• Tel: 858.663.9055
  • SeparatorEmail: info@nsjbio.com
  • Tel: 858.663.9055
  • Email: info@nsjbio.com
Home >> Antibodies >> MyD88 Antibody

MyD88 Antibody (F51176)

  Catalog No Formulation Size Price (USD)  
Image F51176-0.2ML In 1X PBS, pH 7.4, with 0.09% sodium azide 0.2 ml 429
Image
F51176-0.05ML In 1X PBS, pH 7.4, with 0.09% sodium azide 0.05 ml 199
Bulk quote request
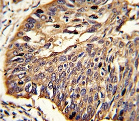
IHC analysis of FFPE human lung carcinoma stained with MyD88 antibody
IHC analysis of FFPE human lung carcinoma stained with MyD88 antibody
Western blot analysis of MyD88 antibody and HepG2 lysate. Predicted molecular weight: 33 kDa
Western blot analysis of MyD88 antibody and mouse lung tissue lysate. Predicted molecular weight: 33 kDa
MyD88 antibody flow cytometric analysis of NCI-H460 cells (green) compared to a negative control (blue). FITC-conjugated goat-anti-rabbit secondary Ab was used for the analysis.
Availability 1-3 business days
Species Reactivity Human, Mouse
Predicted Reactivity Primate
Format Antigen affinity purified
Clonality Polyclonal (rabbit origin)
Isotype Rabbit Ig
Purity Antigen affinity
UniProt Q99836
Applications Western Blot : 1:1000
IHC (Paraffin) : 1:10-1:50
Flow Cytometry : 1:10-1:50
Limitations This MyD88 antibody is available for research use only.
Review this product on BioCompare and get a $20 Amazon gift card

Related Products

  • Applications : WB, IHC
    Reactivity : Human
    Recrabbitmono
  • Applications : WB
    Reactivity : Human, Mouse
  • Applications : WB, IHC-P
    Reactivity : Human, Mouse, Rat
  • Applications : WB, IHC-P, IF, FACS
    Reactivity : Human, Mouse, Rat
  • Applications : WB, IHC, ELISA (peptide), EIA
    Reactivity : Human
    Pred. Reactivity : Dog, Mouse, Rat
  • Applications : WB, IHC, ELISA (peptide)
    Reactivity : Human
    Pred. Reactivity : Dog, Mouse, Rat
  • Applications : WB
    Reactivity : Mouse, Rat
  • Applications : WB
    Reactivity : Rat
  • Applications : WB, IHC-P, FACS, Direct ELISA
    Reactivity : Human
  • Applications : WB, IHC-P, FACS
    Reactivity : Human
  • Applications : WB, IHC-P
    Reactivity : Zebrafish

Description

Adapter protein involved in the Toll-like receptor and IL-1 receptor signaling pathway in the innate immune response. It acts via IRAK1, IRAK2 and TRAF6, leading to NF-kappa-B activation, cytokine secretion and the inflammatory response and increases IL-8 transcription. It may be involved in myeloid differentiation.

Application Notes

Titration of the MyD88 antibody may be required due to differences in protocols and secondary/substrate sensitivity.

Immunogen

A portion of amino acids 136-164 from the human protein was used as the immunogen for this MyD88 antibody.

Storage

Aliquot the MyD88 antibody and store frozen at -20oC or colder. Avoid repeated freeze-thaw cycles.

Cross
Bulk Quote Request Form
Name*:
Organization*:
Email*:
Phone Number*:
Catalog No.*:
Comments and Specifics(amount, formulation, etc.)*:
Validation code: Captchapackage Image


Can't read the image? click here to refresh.
    *required field

Your bulk quote request has been submitted successfully!

Please contact us if you have any questions.