• Tel: 858.663.9055
  • SeparatorEmail: info@nsjbio.com
  • Tel: 858.663.9055
  • Email: info@nsjbio.com
Home >> Antibodies >> NCF1 Antibody / Neutrophil cytosolic factor 1 / p47phox

NCF1 Antibody / Neutrophil cytosolic factor 1 / p47phox (FY12342)

  Catalog No Formulation Size Price (USD)  
Image FY12342 Adding 0.2 ml of distilled water will yield a concentration of 500 ug/ml 100 ug 439
Bulk quote request
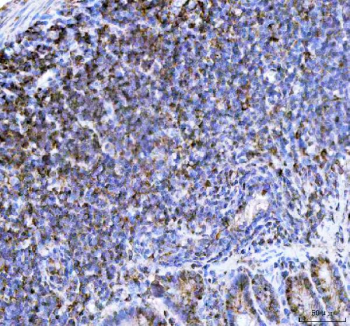
Immunohistochemical staining of NCF1 using anti- NCF1 antibody. NCF1 was detected in a paraffin-embedded section of rat lymph tissue. Heat mediated antigen retrieval was performed in EDTA buffer (pH 8.0, epitope retrieval solution). The tissue section was blocked with 10% goat serum. The tissue section was then incubated with 2 ug/ml rabbit anti- NCF1 antibody overnight at 4oC. Peroxidase Conjugated Goat Anti-rabbit IgG was used as secondary antibody and incubated for 30 minutes at 37oC. The tissue section was developed using an HRP secondary and DAB substrate.
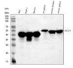
Western blot analysis of NCF1 using anti- NCF1 antibody. Lane 1: human Raji whole cell lysates, Lane 2: human THP-1 whole cell lysates, Lane 3: human Ramos whole cell lysates, Lane 4: rat spleen tissue lysates, Lane 5: mouse thymus tissue lysates, Lane 6: mouse spleen tissue lysates. After electrophoresis, proteins were transferred to a nitrocellulose membrane at 150 mA for 50-90 minutes. Blocked the membrane with 5% non-fat milk/TBS for 1.5 hour at RT. The membrane was incubated with rabbit anti- NCF1 antibody at 0.5 ug/ml overnight at 4oC, then washed with TBS-0.1%Tween 3 times with 5 minutes each and probed with a goat anti-rabbit IgG-HRP secondary antibody at a dilution of 1:5000 for 1.5 hour at RT. The signal was developed using enhanced chemiluminescent. The expected molecular weight of NCF1 is ~45 kDa.
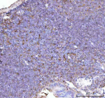
Immunohistochemical staining of NCF1 using anti- NCF1 antibody. NCF1 was detected in a paraffin-embedded section of mouse lymph tissue. Heat mediated antigen retrieval was performed in EDTA buffer (pH 8.0, epitope retrieval solution). The tissue section was blocked with 10% goat serum. The tissue section was then incubated with 2 ug/ml rabbit anti- NCF1 antibody overnight at 4oC. Peroxidase Conjugated Goat Anti-rabbit IgG was used as secondary antibody and incubated for 30 minutes at 37oC. The tissue section was developed using an HRP secondary and DAB substrate.
Flow Cytometry analysis of THP-1 cells using anti- NCF1 antibody. Overlay histogram showing THP-1 cells stained with (Blue line). To facilitate intracellular staining, cells were fixed with 4% paraformaldehyde and permeabilized with permeabilization buffer. The cells were blocked with 10% normal goat serum. And then incubated with rabbit anti- NCF1 antibody (1 ug/million cells) for 30 min at 20oC. DyLight 488 conjugated goat anti-rabbit IgG (5-10 ug/million cells) was used as secondary antibody for 30 minutes at 20oC. Isotype control antibody (Green line) was rabbit IgG (1 ug/million cells) used under the same conditions. Unlabelled sample (Red line) was also used as a control.
Immunofluorescent staining of NCF1 using anti-NCF1 antibody (red). NCF1 was detected in a paraffin-embedded section of mouse lymph node tissue. Heat mediated antigen retrieval was performed in EDTA buffer (pH 8.0, epitope retrieval solution). The tissue section was blocked with 10% goat serum. The tissue section was then incubated with 5 ug/ml rabbit anti-NCF1 antibody overnight at 4oC. DyLight 594 Conjugated Goat Anti-Rabbit IgG was used as secondary antibody at 1:500 dilution and incubated for 30 minutes at 37oC. The section was counterstained with DAPI nuclear stain (blue). Visualize using a fluorescence microscope and filter sets appropriate for the label used.
Immunofluorescent staining of NCF1 using anti-NCF1 antibody (red). NCF1 was detected in a paraffin-embedded section of rat lymph node tissue. Heat mediated antigen retrieval was performed in EDTA buffer (pH 8.0, epitope retrieval solution). The tissue section was blocked with 10% goat serum. The tissue section was then incubated with 5 ug/ml rabbit anti-NCF1 antibody overnight at 4oC. DyLight 594 Conjugated Goat Anti-Rabbit IgG was used as secondary antibody at 1:500 dilution and incubated for 30 minutes at 37oC. The section was counterstained with DAPI nuclear stain (blue). Visualize using a fluorescence microscope and filter sets appropriate for the label used.
Availability 1-2 days
Species Reactivity Human, Mouse, Rat
Format Lyophilized
Clonality Polyclonal (rabbit origin)
Isotype Rabbit IgG
Purity Immunogen affinity purified
Buffer Each vial contains 4 mg Trehalose, 0.9 mg NaCl, 0.2 mg Na2HPO4.
UniProt P14598
Localization Cytoplasmic
Applications ELISA : 0.1-0.5ug/ml
Flow Cytometry : 1-3ug/million cells
Immunofluorescence : 5ug/ml
Immunohistochemistry : 2-5ug/ml
Western Blot : 0.25-0.5ug/ml
Limitations This NCF1 antibody is available for research use only.
Review this product on BioCompare and get a $20 Amazon gift card

