- Tel: 858.663.9055
- 
									 Email: info@nsjbio.com Email: info@nsjbio.com
- Tel: 858.663.9055
- Email: info@nsjbio.com
 Email: info@nsjbio.com
Email: info@nsjbio.com
								Related Products
| 
 | 
MyoD1 antibody is a well established reagent for studying skeletal muscle development and differentiation. MyoD1 is a nuclear protein belonging to the myogenic regulatory factor family of transcription factors. These proteins are central regulators of muscle lineage commitment, converting non muscle cells into myoblasts by activating muscle specific gene expression. MyoD1 is expressed in proliferating myoblasts and plays a decisive role in initiating the transcriptional program that drives skeletal myogenesis.
MyoD1 functions as a basic helix loop helix transcription factor, binding to E box DNA motifs in the promoters and enhancers of muscle genes. It interacts with other family members, such as Myf5 and myogenin, to coordinate the stages of muscle fiber formation. The protein also regulates chromatin remodeling, facilitating access of transcriptional machinery to muscle specific loci. Because of its potency, ectopic expression of MyoD1 can convert fibroblasts and other cell types into myogenic cells, making it a classic example of a master regulatory factor.
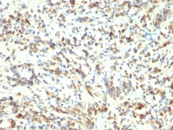
This MyoD1 antibody derived from clone 5.8A has been used extensively to identify myogenic cells in developmental and pathological contexts. Clone 5.8A recognizes epitopes within the MyoD1 protein, providing a reliable tool for detecting nuclear expression patterns. Its application in developmental studies has clarified the timing of muscle specification during embryogenesis and has aided in distinguishing skeletal muscle tumors, particularly rhabdomyosarcomas, from other neoplasms.
Research into muscle regeneration, muscular dystrophies, and stem cell biology frequently employs MyoD1 as a marker of myogenic potential. Detecting MyoD1 expression provides insight into the activation of satellite cells during repair processes. Additionally, cancer biology studies have used MyoD1 expression to classify tumor types and to evaluate the degree of myogenic differentiation. The robust specificity of clone 5.8A makes it a dependable reagent in these contexts.
NSJ Bioreagents provides this MyoD1 antibody to support investigations of skeletal muscle biology and disease. By incorporating this antibody into research workflows, scientists can achieve clear detection of myogenic cells, improving understanding of both normal development and pathological states.
Alternate names: myogenic differentiation 1 antibody, BHLHc1 antibody, class C basic helix loop helix protein 1 antibody, myoblast determination protein 1 antibody
The optimal dilution of the MyoD1 antibody for each application should be determined by the researcher.
1. The prediluted format is supplied in a dropper bottle and is optimized for use in IHC. After epitope retrieval step (if required), drip mAb solution onto the tissue section and incubate at RT for 30 min.
Recombinant mouse MyoD1 protein was used as the immunogen for this MyoD1 antibody. The epitope of this mAb maps between amino acid 180-189 in the C-terminal of mouse MyoD1 protein.
Store the MyoD1 antibody at 2-8oC (with azide) or aliquot and store at -20oC or colder (without azide).
 
Your bulk quote request has been submitted successfully!
Please contact us if you have any questions.