• Tel: 858.663.9055
  • SeparatorEmail: info@nsjbio.com
  • Tel: 858.663.9055
  • Email: info@nsjbio.com
Home >> Antibodies >> Myb Antibody

Myb Antibody (R35429)

  Catalog No Formulation Size Price (USD)  
Image R35429-100UG 0.5 mg/ml in 1X TBS, pH7.3, with 0.5% BSA (US sourced) and 0.02% sodium azide 100 ug 449
Bulk quote request
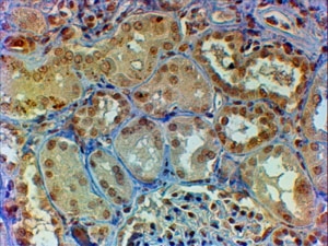
IHC staining of FFPE human kidney with Myb antibody at 2ug/ml. HIER: steamed with pH6 citrate buffer, HRP-staining.
Western blot testing of human colon lysate with Myb antibody at 1ug/ml. Predicted molecular weight 60~85 kDa (isoforms 1-7), observed here at ~70kDa.
Availability 1-3 business days
Species Reactivity Human
Predicted Reactivity Dog, Mouse, Rat
Format Antigen affinity purified
Clonality Polyclonal (goat origin)
Isotype Goat Ig
Purity Antigen affinity
Gene ID 4602
Applications Western Blot : 0.5-2ug/ml
Immunohistochemistry (FFPE) : 2-4ug/ml
ELISA (peptide) LOD : 1:1000
Limitations This Myb antibody is available for research use only.
Review this product on BioCompare and get a $20 Amazon gift card

Related Products

Description

Additional name(s) for this target protein: C-myeloblastosis

Application Notes

Optimal dilution of the Myb antibody should be determined by the researcher.

Immunogen

Amino acids QRHYNDEDPEKEKR were used as the immunogen for this Myb antibody.

Storage

Aliquot and store the Myb antibody at -20oC.

Cross
Bulk Quote Request Form
Name*:
Organization*:
Email*:
Phone Number*:
Catalog No.*:
Comments and Specifics(amount, formulation, etc.)*:
Validation code: Captchapackage Image


Can't read the image? click here to refresh.
    *required field

Your bulk quote request has been submitted successfully!

Please contact us if you have any questions.