• Tel: 858.663.9055
  • SeparatorEmail: info@nsjbio.com
  • Tel: 858.663.9055
  • Email: info@nsjbio.com
Home >> Antibodies >> MUNC18C Antibody

MUNC18C Antibody (R35732)

  Catalog No Formulation Size Price (USD)  
Image R35732-100UG 0.5 mg/ml in 1X TBS, pH7.3, with 0.5% BSA (US sourced) and 0.02% sodium azide 100 ug 449
Bulk quote request
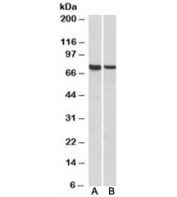
Western blot testing of human platelet lysate with MUNC18C antibody at 0.1ug/ml. Predicted molecular weight: ~68kDa.
Availability 1-3 business days
Species Reactivity Human
Predicted Reactivity Pig
Format Antigen affinity purified
Clonality Polyclonal (goat origin)
Isotype Goat Ig
Purity Antigen affinity
Gene ID 6814
Applications Western Blot : 0.1-0.3ug/ml
ELISA (peptide) LOD : 1:128000
Limitations This MUNC18C antibody is available for research use only.
Review this product on BioCompare and get a $20 Amazon gift card

Related Products

  • Applications : WB, ELISA (peptide)
    Reactivity : Human, Mouse, Rat
    Pred. Reactivity : Dog, Pig

Description

Additional name(s) for this target protein: STXBP3, syntaxin binding protein 3, MUNC18-3

Application Notes

Optimal dilution of the MUNC18C antibody should be determined by the researcher.

Immunogen

Amino acids RQKPRANYLEDRKN were used as the immunogen for this MUNC18C antibody.

Storage

Aliquot and store the MUNC18C antibody at -20oC.

Cross
Bulk Quote Request Form
Name*:
Organization*:
Email*:
Phone Number*:
Catalog No.*:
Comments and Specifics(amount, formulation, etc.)*:
Validation code: Captchapackage Image


Can't read the image? click here to refresh.
    *required field

Your bulk quote request has been submitted successfully!

Please contact us if you have any questions.