• Tel: 858.663.9055
  • SeparatorEmail: info@nsjbio.com
  • Tel: 858.663.9055
  • Email: info@nsjbio.com
Home >> Antibodies >> Muscle Actin Antibody (pan)

Muscle Actin Antibody (pan) [clone HHF35] (V2318)

  Catalog No Formulation Size Price (USD)  
Image V2318-100UG 0.2 mg/ml in 1X PBS with 0.1 mg/ml BSA (US sourced) and 0.05% sodium azide 100 ug 539
Image
V2318-20UG 0.2 mg/ml in 1X PBS with 0.1 mg/ml BSA (US sourced) and 0.05% sodium azide 20 249
Image
V2318SAF-100UG 1 mg/ml in 1X PBS; BSA free, sodium azide free 100 539
Image
V2318IHC-7ML Prediluted in 1X PBS with 0.1 mg/ml BSA (US sourced) and 0.05% sodium azide; *For IHC use only* 7 539
Bulk quote request
IHC staining of human leiomyosarcoma (10X) with Muscle Actin antibody (HHF35).
IHC staining of human leiomyosarcoma (20X) with Muscle Actin antibody (HHF35).
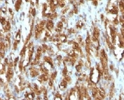
IHC testing of FFPE rhabdomyosarcoma with Muscle Actin antibody
Western blot testing of 1) human muscle and 2) mouse muscle cell lysate with Muscle Actin antibody (clone HHF35).
Western blot testing of human endometrium muscle lysate with Muscle Actin antibody (clone HHF35).
SDS-PAGE analysis of purified, BSA-free Muscle Actin antibody (clone HHF35) as confirmation of integrity and purity.
Species Reactivity Human, Mouse
Format Purified
Clonality Monoclonal (mouse origin)
Isotype Mouse IgG1, kappa
Clone Name HHF35
Purity Protein G affinity chromatography
UniProt P62736 , P68032 , P68133
Gene ID 58 , 59 , 70
Localization Cytoplasmic
Applications Western Blot : 1-2ug/ml
Immunohistochemistry (FFPE) : 0.25-0.5ug/ml for 30 min at RT
Limitations This Muscle Actin antibody is available for research use only.
Review this product on BioCompare and get a $20 Amazon gift card

Related Products

Description

This antibody recognizes actin of skeletal, cardiac, and smooth muscle cells. It is not reactive with other mesenchymal cells except for myoepithelium. Actin can be resolved on the basis of its isoelectric points into three distinctive components: alpha, beta, and gamma in order of increasing isoelectric point. This mAb recognizes alpha and gamma isotypes of all muscle groups. Nonmuscle cells such as vascular endothelial cells and connective tissues are non-reactive. Also, neoplastic cells of nonmuscle-derived tissue such as carcinomas, melanomas, and lymphomas are negative. It stains tumors of smooth (leiomyomas and leiomyosarcomas) as well as skeletal muscle (rhabdomyomas and rhabdomyosarcomas).

Application Notes

The concentration stated for each application is a general starting point. Variations in protocols, secondaries and substrates may require the Muscle actin HHF35 antibody to be titered up or down for optimal performance.

1. No special pretreatment is required for the IHC staining of formalin-fixed, paraffin-embedded tissues.
2. The prediluted format is supplied in a dropper bottle and is optimized for use in IHC. After epitope retrieval step (if required), drip mAb solution onto the tissue section and incubate at RT for 30 min.

Immunogen

SDS extract of human myocardium was used as the immunogen for this Muscle Actin HHF35 antibody.

Storage

Store the Muscle Actin antibody at 2-8oC (with azide) or aliquot and store at -20oC or colder (without azide).

Alternate Names

Muscle actin antibody

Cross
Bulk Quote Request Form
Name*:
Organization*:
Email*:
Phone Number*:
Catalog No.*:
Comments and Specifics(amount, formulation, etc.)*:
Validation code: Captchapackage Image


Can't read the image? click here to refresh.
    *required field

Your bulk quote request has been submitted successfully!

Please contact us if you have any questions.