• Tel: 858.663.9055
  • SeparatorEmail: info@nsjbio.com
  • Tel: 858.663.9055
  • Email: info@nsjbio.com
Home >> Antibodies >> MYBL2 Antibody / B-Myb

MYBL2 Antibody / B-Myb (R31028)

  Catalog No Formulation Size Price (USD)  
Image R31028 0.5mg/ml if reconstituted with 0.2ml sterile DI water 100 ug 439
Bulk quote request
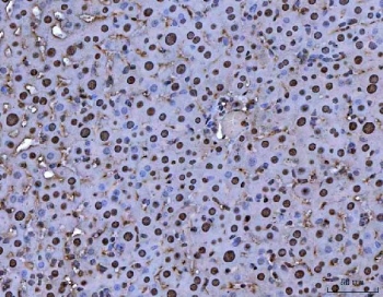
IHC staining of FFPE mouse liver tissue with MYBL2 antibody. HIER: boil tissue sections in pH8 EDTA for 20 min and allow to cool before testing.
IHC staining of FFPE rat liver tissue with MYBL2 antibody. HIER: boil tissue sections in pH8 EDTA for 20 min and allow to cool before testing.
IHC staining of FFPE human tonsil tissue with MYBL2 antibody. HIER: boil tissue sections in pH8 EDTA for 20 min and allow to cool before testing.
Western blot testing of human Raji cell lysate with MYBL2 antibody. Predicted molecular weight: ~79 kDa, may also be observed at 100~110 kDa.
Availability 1-3 business days
Species Reactivity Human, Mouse, Rat
Format Antigen affinity purified
Clonality Polyclonal (rabbit origin)
Isotype Rabbit IgG
Purity Antigen affinity
Buffer Lyophilized from 1X PBS with 2% Trehalose
UniProt P10244
Localization Nuclear
Applications Western Blot : 0.5-1ug/ml
Immunohistochemistry (FFPE) : 2-5ug/ml
Limitations This MYBL2 antibody is available for research use only.
Review this product on BioCompare and get a $20 Amazon gift card

Related Products

  • Applications : WB, ELISA (peptide)
    Reactivity : Human, Mouse, Rat
    Pred. Reactivity : Cow, Dog, Pig
  • Applications : WB
    Reactivity : Human
  • Applications : WB, IF, FACS, Direct ELISA
    Reactivity : Human

Description

V-MYB avian myeloblastosis viral oncogene homolog-like 2, also called MYB-related gene B-MYB, is a protein that in humans is encoded by the MYBL2 gene. The protein encoded by this gene, a member of the MYB family of transcription factor genes, is a nuclear protein involved in cell cycle progression. Barletta et al.(1991) assigned the gene to chromosome Xq13. However, Noben-Trauth et al.(1996) demonstrated that this assignment was an error. Using mouse Mybl2 cDNA clones as probes, they assigned the gene in an interspecific backcross panel to distal mouse chromosome 2. Using human cDNA probes in combination with fluorescence in situ hybridization analysis, they localized MYBL2 to chromosome 20q13.1, a region that is commonly deleted in myeloid disorders and shows high homology of Synteny to mouse chromosome 2. It has been shown to activate the cell division cycle 2, Cyclin D1, and Insulin-like growth factor-binding protein 5 genes. Transcript variants may exist for this gene, but their full-length natures have not been determined.

Application Notes

The stated application concentrations are suggested starting amounts. Titration of the MYBL2 antibody may be required due to differences in protocols and secondary/substrate sensitivity.

Immunogen

An amino acid sequence from the N-terminus of human MYBL2/B-MYB (MSRRTRCEDLDELHYQD) was used as the immunogen for this MYBL2 antibody (100% mouse homology).

Storage

After reconstitution, the MYBL2 antibody can be stored for up to one month at 4oC. For long-term, aliquot and store at -20oC. Avoid repeated freezing and thawing.

Cross
Bulk Quote Request Form
Name*:
Organization*:
Email*:
Phone Number*:
Catalog No.*:
Comments and Specifics(amount, formulation, etc.)*:
Validation code: Captchapackage Image


Can't read the image? click here to refresh.
    *required field

Your bulk quote request has been submitted successfully!

Please contact us if you have any questions.