• Tel: 858.663.9055
  • SeparatorEmail: info@nsjbio.com
  • Tel: 858.663.9055
  • Email: info@nsjbio.com
Home >> Antibodies >> NAXE Antibody / NAD(P)HX epimerase

NAXE Antibody / NAD(P)HX epimerase (FY12412)

  Catalog No Formulation Size Price (USD)  
Image FY12412 Adding 0.2 ml of distilled water will yield a concentration of 500 ug/ml 100 ug 439
Bulk quote request
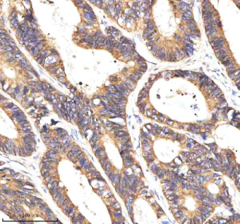
Immunohistochemical staining of NAXE using anti-NAXE antibody. NAXE was detected in a paraffin-embedded section of human colon cancer tissue. Heat mediated antigen retrieval was performed in EDTA buffer (pH 8.0, epitope retrieval solution). The tissue section was blocked with 10% goat serum. The tissue section was then incubated with 2 ug/ml rabbit anti-NAXE antibody overnight at 4oC. Peroxidase Conjugated Goat Anti-rabbit IgG was used as secondary antibody and incubated for 30 minutes at 37oC. The tissue section was developed using an HRP secondary and DAB substrate.
Western blot analysis of NAXE using anti-NAXE antibody. Lane 1: human THP-1 whole cell lysates, Lane 2: rat heart tissue lysates, Lane 3: rat kidney tissue lysates, Lane 4: rat liver tissue lysates, Lane 5: mouse heart tissue lysates, Lane 6: mouse kidney tissue lysates, Lane 7: mouse liver tissue lysaets. After electrophoresis, proteins were transferred to a nitrocellulose membrane at 150 mA for 50-90 minutes. Blocked the membrane with 5% non-fat milk/TBS for 1.5 hour at RT. The membrane was incubated with rabbit anti-NAXE antibody at 0.5 ug/ml overnight at 4oC, then washed with TBS-0.1%Tween 3 times with 5 minutes each and probed with a goat anti-rabbit IgG-HRP secondary antibody at a dilution of 1:5000 for 1.5 hour at RT. The signal was developed using enhanced chemiluminescent. NAXE (~32 kDa predicted) was detected as a single band at ~26-27 kDa, consistent with the mature processed form lacking the N-terminal mitochondrial targeting peptide.
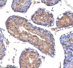
Immunohistochemical staining of NAXE using anti-NAXE antibody. NAXE was detected in a paraffin-embedded section of mouse testis tissue. Heat mediated antigen retrieval was performed in EDTA buffer (pH 8.0, epitope retrieval solution). The tissue section was blocked with 10% goat serum. The tissue section was then incubated with 2 ug/ml rabbit anti-NAXE antibody overnight at 4oC. Peroxidase Conjugated Goat Anti-rabbit IgG was used as secondary antibody and incubated for 30 minutes at 37oC. The tissue section was developed using an HRP secondary and DAB substrate.
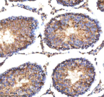
Immunohistochemical staining of NAXE using anti-NAXE antibody. NAXE was detected in a paraffin-embedded section of rat testis tissue. Heat mediated antigen retrieval was performed in EDTA buffer (pH 8.0, epitope retrieval solution). The tissue section was blocked with 10% goat serum. The tissue section was then incubated with 2 ug/ml rabbit anti-NAXE antibody overnight at 4oC. Peroxidase Conjugated Goat Anti-rabbit IgG was used as secondary antibody and incubated for 30 minutes at 37oC. The tissue section was developed using an HRP secondary and DAB substrate.
Flow Cytometry analysis of HEL cells using anti-NAXE antibody. Overlay histogram showing HEL cells stained with (Blue line). The cells were fixed with 4% paraformaldehyde and blocked with 10% normal goat serum. And then incubated with rabbit anti-NAXE antibody (1 ug/million cells) for 30 min at 20oC. DyLight 488 conjugated goat anti-rabbit IgG (5-10 ug/million cells) was used as secondary antibody for 30 minutes at 20oC. Isotype control antibody (Green line) was rabbit IgG (1 ug/million cells) used under the same conditions. Unlabelled sample without incubation with primary antibody and secondary antibody (Red line) was used as a blank control.
Availability 1-2 days
Species Reactivity Human, Mouse, Rat
Format Lyophilized
Clonality Polyclonal (rabbit origin)
Isotype Rabbit IgG
Purity Immunogen affinity purified
Buffer Each vial contains 4 mg Trehalose, 0.9 mg NaCl, 0.2 mg Na2HPO4.
UniProt Q8NCW5
Localization Cytoplasm (Mitochondria), Secreted
Applications Western Blot : 0.25-0.5ug/ml
Immunohistochemistry : 2-5ug/ml
Flow Cytometry : 1-3ug/million cells
ELISA : 0.1-0.5ug/ml
Limitations This NAXE antibody is available for research use only.
Review this product on BioCompare and get a $20 Amazon gift card

