• Tel: 858.663.9055
  • SeparatorEmail: info@nsjbio.com
  • Tel: 858.663.9055
  • Email: info@nsjbio.com
Home >> Antibodies >> NCR1 Antibody / NKp46

NCR1 Antibody / NKp46 (RQ7097)

  Catalog No Formulation Size Price (USD)  
Image RQ7097 0.5mg/ml if reconstituted with 0.2ml sterile DI water 100 ug 439
Bulk quote request
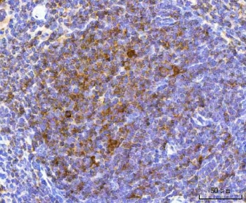
IHC staining of FFPE mouse spleen tissue with NCR1 antibody. HIER: boil tissue sections in pH8 EDTA for 20 min and allow to cool before testing.
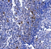
IHC staining of FFPE human tonsil tissue with NCR1 antibody. HIER: boil tissue sections in pH8 EDTA for 20 min and allow to cool before testing.
Availability 1-3 business days
Species Reactivity Human, Mouse
Format Antigen affinity purified
Clonality Polyclonal (rabbit origin)
Isotype Rabbit IgG
Purity Antigen affinity purified
Buffer Lyophilized from 1X PBS with 2% Trehalose
UniProt O76036
Localization Cell membrane
Applications Immunohistochemistry (FFPE) : 2-5ug/ml
Direct ELISA : 0.1-0.5ug/ml
Limitations This NCR1 antibody is available for research use only.
Review this product on BioCompare and get a $20 Amazon gift card

Related Products

  • Applications : WB, IHC-P, ELISA
    Reactivity : Human, Mouse, Rat

Description

Natural cytotoxicity triggering receptor 1 is a protein that in humans is encoded by the NCR1 gene. Predicted to be involved in cellular defense response; regulation of natural killer cell mediated cytotoxicity; and signal transduction. Predicted to act upstream of or within defense response to virus and detection of virus. Predicted to be located in cell surface. Predicted to be part of SWI/SNF complex. Predicted to be active in plasma membrane. Biomarker of acquired immunodeficiency syndrome; anogenital venereal wart; hepatitis C; and lymphoproliferative syndrome.

Application Notes

Optimal dilution of the NCR1 antibody should be determined by the researcher.

Immunogen

Recombinant human protein (amino acids A55-R258) was used as the immunogen for the NCR1 antibody.

Storage

After reconstitution, the NCR1 antibody can be stored for up to one month at 4oC. For long-term, aliquot and store at -20oC. Avoid repeated freezing and thawing.

Cross
Bulk Quote Request Form
Name*:
Organization*:
Email*:
Phone Number*:
Catalog No.*:
Comments and Specifics(amount, formulation, etc.)*:
Validation code: Captchapackage Image


Can't read the image? click here to refresh.
    *required field

Your bulk quote request has been submitted successfully!

Please contact us if you have any questions.