Related Products

  • Applications : WB, ELISA (peptide)
    Reactivity : Human, Mouse, Rat
    Pred. Reactivity : Dog, Pig, Cow
  • Applications : WB, IHC-P, ELISA (peptide)
    Reactivity : Human, Mouse, Pig
    Pred. Reactivity : Rat, Cow, Rabbit

Description

The NCF1 antibody targets Neutrophil cytosolic factor 1, a cytoplasmic component of the NADPH oxidase complex responsible for generating reactive oxygen species (ROS) during immune responses. Encoded by the NCF1 gene, this protein, also known as p47phox, acts as an organizer subunit that bridges cytosolic oxidase components with the membrane-bound catalytic core. The NCF1 antibody is a vital reagent for understanding how oxidative bursts are initiated in phagocytes and how these processes regulate host defense, inflammation, and redox signaling.

Neutrophil cytosolic factor 1 becomes phosphorylated upon cellular activation, prompting its translocation to the plasma membrane where it associates with p22phox, gp91phox (CYBB), and other subunits to assemble the active NADPH oxidase complex. This enzymatic system produces superoxide radicals essential for microbial killing. The NCF1 antibody enables detection of this phosphorylation-dependent activation and helps identify conditions that modulate oxidase assembly.

Genetic defects in NCF1 lead to chronic granulomatous disease (CGD), a primary immunodeficiency characterized by recurrent infections due to defective superoxide generation. In such patients, mutations often cause reduced or absent p47phox expression. Using the NCF1 antibody, researchers can distinguish functional versus nonfunctional protein forms, aiding in diagnostic and mechanistic studies of CGD. Beyond innate immunity, Neutrophil cytosolic factor 1 also contributes to redox-dependent signaling in endothelial and neuronal cells, highlighting its importance beyond phagocytes.

The NCF1 antibody is suitable for western blotting, immunoprecipitation, and flow cytometry, where it detects both total and phosphorylated protein forms. Its applications extend to studies examining oxidative stress, cell signaling cascades, and inflammatory pathway regulation. Because NADPH oxidase activity affects vascular tone, apoptosis, and cytokine production, NCF1 has broad physiological relevance. The antibody provides a reliable means to quantify expression changes under oxidative or inflammatory stress.

In oncology and cardiovascular research, aberrant activation of NCF1-containing complexes has been associated with chronic inflammation and tissue damage. Elevated expression may amplify ROS production, promoting DNA damage and tumorigenesis. Conversely, impaired function can weaken immune defense and tissue repair. The NCF1 antibody offered by NSJ Bioreagents supports detailed exploration of these opposing roles, helping define how redox balance influences health and disease.

By providing consistent detection across multiple platforms, the NCF1 antibody remains an essential reagent for studying oxidative metabolism and immune cell function. Its use continues to expand from immunology into neurobiology and cancer biology, where understanding reactive oxygen mechanisms is increasingly central to therapeutic innovation.

Application Notes

Optimal dilution of the NCF1 antibody should be determined by the researcher.

Immunogen

E.coli-derived human p47 phox/NCF1 recombinant protein (Position: Q22-R384) was used as the immunogen for the NCF1 antibody.

Storage

After reconstitution, the NCF1 antibody can be stored for up to one month at 4oC. For long-term, aliquot and store at -20oC. Avoid repeated freezing and thawing.

Cross
Bulk Quote Request Form
Name*:
Organization*:
Email*:
Phone Number*:
Catalog No.*:
Comments and Specifics(amount, formulation, etc.)*:
Validation code: Captchapackage Image


Can't read the image? click here to refresh.
    *required field

Your bulk quote request has been submitted successfully!

Please contact us if you have any questions.