• Tel: 858.663.9055
  • SeparatorEmail: info@nsjbio.com
  • Tel: 858.663.9055
  • Email: info@nsjbio.com
Home >> Antibodies >> Musashi 1 Antibody / MSI1

Musashi 1 Antibody / MSI1 [clone BFG-13] (RQ4735)

  Catalog No Formulation Size Price (USD)  
Image RQ4735 Antibody in PBS with 0.02% sodium azide, 50% glycerol and 0.4-0.5mg/ml BSA 100 ul 439
Microvalidated Rab Mono Image
Bulk quote request
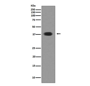
Western blot testing of human SH-SY5Y cell lysate with Musashi 1 antibody. Predicted molecular weight ~39 kDa.
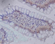
IHC staining of FFPE human colon tissue with Musashi 1 antibody. HIER: boil tissue sections in pH6, 10mM citrate buffer, for 10-20 min and allow to cool before testing.
Availability 1-2 weeks
Species Reactivity Human
Format Purified
Clonality Rabbit Monoclonal
Isotype Rabbit IgG
Clone Name BFG-13
Purity Affinity purified
UniProt O43347
Applications Western Blot : 1:1000-1:2000
Immunohistochemistry (FFPE) : 1:50-1:200
Limitations This Musashi 1 antibody is available for research use only.
Review this product on BioCompare and get a $20 Amazon gift card

Related Products

Description

The MSI1 gene encodes a protein containing two conserved tandem RNA recognition motifs. Similar proteins in other species function as RNA-binding proteins and play central roles in posttranscriptional gene regulation. Expression of this gene has been correlated with the grade of the malignancy and proliferative activity in gliomas and melanomas. [RefSeq]

Application Notes

Optimal dilution of the Musashi 1 antibody should be determined by the researcher.

Immunogen

A synthetic peptide specific to human Musashi 1 / MSI1 was used as the immunogen for the Musashi 1 antibody.

Storage

Store the Musashi 1 antibody at -20oC.

Cross
Bulk Quote Request Form
Name*:
Organization*:
Email*:
Phone Number*:
Catalog No.*:
Comments and Specifics(amount, formulation, etc.)*:
Validation code: Captchapackage Image


Can't read the image? click here to refresh.
    *required field

Your bulk quote request has been submitted successfully!

Please contact us if you have any questions.