• Tel: 858.663.9055
  • SeparatorEmail: info@nsjbio.com
  • Tel: 858.663.9055
  • Email: info@nsjbio.com
Home >> Antibodies >> Myomegalin Antibody / PDE4DIP

Myomegalin Antibody / PDE4DIP (RQ6668)

  Catalog No Formulation Size Price (USD)  
Image RQ6668 0.5mg/ml if reconstituted with 0.2ml sterile DI water 100 ug 439
Bulk quote request
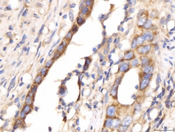
IHC staining of FFPE human colorectal cancer tissue with Myomegalin antibody. HIER: boil tissue sections in pH8 EDTA for 20 min and allow to cool before testing.
IHC staining of FFPE human placental tissue with Myomegalin antibody. HIER: boil tissue sections in pH8 EDTA for 20 min and allow to cool before testing.
Immunofluorescent staining of FFPE human MCF7 cells with Myomegalin antibody (red) and DAPI nuclear stain (blue). HIER: steam section in pH6 citrate buffer for 20 min.
Western blot testing of human 1) HeLa, 2) HEK293, 3) K562 and 4) U-87 MG cell lysate with Myomegalin antibody. There are multiple isoforms of this protein and it is commonly observed at molecular weight 120-265 kDa.
Flow cytometry testing of human A549 cells with Myomegalin antibody at 1ug/million cells (blocked with goat sera); Red=cells alone, Green=isotype control, Blue= Myomegalin antibody.
Availability 1-3 business days
Species Reactivity Human
Format Antigen affinity purified
Clonality Polyclonal (rabbit origin)
Isotype Rabbit IgG
Purity Antigen affinity purified
Buffer Lyophilized from 1X PBS with 2% Trehalose
UniProt Q5VU43
Localization Cytoplasmic
Applications Western Blot : 1-2ug/ml
Immunohistochemistry (FFPE) : 2-5ug/ml
Immunofluorescence (FFPE) : 5ug/ml
Flow Cytometry : 1-3ug/million cells
Direct ELISA : 0.1-0.5ug/ml
Limitations This Myomegalin antibody is available for research use only.
Review this product on BioCompare and get a $20 Amazon gift card

Description

Myomegalin, also known as phosphodiesterase 4D-interacting protein or cardiomyopathy-associated protein 2, is a protein that in humans is encoded by the PDE4DIP gene. The protein encoded by this gene serves to anchor phosphodiesterase 4D to the Golgi/centrosome region of the cell. Defects in this gene may be a cause of myeloproliferative disorder (MBD) associated with eosinophilia. Several transcript variants encoding different isoforms have been found for this gene.

Application Notes

Optimal dilution of the Myomegalin antibody should be determined by the researcher.

Immunogen

Recombinant human protein (amino acids Q96-M1254) was used as the immunogen for the Myomegalin antibody.

Storage

After reconstitution, the Myomegalin antibody can be stored for up to one month at 4oC. For long-term, aliquot and store at -20oC. Avoid repeated freezing and thawing.

Cross
Bulk Quote Request Form
Name*:
Organization*:
Email*:
Phone Number*:
Catalog No.*:
Comments and Specifics(amount, formulation, etc.)*:
Validation code: Captchapackage Image


Can't read the image? click here to refresh.
    *required field

Your bulk quote request has been submitted successfully!

Please contact us if you have any questions.