• Tel: 858.663.9055
  • SeparatorEmail: info@nsjbio.com
  • Tel: 858.663.9055
  • Email: info@nsjbio.com
Home >> Antibodies >> NDUFB7 Antibody / NADH:ubiquinone oxidoreductase subunit B7

NDUFB7 Antibody / NADH:ubiquinone oxidoreductase subunit B7 (RQ8099)

  Catalog No Formulation Size Price (USD)  
Image RQ8099 0.5mg/ml if reconstituted with 0.2ml sterile DI water 100 ug 439
Bulk quote request
Immunofluorescent staining of FFPE human breast cancer tissue with NDUFB7 antibody (red) and DAPI nuclear stain (blue). HIER: steam section in pH6 citrate buffer for 20 min.
IHC staining of FFPE human breast cancer tissue with NDUFB7 antibody. HIER: boil tissue sections in pH8 EDTA for 20 min and allow to cool before testing.
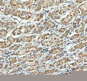
IHC staining of FFPE human liver cancer tissue with NDUFB7 antibody. HIER: boil tissue sections in pH8 EDTA for 20 min and allow to cool before testing.
Western blot testing of 1) human MCF7, 2) human PC-3, 3) human 293T and 4) mouse brain tissue lysate with NDUFB7 antibody. Predicted molecular weight ~16 kDa.
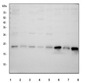
Western blot testing of 1) human MCF7, 2) human HL60, 3) human PC-3, 4) human 293T, 5) rat ovary, 6) rat brain, 7) mouse ovary and 8) mouse brain tissue lysate with NDUFB7 antibody. Predicted molecular weight ~16 kDa.
Immunofluorescent staining of FFPE human tonsil tissue with NDUFB7 antibody (red) and DAPI nuclear stain (blue). HIER: steam section in pH6 citrate buffer for 20 min.
Flow cytometry testing of fixed and permeabilized human U937 cells with NDUFB7 antibody at 1ug/million cells (blocked with goat sera); Red=cells alone, Green=isotype control, Blue= NDUFB7 antibody.
Flow cytometry testing of fixed and permeabilized human PC-3 cells with NDUFB7 antibody at 1ug/million cells (blocked with goat sera); Red=cells alone, Green=isotype control, Blue= NDUFB7 antibody.
Availability 1-3 business days
Species Reactivity Human, Mouse, Rat
Format Antigen affinity purified
Clonality Polyclonal (rabbit origin)
Isotype Rabbit IgG
Purity Antigen affinity purified
Buffer Lyophilized from 1X PBS with 2% Trehalose
UniProt P17568
Localization Cytoplasm
Applications Western Blot : 0.5-1ug/ml
Immunohistochemistry (FFPE) : 2-5ug/ml
Immunofluorescence : 5ug/ml
Flow Cytometry : 1-3ug/million cells
Direct ELISA : 0.1-0.5ug/ml
Limitations This NDUFB7 antibody is available for research use only.
Review this product on BioCompare and get a $20 Amazon gift card

Description

NDUFB7 (NADH:ubiquinone oxidoreductase subunit B7) is a component of mitochondrial complex I, the first and largest enzyme of the oxidative phosphorylation (OXPHOS) system. This nuclear-encoded accessory subunit plays a structural role in stabilizing the multi-subunit complex, which is essential for transferring electrons from NADH to ubiquinone, coupled with proton translocation across the inner mitochondrial membrane.

NDUFB7 contributes to maintaining mitochondrial respiratory efficiency and ATP production. While it is not directly involved in catalysis, its presence is required for the correct assembly and stability of complex I. NDUFB7 is expressed in metabolically active tissues such as heart, brain, and skeletal muscle, making it an important focus in studies of energy metabolism, mitochondrial biology, and bioenergetic disorders.

The NDUFB7 antibody is a dependable tool for detecting endogenous NDUFB7 in applications such as western blot, immunohistochemistry, and immunofluorescence. Researchers use the NDUFB7 antibody from NSJ Bioreagents to study protein expression, evaluate mitochondrial integrity, and investigate complex I function under physiological and experimental conditions. With strong specificity and consistent results, the NDUFB7 antibody supports detailed exploration of mitochondrial structure, respiratory chain assembly, and cellular energy homeostasis.

Application Notes

Optimal dilution of the NDUFB7 antibody should be determined by the researcher.

Immunogen

E. coli-derived recombinant human protein (amino acids M1-R98) was used as the immunogen for the NDUFB7 antibody.

Storage

After reconstitution, the NDUFB7 antibody can be stored for up to one month at 4oC. For long-term, aliquot and store at -20oC. Avoid repeated freezing and thawing.

Cross
Bulk Quote Request Form
Name*:
Organization*:
Email*:
Phone Number*:
Catalog No.*:
Comments and Specifics(amount, formulation, etc.)*:
Validation code: Captchapackage Image


Can't read the image? click here to refresh.
    *required field

Your bulk quote request has been submitted successfully!

Please contact us if you have any questions.