• Tel: 858.663.9055
  • SeparatorEmail: info@nsjbio.com
  • Tel: 858.663.9055
  • Email: info@nsjbio.com
Home >> Antibodies >> Natriuretic peptide receptor C Antibody / NPRC

Natriuretic peptide receptor C Antibody / NPRC (F55068)

  Catalog No Formulation Size Price (USD)  
Image F55068-0.2ML In 1X PBS, pH 7.4, with 0.09% sodium azide 0.2 ml 429
Image
F55068-0.05ML In 1X PBS, pH 7.4, with 0.09% sodium azide 0.05 ml 199
Bulk quote request
Western blot testing of human 1) HeLa and 2) HL60 cell lysate with Natriuretic peptide receptor C antibody. Predicted molecular weight ~60 kDa.
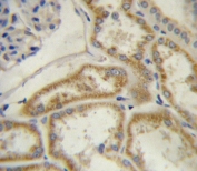
IHC testing of FFPE human kidney tissue with Natriuretic peptide receptor C antibody. HIER: steam section in pH6 citrate buffer for 20 min and allow to cool prior to staining.
Immunofluorescent staining of fixed and permeabilized human HeLa cells with Natriuretic peptide receptor C antibody (green) and Hoechst 33342 nuclear stain (blue).
Availability 1-3 business days
Species Reactivity Human
Format Purified
Clonality Polyclonal (rabbit origin)
Isotype Rabbit Ig
UniProt P17342
Applications Western Blot : 1:500-1:1000
Immunohistochemistry (FFPE) : 1:10-1:50
Immunofluorescence : 1:100-1:200
Limitations This Natriuretic peptide receptor C antibody is available for research use only.
Review this product on BioCompare and get a $20 Amazon gift card

Related Products

Description

Natriuretic peptide receptor C / NPRC is a receptor protein found in various tissues, including the heart, kidney, and blood vessels. Its main function is to bind to natriuretic peptides, which are hormones that help regulate blood pressure and fluid balance. When natriuretic peptides bind to Natriuretic peptide receptor C, they are degraded and their effects are blocked, leading to an increase in blood pressure. Natriuretic peptide receptor C also plays a role in the development of heart failure. Research has shown that increased levels of NPRC in the body can lead to impaired responses to natriuretic peptides, which in turn can contribute to the progression of heart failure. In addition to its role in cardiovascular health, NPRC has also been implicated in other diseases, such as obesity and diabetes. Studies have shown that NPRC levels are elevated in patients with these conditions, suggesting a potential link between Natriuretic peptide receptor C and metabolic disorders.

Application Notes

Titration of the Natriuretic peptide receptor C antibody may be required due to differences in protocols and secondary/substrate sensitivity.

Immunogen

A portion of amino acids 67-97 from the human protein was used as the immunogen for the Natriuretic peptide receptor C antibody.

Storage

Aliquot the Natriuretic peptide receptor C antibody and store frozen at -20oC or colder. Avoid repeated freeze-thaw cycles.

Cross
Bulk Quote Request Form
Name*:
Organization*:
Email*:
Phone Number*:
Catalog No.*:
Comments and Specifics(amount, formulation, etc.)*:
Validation code: Captchapackage Image


Can't read the image? click here to refresh.
    *required field

Your bulk quote request has been submitted successfully!

Please contact us if you have any questions.