibody and incubated for 30 minutes at 37oC. The tissue section was developed using an HRP secondary and DAB substrate.
Availability 2-3 weeks
Species Reactivity Human, Mouse, Rat
Format Liquid
Clonality Recombinant Rabbit Monoclonal
Isotype Rabbit IgG
Clone Name 30N44
Purity Affinity-chromatography
Buffer Rabbit IgG in phosphate buffered saline, pH 7.4, 150mM NaCl, 0.02% sodium azide and 50% glycerol, 0.4-0.5mg/ml BSA.
UniProt O75306
Localization Cytoplasm
Applications Western Blot : 1:500-1:2000
Immunohistochemistry : 1:50-1:200
Immunoprecipitation : 1:50
Limitations This NDUFS2 antibody is available for research use only.
Review this product on BioCompare and get a $20 Amazon gift card

Related Products

Description

NDUFS2 antibody detects NADH dehydrogenase [ubiquinone] iron-sulfur protein 2, a mitochondrial respiratory chain complex I subunit encoded by the NDUFS2 gene. NDUFS2 is a core catalytic component of complex I, the largest enzyme of the oxidative phosphorylation system. It contains conserved iron-sulfur clusters that mediate electron transfer from NADH to ubiquinone. By supporting this process, NDUFS2 contributes to ATP generation and cellular energy metabolism.

NDUFS2 antibody is widely applied in mitochondrial biology, bioenergetics, and disease research. Complex I dysfunction is a hallmark of mitochondrial disorders, neurodegeneration, and metabolic disease. Detection of NDUFS2 provides a marker for complex I assembly and activity. By monitoring NDUFS2 expression, researchers can study mechanisms underlying mitochondrial dysfunction in conditions such as Leigh syndrome, Parkinson disease, and ischemia reperfusion injury.

Western blot assays detect NDUFS2 protein in mitochondrial fractions, while immunohistochemistry highlights expression in metabolically active tissues such as heart, brain, and muscle. Immunofluorescence reveals punctate mitochondrial staining consistent with its inner membrane localization. These applications allow comprehensive analysis of complex I structure and function.

Mutations in NDUFS2 cause severe mitochondrial disease characterized by impaired energy metabolism, developmental delay, and neurodegeneration. By applying NDUFS2 antibody, scientists can investigate the molecular basis of these disorders and evaluate therapeutic strategies aimed at restoring complex I activity.

Beyond rare genetic disease, NDUFS2 plays roles in hypoxic adaptation, aging, and cancer metabolism. Changes in NDUFS2 expression affect reactive oxygen species production and signaling, linking mitochondrial function to cellular stress responses. The antibody therefore provides a valuable reagent for broad applications in mitochondrial research.

NDUFS2 antibody from NSJ Bioreagents offers strong specificity for detecting this essential complex I subunit, supporting reliable studies of oxidative phosphorylation and disease pathogenesis.

Application Notes

Optimal dilution of the NDUFS2 antibody should be determined by the researcher.

Immunogen

A synthesized peptide derived from human NDUFS2 was used as the immunogen for the NDUFS2 antibody.

Storage

Store the NDUFS2 antibody at -20oC.

Cross
Bulk Quote Request Form
Name*:
Organization*:
Email*:
Phone Number*:
Catalog No.*:
Comments and Specifics(amount, formulation, etc.)*:
Validation code: Captchapackage Image


Can't read the image? click here to refresh.
    *required field

Your bulk quote request has been submitted successfully!

Please contact us if you have any questions.