• Tel: 858.663.9055
  • SeparatorEmail: info@nsjbio.com
  • Tel: 858.663.9055
  • Email: info@nsjbio.com
Home >> Antibodies >> NCBP2 Antibody / Nuclear cap-binding protein subunit 2 / CBP20

NCBP2 Antibody / Nuclear cap-binding protein subunit 2 / CBP20 (RQ8365)

  Catalog No Formulation Size Price (USD)  
Image RQ8365 0.5mg/ml if reconstituted with 0.2ml sterile DI water 100 ug 439
Bulk quote request
IHC staining of FFPE human bladder urothelial carcinoma tissue with c-Kit antibody. HIER: boil tissue sections in pH8 EDTA for 20 min and allow to cool before testing.
IHC staining of FFPE human adrenocortical adenoma tissue with c-Kit antibody. HIER: boil tissue sections in pH8 EDTA for 20 min and allow to cool before testing.
Immunofluorescent staining of FFPE human A549 cells with NCBP2 antibody (red). HIER: steam section in pH6 citrate buffer for 20 min.
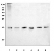
Western blot testing of 1) human CCRF-CEM, 2) human HeLa, 3) human U-251, 4) human SH-SY5Y, 5) rat C6 and 6) mouse NIH 3T3 cell lysate with NCBP2 antibody. Predicted molecular weight ~18 kDa.
Flow cytometry testing of fixed and permeabilized human U-251 cells with NCBP2 antibody at 1ug/million cells (blocked with goat sera); Red=cells alone, Green=isotype control, Blue= NCBP2 antibody.
Availability 1-3 business days
Species Reactivity Human, Mouse, Rat
Format Antigen affinity purified
Clonality Polyclonal (rabbit origin)
Isotype Rabbit IgG
Purity Antigen affinity purified
Buffer Lyophilized from 1X PBS with 2% Trehalose
UniProt P52298
Localization Nuclear, cytoplasmic
Applications Western Blot : 0.5-1ug/ml
Immunohistochemistry (FFPE) : 2-5ug/ml
Immunofluorescence : 5ug/ml
Flow Cytometry : 1-3ug/million cells
ELISA : 0.1-0.5ug/ml
Limitations This NCBP2 antibody is available for research use only.
Review this product on BioCompare and get a $20 Amazon gift card

Description

The product of this gene is a component of the nuclear cap-binding protein complex (CBC), which binds to the monomethylated 5' cap of nascent pre-mRNA in the nucleoplasm. The encoded protein has an RNP domain commonly found in RNA binding proteins, and contains the cap-binding activity. The CBC promotes pre-mRNA splicing, 3'-end processing, RNA nuclear export, and nonsense-mediated mRNA decay. Multiple transcript variants encoding different isoforms have been found for this gene.

Application Notes

Optimal dilution of the NCBP2 antibody should be determined by the researcher.

Immunogen

An E.coli-derived human recombinant protein (S2-N102) was used as the immunogen for the NCBP2 antibody.

Storage

After reconstitution, the NCBP2 antibody can be stored for up to one month at 4oC. For long-term, aliquot and store at -20oC. Avoid repeated freezing and thawing.

Cross
Bulk Quote Request Form
Name*:
Organization*:
Email*:
Phone Number*:
Catalog No.*:
Comments and Specifics(amount, formulation, etc.)*:
Validation code: Captchapackage Image


Can't read the image? click here to refresh.
    *required field

Your bulk quote request has been submitted successfully!

Please contact us if you have any questions.