• Tel: 858.663.9055
  • SeparatorEmail: info@nsjbio.com
  • Tel: 858.663.9055
  • Email: info@nsjbio.com
Home >> Antibodies >> NARG1 Antibody / NAA15

NARG1 Antibody / NAA15 (R32787)

  Catalog No Formulation Size Price (USD)  
Image R32787 0.5mg/ml if reconstituted with 0.2ml sterile DI water 100 ug 439
Bulk quote request
Western blot testing of human 293T cell lysate with NARG1 antibody at 0.5ug/ml. Predicted molecular weight ~101 kDa.
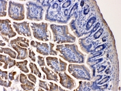
IHC testing of FFPE mouse intestine tissue with NARG1 antibody at 1ug/ml. Required HIER: steam section in pH6 citrate buffer for 20 min and allow to cool prior to testing.
Availability 1-3 business days
Species Reactivity Human, Mouse
Format Antigen affinity purified
Clonality Polyclonal (rabbit origin)
Isotype Rabbit IgG
Purity Antigen affinity
Buffer Lyophilized from 1X PBS with 2.5% BSA, 0.025% sodium azide
UniProt Q9BXJ9
Applications Western Blot : 0.5-1ug/ml
IHC (FFPE) : 1-2ug/ml
Limitations This NARG1 antibody is available for research use only.
Review this product on BioCompare and get a $20 Amazon gift card

Related Products

  • Applications : WB, Direct ELISA
    Reactivity : Human, Mouse, Rat

Description

NMDA receptor-regulated protein 1 (NARG1), also known as GA19 or Tbdn100 is a protein that in humans is encoded by the NAA15 gene. It is mapped to chromosome 4. NARG1 is the auxiliary subunit of the NatA (N-alpha-acetyltransferase A) complex. Both, Naa15 and Naa16 interact with the ribosome in yeast (via the ribosomal proteins, uL23 and uL29), humans and rat, thereby linking the NatA/Naa10 to the ribosome and facilitating co-translational acetylation of nascent polypeptide chains as they emerges from the exit tunnel. Furthermore, Naa15 might act as a scaffold for other factors, including the chaperone like protein HYPK (Huntingtin Interacting Protein K) and Naa50, the catalytic acetyltransferase subunit of NatE.

Application Notes

Optimal dilution of the NARG1 antibody should be determined by the researcher.

Immunogen

Amino acids 244-287 (ADVYRGLQERNPENWAYYKGLEKALKPANMLERLKIYEEAWTKY) from the human protein were used as the immunogen for the NARG1 antibody.

Storage

After reconstitution, the NARG1 antibody can be stored for up to one month at 4oC. For long-term, aliquot and store at -20oC. Avoid repeated freezing and thawing.

Cross
Bulk Quote Request Form
Name*:
Organization*:
Email*:
Phone Number*:
Catalog No.*:
Comments and Specifics(amount, formulation, etc.)*:
Validation code: Captchapackage Image


Can't read the image? click here to refresh.
    *required field

Your bulk quote request has been submitted successfully!

Please contact us if you have any questions.