• Tel: 858.663.9055
  • SeparatorEmail: info@nsjbio.com
  • Tel: 858.663.9055
  • Email: info@nsjbio.com
Home >> Antibodies >> NBR1 Antibody / Neighbor of BRCA1 gene 1 protein

NBR1 Antibody / Neighbor of BRCA1 gene 1 protein (RQ8125)

  Catalog No Formulation Size Price (USD)  
Image RQ8125 0.5mg/ml if reconstituted with 0.2ml sterile DI water 100 ug 439
Bulk quote request
Immunofluorescent staining of FFPE human A549 cells with NBR1 antibody (red) and Beta Tubulin mAb (green). HIER: steam section in pH6 citrate buffer for 20 min.
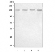
Western blot testing of 1) human HeLa, 2) human HepG2, 3) human K562 and 4) monkey COS-7 cell lysate with NBR1 antibody. Predicted molecular weight ~107 kDa, can be observed at ~140 kDa.
Flow cytometry testing of fixed and permeabilized human MCF7 cells with NBR1 antibody at 1ug/million cells (blocked with goat sera); Red=cells alone, Green=isotype control, Blue= NBR1 antibody.
Availability 1-3 business days
Species Reactivity Human, Monkey
Format Antigen affinity purified
Clonality Polyclonal (rabbit origin)
Isotype Rabbit IgG
Purity Antigen affinity purified
Buffer Lyophilized from 1X PBS with 2% Trehalose
UniProt Q14596
Localization Cytoplasmic, nuclear
Applications Western Blot : 0.5-1ug/ml
Immunofluorescence : 5ug/ml
Flow Cytometry : 1-3ug/million cells
Direct ELISA : 0.1-0.5ug/ml
Limitations This NBR1 antibody is available for research use only.
Review this product on BioCompare and get a $20 Amazon gift card

Description

Neighbor of BRCA1 gene 1 protein is a protein that in humans is encoded by the NBR1 gene. The protein encoded by this gene was originally identified as an ovarian tumor antigen monitored in ovarian cancer. The encoded protein contains a B-box/coiled-coil motif, which is present in many genes with transformation potential. It functions as a specific autophagy receptor for the selective autophagic degradation of peroxisomes by forming intracellular inclusions with ubiquitylated autophagic substrates. This gene is located on a region of chromosome 17q21.1 that is in close proximity to the BRCA1 tumor suppressor gene. Alternative splicing of this gene results in multiple transcript variants.

Application Notes

Optimal dilution of the NBR1 antibody should be determined by the researcher.

Immunogen

E. coli-derived recombinant human protein (amino acids M1-H665) was used as the immunogen for the NBR1 antibody.

Storage

After reconstitution, the NBR1 antibody can be stored for up to one month at 4oC. For long-term, aliquot and store at -20oC. Avoid repeated freezing and thawing.

Cross
Bulk Quote Request Form
Name*:
Organization*:
Email*:
Phone Number*:
Catalog No.*:
Comments and Specifics(amount, formulation, etc.)*:
Validation code: Captchapackage Image


Can't read the image? click here to refresh.
    *required field

Your bulk quote request has been submitted successfully!

Please contact us if you have any questions.