• Tel: 858.663.9055
  • SeparatorEmail: info@nsjbio.com
  • Tel: 858.663.9055
  • Email: info@nsjbio.com
Home >> Antibodies >> MYH10 Antibody / non-muscle Myosin IIB

MYH10 Antibody / non-muscle Myosin IIB (RQ5694)

  Catalog No Formulation Size Price (USD)  
Image RQ5694 0.5mg/ml if reconstituted with 0.2ml sterile DI water 100 ug 439
Bulk quote request
Immunofluorescent staining of FFPE human A431 cells with MYH10 antibody (red) and DAPI nuclear stain (blue). HIER: steam section in pH6 citrate buffer for 20 min.
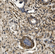
IHC staining of FFPE human breast cancer with MYH10 antibody. HIER: boil tissue sections in pH8 EDTA for 20 min and allow to cool before testing.
IHC staining of FFPE human breast cancer with MYH10 antibody. HIER: boil tissue sections in pH8 EDTA for 20 min and allow to cool before testing.
IHC staining of FFPE rat brain with MYH10 antibody. HIER: boil tissue sections in pH8 EDTA for 20 min and allow to cool before testing.
Flow cytometry testing of human A431 cells with MYH10 antibody at 1ug/million cells (blocked with goat sera); Red=cells alone, Green=isotype control, Blue= MYH10 antibody.
Flow cytometry testing of mouse ANA-1 cells with MYH10 antibody at 1ug/million cells (blocked with goat sera); Red=cells alone, Green=isotype control, Blue= MYH10 antibody.
Flow cytometry testing of rat C6 cells with MYH10 antibody at 1ug/million cells (blocked with goat sera); Red=cells alone, Green=isotype control, Blue= MYH10 antibody.
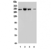
Western blot testing of 1) rat brain, 2) mouse brain, 3) mouse NIH 3T3 and 4) human SK-OV-3 lysate with MYH10 antibody. Predicted molecular weight ~229 kDa.
Availability 1-3 business days
Species Reactivity Human, Mouse, Rat
Format Antigen affinity purified
Clonality Polyclonal
Isotype Rabbit IgG
Purity Affinity purified
Buffer Lyophilized from 1X PBS with 2% Trehalose and 0.025% sodium azide
UniProt P35580
Applications Western Blot : 0.5-1ug/ml
Immunohistochemistry : 1-2ug/ml
Immunofluorescence : 2-4ug/ml
Flow Cytometry : 1-3ug/million cells
Limitations This MYH10 antibody is available for research use only.
Review this product on BioCompare and get a $20 Amazon gift card

Related Products

Description

This gene encodes a member of the myosin superfamily. The protein represents a conventional non-muscle myosin; it should not be confused with the unconventional myosin-10 (MYO10). Myosins are actin-dependent motor proteins with diverse functions including regulation of cytokinesis, cell motility, and cell polarity. Mutations in this gene have been associated with May-Hegglin anomaly and developmental defects in brain and heart. Multiple transcript variants encoding different isoforms have been found for this gene.

Application Notes

Optimal dilution of the MYH10 antibody should be determined by the researcher.

Immunogen

Amino acids QRTGLEDPERYLFVDRAVIYNPATQADWTAKK from the human protein were used as the immunogen for the MYH10 antibody.

Storage

After reconstitution, the MYH10 antibody can be stored for up to one month at 4oC. For long-term, aliquot and store at -20oC. Avoid repeated freezing and thawing.

Cross
Bulk Quote Request Form
Name*:
Organization*:
Email*:
Phone Number*:
Catalog No.*:
Comments and Specifics(amount, formulation, etc.)*:
Validation code: Captchapackage Image


Can't read the image? click here to refresh.
    *required field

Your bulk quote request has been submitted successfully!

Please contact us if you have any questions.