• Tel: 858.663.9055
  • SeparatorEmail: info@nsjbio.com
  • Tel: 858.663.9055
  • Email: info@nsjbio.com
Home >> Antibodies >> NDUFAB1 Antibody / NADH dehydrogenase ubiquinone 1 alpha subcomplex subunit 1

NDUFAB1 Antibody / NADH dehydrogenase ubiquinone 1 alpha subcomplex subunit 1 [clone 30N94] (FY12814)

  Catalog No Formulation Size Price (USD)  
Image FY12814 Rabbit IgG in phosphate buffered saline, pH 7.4, 150mM NaCl, 0.02% sodium azide and 50% glycerol, 0.4-0.5mg/ml BSA 100 ul 439
Microvalidated Recrabbitmono
Bulk quote request
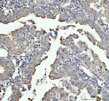
Immunohistochemical staining of NDUFAB1 using anti-NDUFAB1 antibody. NDUFAB1 was detected in a paraffin-embedded section of human colorectal adenocarcinoma tissue. Heat mediated antigen retrieval was performed in EDTA buffer (pH 8.0, epitope retrieval solution). The tissue section was blocked with 10% goat serum. The tissue section was then incubated with 1:50 rabbit anti-NDUFAB1 antibody overnight at 4oC. Peroxidase Conjugated Goat Anti-rabbit IgG was used as secondary antibody and incubated for 30 minutes at 37oC. The tissue section was developed using an HRP secondary and DAB substrate.
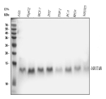
Western blot analysis of NDUFAB1 using anti-NDUFAB1 antibody. Lane 1: human whole cell lysates, Lane 2: human HepG2 whole cell lysates, Lane 3: human MCF-7 whole cell lysates, Lane 4: human 293T whole cell lysates, Lane 5: human THP-1 whole cell lysates, Lane 6: human PC-3 whole cell lysates, Lane 7: rat RH35 whole cell lysates, Lane 8: mouse NIH/3T3 whole cell lysates. After electrophoresis, proteins were transferred to a nitrocellulose membrane at 150 mA for 50-90 minutes. Blocked the membrane with 5% non-fat milk/TBS for 1.5 hour at RT. The membrane was incubated with rabbit anti-NDUFAB1 antibody at 1:500 overnight at 4oC, then washed with TBS-0.1%Tween 3 times with 5 minutes each and probed with a goat anti-rabbit IgG-HRP secondary antibody at a dilution of 1:500 for 1.5 hour at RT. The signal was developed using enhanced chemiluminescent. A specific band at ~14 kDa is observed, consistent with the mature, mitochondrial NDUFAB1 generated after transit-peptide cleavage and bearing the 4'-phosphopantetheine modification.
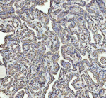
Immunohistochemical staining of NDUFAB1 using anti-NDUFAB1 antibody. NDUFAB1 was detected in a paraffin-embedded section of human thyroid cancer tissue. Heat mediated antigen retrieval was performed in EDTA buffer (pH 8.0, epitope retrieval solution). The tissue section was blocked with 10% goat serum. The tissue section was then incubated with 1:50 rabbit anti-NDUFAB1 antibody overnight at 4oC. Peroxidase Conjugated Goat Anti-rabbit IgG was used as secondary antibody and incubated for 30 minutes at 37oC. The tissue section was developed using an HRP secondary and DAB substrate.
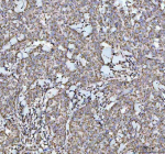
Immunohistochemical staining of NDUFAB1 using anti-NDUFAB1 antibody. NDUFAB1 was detected in a paraffin-embedded section of human breast cancer tissue. Heat mediated antigen retrieval was performed in EDTA buffer (pH 8.0, epitope retrieval solution). The tissue section was blocked with 10% goat serum. The tissue section was then incubated with 1:50 rabbit anti-NDUFAB1 antibody overnight at 4oC. Peroxidase Conjugated Goat Anti-rabbit IgG was used as secondary antibody and incubated for 30 minutes at 37oC. The tissue section was developed using an HRP secondary and DAB substrate.
Immunohistochemical staining of NDUFAB1 using anti-NDUFAB1 antibody. NDUFAB1 was detected in a paraffin-embedded section of human placenta tissue. Heat mediated antigen retrieval was performed in EDTA buffer (pH 8.0, epitope retrieval solution). The tissue section was blocked with 10% goat serum. The tissue section was then incubated with 1:50 rabbit anti-NDUFAB1 antibody overnight at 4oC. Peroxidase Conjugated Goat Anti-rabbit IgG was used as secondary antibody and incubated for 30 minutes at 37oC. The tissue section was developed using an HRP secondary and DAB substrate.
Immunohistochemical staining of NDUFAB1 using anti-NDUFAB1 antibody. NDUFAB1 was detected in a paraffin-embedded section of human testicular germ cell tumor tissue. Heat mediated antigen retrieval was performed in EDTA buffer (pH 8.0, epitope retrieval solution). The tissue section was blocked with 10% goat serum. The tissue section was then incubated with 1:50 rabbit anti-NDUFAB1 antibody overnight at 4oC. Peroxidase Conjugated Goat Anti-rabbit IgG was used as secondary antibody and incubated for 30 minutes at 37oC. The tissue section was developed using an HRP secondary and DAB substrate.
Availability 2-3 weeks
Species Reactivity Human, Mouse, Rat
Format Liquid
Clonality Recombinant Rabbit Monoclonal
Isotype Rabbit IgG
Clone Name 30N94
Purity Affinity-chromatography
Buffer Rabbit IgG in phosphate buffered saline, pH 7.4, 150mM NaCl, 0.02% sodium azide and 50% glycerol, 0.4-0.5mg/ml BSA.
UniProt O14561
Localization Cytoplasm (Mitochondria)
Applications Western Blot : 1:500-1:2000
Immunohistochemistry : 1:50-1:200
Immunoprecipitation : 1:50
Flow Cytometry : 1:50
Limitations This NDUFAB1 antibody is available for research use only.
Review this product on BioCompare and get a $20 Amazon gift card

