• Tel: 858.663.9055
  • SeparatorEmail: info@nsjbio.com
  • Tel: 858.663.9055
  • Email: info@nsjbio.com
Home >> Antibodies >> MUTYH Antibody / Adenine DNA glycosylase / MYH1

MUTYH Antibody / Adenine DNA glycosylase / MYH1 (RQ8629)

  Catalog No Formulation Size Price (USD)  
Image RQ8629 0.5mg/ml if reconstituted with 0.2ml sterile DI water 100 ug 439
Bulk quote request
Flow cytometry testing of fixed and permeabilized human HeLa cells with MUTYH antibody at 1ug/million cells (blocked with goat sera); Red=cells alone, Green=isotype control, Blue= MUTYH antibody.
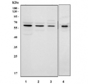
Western blot testing of 1) human HeLa, 2) human K562, 3) human HEL and 4) rat C6 cell lysate with MUTYH antibody. Predicted molecular weight ~60 kDa.
Availability 1-3 days
Species Reactivity Human, Rat
Format Antigen affinity purified
Clonality Polyclonal (rabbit origin)
Isotype Rabbit IgG
Purity Antigen affinity purified
Buffer Lyophilized from 1X PBS with 2% Trehalose
UniProt Q9UIF7
Applications Western Blot : 0.5-1ug/ml
Flow Cytometry : 1-3ug/million cells
ELISA : 0.1-0.5ug/ml
Limitations This MUTYH antibody is available for research use only.
Review this product on BioCompare and get a $20 Amazon gift card

Related Products

  • Applications : WB, ELISA (peptide)
    Reactivity : Human

Description

This gene encodes a DNA glycosylase involved in oxidative DNA damage repair. The enzyme excises adenine bases from the DNA backbone at sites where adenine is inappropriately paired with guanine, cytosine, or 8-oxo-7,8-dihydroguanine, a major oxidatively damaged DNA lesion. The protein is localized to the nucleus and mitochondria. This gene product is thought to play a role in signaling apoptosis by the introduction of single-strand breaks following oxidative damage. Mutations in this gene result in heritable predisposition to colorectal cancer, termed MUTYH-associated polyposis (MAP). Multiple transcript variants encoding different isoforms have been found for this gene.

Application Notes

Optimal dilution of the MUTYH antibody should be determined by the researcher.

Immunogen

An E.coli-derived human recombinant protein (amino acids A187-N528) was used as the immunogen for the MUTYH antibody.

Storage

After reconstitution, the MUTYH antibody can be stored for up to one month at 4oC. For long-term, aliquot and store at -20oC. Avoid repeated freezing and thawing.

Cross
Bulk Quote Request Form
Name*:
Organization*:
Email*:
Phone Number*:
Catalog No.*:
Comments and Specifics(amount, formulation, etc.)*:
Validation code: Captchapackage Image


Can't read the image? click here to refresh.
    *required field

Your bulk quote request has been submitted successfully!

Please contact us if you have any questions.