• Tel: 858.663.9055
  • SeparatorEmail: info@nsjbio.com
  • Tel: 858.663.9055
  • Email: info@nsjbio.com
Home >> Antibodies >> Napsin A Antibody

Napsin A Antibody [clone NAPSA/3308] (V7604BTN)

  Catalog No Formulation Size Price (USD)  
Image V7604BTN 0.1 mg/ml with 0.1 mg/ml BSA (US sourced), 0.05% sodium azide 500 ul 539
Microvalidated
Bulk quote request
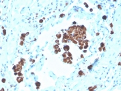
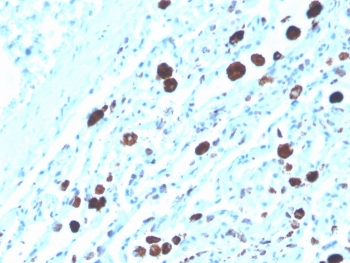
IHC staining of FFPE human lung adenocarcinoma with biotin-conjugated Napsin A antibody (clone NAPSA/3308). HIER: boil tissue sections in pH 9 10mM Tris with 1mM EDTA for 20 min and allow to cool before testing.
IHC staining of FFPE human lung adenocarcinoma with biotin-conjugated Napsin A antibody (clone NAPSA/3308). HIER: boil tissue sections in pH 9 10mM Tris with 1mM EDTA for 20 min and allow to cool before testing.
Analysis of HuProt(TM) microarray containing more than 19,000 full-length human proteins using Napsin A antibody (clone NAPSA/3308). These results demonstrate the foremost specificity of the NAPSA/3308 mAb. Z- and S- score: The Z-score represents the strength of a signal that an antibody (in combination with a fluorescently-tagged anti-IgG secondary Ab) produces when binding to a particular protein on the HuProt(TM) array. Z-scores are described in units of standard deviations (SD's) above the mean value of all signals generated on that array. If the targets on the HuProt(TM) are arranged in descending order of the Z-score, the S-score is the difference (also in units of SD's) between the Z-scores. The S-score therefore represents the relative target specificity of an Ab to its intended target.
SDS-PAGE analysis of purified, BSA-free Napsin A antibody (clone NAPSA/3308) as confirmation of integrity and purity.
Availability 1-3 business days
Species Reactivity Human
Format Biotin Conjugate
Clonality Monoclonal (mouse origin)
Isotype Mouse IgG1, kappa
Clone Name NAPSA/3308
Purity Protein G affinity chromatography
UniProt O96009
Localization Cytoplasmic
Applications Immunohistochemistry (FFPE) : 2-4ug/ml for 30 minutes at RT
Limitations This Napsin A antibody is available for research use only.
Review this product on BioCompare and get a $20 Amazon gift card

Related Products

Description

Napsin is a pepsin-like aspartic proteinase connected with maturation of surfactant protein B.There are two closely related napsins, napsin A and napsin B. Napsin A is expressed as a single chain protein. Immunohistochemical studies revealed high expression levels of napsin A in human lung and kidney but low expression in spleen. Napsin A is expressed in type II pneumocytes and in adenocarcinomas of lung. The high specificity expression of napsin A in adenocarcinomas of lung is useful to distinguish primary lung adenocarcinomas from adenocarcinomas of other organs.

Application Notes

Optimal dilution of the Napsin A antibody should be determined by the researcher.

Immunogen

Amino acids 189-299 from the human protein were used as the immunogen for the Napsin A antibody.

Storage

Store the Napsin A antibody at 2-8oC (up to one month) or aliquot and store at -20oC (longer term).

Cross
Bulk Quote Request Form
Name*:
Organization*:
Email*:
Phone Number*:
Catalog No.*:
Comments and Specifics(amount, formulation, etc.)*:
Validation code: Captchapackage Image


Can't read the image? click here to refresh.
    *required field

Your bulk quote request has been submitted successfully!

Please contact us if you have any questions.