• Tel: 858.663.9055
  • SeparatorEmail: info@nsjbio.com
  • Tel: 858.663.9055
  • Email: info@nsjbio.com
Home >> Antibodies >> MYRIP Antibody

MYRIP Antibody (R34377)

  Catalog No Formulation Size Price (USD)  
Image R34377-100UG 0.5 mg/ml in 1X TBS, pH7.3, with 0.5% BSA (US sourced) and 0.02% sodium azide 100 ug 449
Bulk quote request
Western blot testing of human amygdala lysate with MYRIP antibody at 0.3ug/ml. Predicted molecular weight: ~95 kDa.
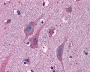
IHC testing of FFPE human cortex (brain) tissue with MYRIP antibody at 3.75ug/ml. Required HIER: steamed antigen retrieval with pH6 citrate buffer; AP-staining.
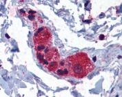
IHC testing of FFPE human colon tissue with MYRIP antibody at 3.75ug/ml. Required HIER: steamed antigen retrieval with pH6 citrate buffer; AP-staining.
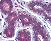
IHC testing of FFPE human breast tissue with MYRIP antibody at 3.75ug/ml. Required HIER: steamed antigen retrieval with pH6 citrate buffer; AP-staining.
Availability 1-3 business days
Species Reactivity Human
Format Antigen affinity purified
Clonality Polyclonal (goat origin)
Isotype Goat Ig
Purity Antigen affinity
Gene ID 25924
Localization Cytoplasmic
Applications Western Blot : 0.3-1ug/ml
IHC (FFPE) : 3.75ug/ml
ELISA (peptide) LOD : 1:64000
Limitations This MYRIP antibody is available for research use only.
Review this product on BioCompare and get a $20 Amazon gift card

Description

Additional name(s) for this target protein: Myosin VIIA and Rab interacting protein, SLAC2C

Application Notes

Optimal dilution of the MYRIP antibody should be determined by the researcher.

Immunogen

Amino acids KDLMEPALESAVMY were used as the immunogen for this MYRIP antibody.

Storage

Aliquot and store the MYRIP antibody at -20oC.

Cross
Bulk Quote Request Form
Name*:
Organization*:
Email*:
Phone Number*:
Catalog No.*:
Comments and Specifics(amount, formulation, etc.)*:
Validation code: Captchapackage Image


Can't read the image? click here to refresh.
    *required field

Your bulk quote request has been submitted successfully!

Please contact us if you have any questions.