• Tel: 858.663.9055
  • SeparatorEmail: info@nsjbio.com
  • Tel: 858.663.9055
  • Email: info@nsjbio.com
Home >> Antibodies >> MVP Antibody / Major Vault Protein

MVP Antibody / Major Vault Protein (RQ4254)

  Catalog No Formulation Size Price (USD)  
Image RQ4254 0.5mg/ml if reconstituted with 0.2ml sterile DI water 100 ug 439
Bulk quote request
Western blot testing of human 1) placenta, 2) HepG2, 3) A549, 4) PANC-1, 5) SGC-7901 and 6) MDA-MB-231 lysate with MVP antibody at 0.5ug/ml. Observed molecular weight: 104~110 kDa.
Western blot testing of 1) rat spleen, 2) rat lung, 2) rat kidney, 4) mouse spleen, 5) mouse lung and 6) mouse kidney lysate with MVP antibody at 0.5ug/ml. Observed molecular weight: 104~110 kDa.
IHC testing of FFPE human lung cancer tissue with MVP antibody at 1ug/ml. Required HIER: steam section in pH6 citrate buffer for 20 min and allow to cool prior to staining.
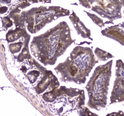
IHC testing of FFPE human intestinal cancer tissue with MVP antibody at 1ug/ml. Required HIER: steam section in pH6 citrate buffer for 20 min and allow to cool prior to staining.
IHC testing of FFPE mouse small intestine tissue with MVP antibody at 1ug/ml. Required HIER: steam section in pH6 citrate buffer for 20 min and allow to cool prior to staining.
IHC testing of FFPE rat small intestine tissue with MVP antibody at 1ug/ml. Required HIER: steam section in pH6 citrate buffer for 20 min and allow to cool prior to staining.
Flow cytometry testing of human HeLa cells with MVP antibody at 1ug/10^6 cells (blocked with goat sera); Red=cells alone, Green=isotype control, Blue=MVP antibody.
Flow cytometry testing of human U-87 MG cells with MVP antibody at 1ug/10^6 cells (blocked with goat sera); Red=cells alone, Green=isotype control, Blue=MVP antibody.
IF/ICC staining of FFPE human A431 cells with MVP antibody (green) at 2ug/ml and DAPI nuclear stain (blue). HIER: steam section in pH6 citrate buffer for 20 min.
Availability 1-3 business days
Species Reactivity Human, Mouse, Rat
Format Antigen affinity purified
Clonality Polyclonal (rabbit origin)
Isotype Rabbit IgG
Purity Antigen affinity purified
Buffer Lyophilized from 1X PBS with 2% Trehalose and 0.025% sodium azide
UniProt Q14764
Localization Cytoplasmic, nuclear
Applications Western Blot : 0.5-1ug/ml
Immunohistochemistry (FFPE) : 1-2ug/ml
Flow Cytometry : 1-3ug/10^6 cells
Immunofluorescence/Immunocytochemistry (FFPE) : 2-4ug/ml
Direct ELISA : 0.1-0.5ug/ml
Limitations This MVP antibody is available for research use only.
Review this product on BioCompare and get a $20 Amazon gift card

Related Products

Description

Major vault protein is a protein that in humans is encoded by the MVP gene. This gene encodes the major component of the vault complex. Vaults are multi-subunit ribonucleoprotein structures that may be involved in nucleo-cytoplasmic transport. The encoded protein may play a role in multiple cellular processes by regulating the MAP kinase, JAK/STAT and phosphoinositide 3-kinase/Akt signaling pathways. The encoded protein also plays a role in multidrug resistance, and expression of this gene may be a prognostic marker for several types of cancer. Alternatively spliced transcript variants have been observed for this gene.

Application Notes

Optimal dilution of the MVP antibody should be determined by the researcher.

Immunogen

A recombinant human protein corresponding to amino acids A2-H259 was used as the immunogen for the MVP antibody.

Storage

After reconstitution, the MVP antibody can be stored for up to one month at 4oC. For long-term, aliquot and store at -20oC. Avoid repeated freezing and thawing.

Cross
Bulk Quote Request Form
Name*:
Organization*:
Email*:
Phone Number*:
Catalog No.*:
Comments and Specifics(amount, formulation, etc.)*:
Validation code: Captchapackage Image


Can't read the image? click here to refresh.
    *required field

Your bulk quote request has been submitted successfully!

Please contact us if you have any questions.