• Tel: 858.663.9055
  • SeparatorEmail: info@nsjbio.com
  • Tel: 858.663.9055
  • Email: info@nsjbio.com
Home >> Antibodies >> NDUFB8 Antibody

NDUFB8 Antibody (RQ6917)

  Catalog No Formulation Size Price (USD)  
Image RQ6917 0.5mg/ml if reconstituted with 0.2ml sterile DI water 100 ug 439
Bulk quote request
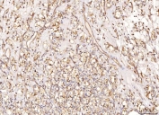
IHC staining of FFPE human smooth muscle fatty carcinoma of the left kidney tissue with NDUFB8 antibody. HIER: boil tissue sections in pH8 EDTA for 20 min and allow to cool before testing.
IHC staining of FFPE human renal clear cell carcinoma tissue with NDUFB8 antibody. HIER: boil tissue sections in pH8 EDTA for 20 min and allow to cool before testing.
IHC staining of FFPE human laryngeal squamous cell carcinoma tissue with NDUFB8 antibody. HIER: boil tissue sections in pH8 EDTA for 20 min and allow to cool before testing.
IHC staining of FFPE mouse brain tissue with NDUFB8 antibody. HIER: boil tissue sections in pH8 EDTA for 20 min and allow to cool before testing.
IHC staining of FFPE rat brain tissue with NDUFB8 antibody. HIER: boil tissue sections in pH8 EDTA for 20 min and allow to cool before testing.
Immunofluorescent staining of FFPE human HepG2 cells with NDUFB8 antibody (green) and DAPI nuclear stain (blue). HIER: steam section in pH6 citrate buffer for 20 min.
Western blot testing of 1) human HeLa, 2) human 293T, 3) human A549, 4) human HepG2, 5) human Caco-2, 6) human U937, 7) human PC-3, 8) human HL60, 9) rat liver, 10) rat heart, 11) mouse liver and 12) mouse heart tissue lysate with NDUFB8 antibody. Expected molecular weight: 18-22 kDa (multiple isoforms).
Flow cytometry testing of human HEL cells with NDUFB8 antibody at 1ug/million cells (blocked with goat sera); Red=cells alone, Green=isotype control, Blue= NDUFB8 antibody.
Availability 1-3 business days
Species Reactivity Human, Mouse, Rat
Format Antigen affinity purified
Clonality Polyclonal (rabbit origin)
Isotype Rabbit IgG
Purity Antigen affinity purified
Buffer Lyophilized from 1X PBS with 2% Trehalose
UniProt O95169
Localization Cytoplasmic (mitochondria)
Applications Western Blot : 0.5-1 ug/ml
Immunohistochemistry (FFPE) : 2-5ug/ml
Immunofluorescence : 5ug/ml
Flow Cytometry : 1-3ug/million cells
Direct ELISA : 0.1-0.5ug/ml
Limitations This NDUFB8 antibody is available for research use only.
Review this product on BioCompare and get a $20 Amazon gift card

Description

NADH dehydrogenase [ubiquinone] 1 beta subcomplex subunit 8, mitochondrial is an enzyme that in humans is encoded by the NDUFB8 gene. Accessory subunit of the mitochondrial membrane respiratory chain NADH dehydrogenase (Complex I), that is believed not to be involved in catalysis. Complex I functions in the transfer of electrons from NADH to the respiratory chain. The immediate electron acceptor for the enzyme is believed to be ubiquinone.

Application Notes

Optimal dilution of the NDUFB8 antibody should be determined by the researcher.

Immunogen

Recombinant human NDUFB8 protein (amino acids M1-I186) was used as the immunogen for the NDUFB8 antibody.

Storage

After reconstitution, the NDUFB8 antibody can be stored for up to one month at 4oC. For long-term, aliquot and store at -20oC. Avoid repeated freezing and thawing.

Cross
Bulk Quote Request Form
Name*:
Organization*:
Email*:
Phone Number*:
Catalog No.*:
Comments and Specifics(amount, formulation, etc.)*:
Validation code: Captchapackage Image


Can't read the image? click here to refresh.
    *required field

Your bulk quote request has been submitted successfully!

Please contact us if you have any questions.