Description

The NAXE antibody targets NAD(P)HX epimerase, an enzyme encoded by the NAXE gene that catalyzes the interconversion of the R and S epimers of NADHX and NADPHX. These damaged forms of NADH and NADPH arise through hydration of nicotinamide cofactors under stress conditions. NAD(P)HX epimerase acts together with NAD(P)HX dehydratase to repair these inactive metabolites, maintaining cofactor homeostasis and protecting cells from metabolic imbalance. The NAXE antibody enables precise detection of this enzyme in studies of cofactor metabolism, mitochondrial function, and cellular stress response.

NAD(P)HX epimerase localizes to both the cytosol and mitochondria, reflecting its role in multiple redox compartments. It is essential for the NAD(P)HX repair system, which safeguards the integrity of cellular redox reactions by regenerating functional NADH and NADPH. The NAXE antibody allows researchers to analyze this protective mechanism, revealing how cells maintain coenzyme pools under conditions of heat, oxidative, or metabolic stress. Loss of NAXE function leads to accumulation of toxic NADHX derivatives, disrupting energy metabolism and enzymatic activity.

Mutations in the NAXE gene cause a rare neurometabolic disorder characterized by recurrent encephalopathy and neurodegeneration, particularly following febrile illness. The NAXE antibody supports mechanistic studies into this disease, helping identify tissue-specific expression and enzyme deficiency in patient-derived samples. Defective NAD(P)HX epimerase activity compromises mitochondrial respiration and redox balance, underscoring its essential role in cellular survival.

Beyond its role in repair metabolism, NAD(P)HX epimerase contributes to stress adaptation and antioxidant defense. It ensures a continuous supply of NAD(P)H required for reductive biosynthesis and detoxification pathways. The NAXE antibody supports quantitative analyses of enzyme regulation in models of oxidative stress, aging, and metabolic disorders. Dysregulation of NAD(P)HX repair enzymes has also been linked to impaired neuronal function and energy deficiency syndromes.

The NAXE antibody performs effectively in western blotting, immunofluorescence, and immunohistochemistry, providing characteristic mitochondrial and cytosolic staining. NSJ Bioreagents provides this antibody with validated specificity and reproducibility for biochemistry, metabolism, and neuroscience research. By enabling accurate detection of NAD(P)HX epimerase, the NAXE antibody advances understanding of cofactor repair, mitochondrial redox regulation, and neuroprotective metabolic pathways.

Application Notes

Optimal dilution of the NAXE antibody should be determined by the researcher.

Immunogen

E.coli-derived human NAXE recombinant protein (Position: R46-Q288) was used as the immunogen for the NAXE antibody.

Storage

After reconstitution, the NAXE antibody can be stored for up to one month at 4oC. For long-term, aliquot and store at -20oC. Avoid repeated freezing and thawing.

Cross
Bulk Quote Request Form
Name*:
Organization*:
Email*:
Phone Number*:
Catalog No.*:
Comments and Specifics(amount, formulation, etc.)*:
Validation code: Captchapackage Image


Can't read the image? click here to refresh.
    *required field

Your bulk quote request has been submitted successfully!

Please contact us if you have any questions.