Description

NDUFAB1 antibody detects NADH dehydrogenase [ubiquinone] 1 alpha subcomplex subunit 1, encoded by the NDUFAB1 gene. Other identifiers include NADH dehydrogenase 1 alpha subcomplex protein 1, acyl carrier protein NDUFAB1, mitochondrial complex I alpha subunit 9, and human homolog of E. coli acyl carrier protein. NDUFAB1 is a mitochondrial matrix protein that plays dual roles in respiratory chain function and fatty acid biosynthesis. As part of NADH:ubiquinone oxidoreductase (complex I), it participates in the first step of the mitochondrial electron transport chain, transferring electrons from NADH to ubiquinone and contributing to proton pumping across the inner mitochondrial membrane. In addition, NDUFAB1 acts as a mitochondrial acyl carrier protein involved in fatty acid and lipoic acid synthesis, integrating energy metabolism with biosynthetic pathways.

NDUFAB1 antibody is widely applied in mitochondrial biology, metabolism, and disease research. Complex I is the largest enzyme complex of the respiratory chain, consisting of over 40 subunits, and NDUFAB1 provides both structural stability and accessory enzymatic functions. By detecting NDUFAB1, researchers can study how mitochondrial respiration couples with biosynthetic pathways to maintain cellular energy homeostasis. The dual functionality of NDUFAB1 highlights its importance beyond electron transport, as it also influences cofactor assembly and post translational modification of metabolic enzymes.

Applications of NDUFAB1 antibody include western blotting, immunohistochemistry, immunofluorescence, and ELISA. Western blotting detects NDUFAB1 protein in mitochondrial fractions, immunohistochemistry maps tissue expression in high energy organs such as heart, brain, and skeletal muscle, and immunofluorescence highlights its localization in mitochondria. These methods allow researchers to connect NDUFAB1 biology to mitochondrial function at both cellular and tissue levels.

Dysfunction of NDUFAB1 or complex I assembly leads to mitochondrial disease. Deficiencies manifest as metabolic syndromes with lactic acidosis, muscle weakness, and neurodegeneration. Altered NDUFAB1 activity has been associated with Leigh syndrome, Parkinson disease, and other mitochondrial disorders. By applying NDUFAB1 antibody, scientists can study how complex I defects contribute to disease progression and explore NDUFAB1 as a diagnostic or therapeutic biomarker.

NDUFAB1 also participates in mitochondrial fatty acid synthesis. This pathway produces acyl chains used for lipoic acid synthesis, essential for pyruvate dehydrogenase and other enzyme complexes. By acting as a mitochondrial acyl carrier protein, NDUFAB1 integrates respiratory function with biosynthetic activity. Detection with antibody based assays helps researchers dissect how mitochondria coordinate catabolism and anabolism.

In cancer research, mitochondrial reprogramming is a hallmark of tumor cells. NDUFAB1 expression influences oxidative phosphorylation and biosynthetic balance, impacting proliferation and survival. Increased NDUFAB1 expression has been observed in some cancers, while reduced activity impairs energy production and cell viability. The antibody therefore provides a tool for studying mitochondrial metabolism in cancer biology.

Beyond disease, NDUFAB1 is studied in physiology, including muscle energetics, neuronal metabolism, and aging. Mitochondrial complex I function declines with age, and NDUFAB1 expression correlates with mitochondrial health. Antibody detection allows evaluation of how this subunit contributes to aging related metabolic changes. NSJ Bioreagents offers NDUFAB1 antibody with strong specificity, ensuring reliable detection of this essential mitochondrial protein across research contexts.

Application Notes

Optimal dilution of the NDUFAB1 antibody should be determined by the researcher.

Immunogen

A synthesized peptide derived from human NDUFAB1 was used as the immunogen for the NDUFAB1 antibody.

Storage

Store the NDUFAB1 antibody at -20oC.

Cross
Bulk Quote Request Form
Name*:
Organization*:
Email*:
Phone Number*:
Catalog No.*:
Comments and Specifics(amount, formulation, etc.)*:
Validation code: Captchapackage Image


Can't read the image? click here to refresh.
    *required field

Your bulk quote request has been submitted successfully!

Please contact us if you have any questions.