• Tel: 858.663.9055
  • SeparatorEmail: info@nsjbio.com
  • Tel: 858.663.9055
  • Email: info@nsjbio.com
Home >> Antibodies >> Mucin 2 Antibody / MUC2

Mucin 2 Antibody / MUC2 (RQ4080)

  Catalog No Formulation Size Price (USD)  
Image RQ4080 0.5mg/ml if reconstituted with 0.2ml sterile DI water 100 ug 439
Bulk quote request
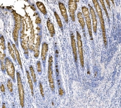
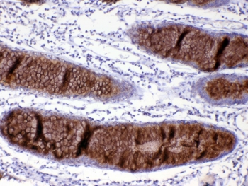
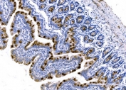
IHC testing of FFPE human rectal cancer tissue with Mucin-2 antibody at 1ug/ml. Required HIER: steam section in pH6 citrate buffer for 20 min and allow to cool prior to testing.
IHC testing of FFPE human colon cancer tissue with Mucin-2 antibody at 1ug/ml. Required HIER: steam section in pH8 EDTA for 20 min and allow to cool prior to testing.
IHC testing of FFPE mouse colon tissue with Mucin-2 antibody at 1ug/ml. Required HIER: steam section in pH8 EDTA for 20 min and allow to cool prior to testing.
IHC testing of FFPE rat colon tissue with Mucin-2 antibody at 1ug/ml. Required HIER: steam section in pH8 EDTA for 20 min and allow to cool prior to testing.
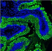
Immunofluorescent staining of FFPE human ileum with Mucin-2 antibody. HIER: boil tissue sections in pH6, 10mM citrate buffer, for 20 min and allow to cool before testing.
Immunofluorescent staining of FFPE human colon with Mucin-2 antibody. HIER: boil tissue sections in pH6, 10mM citrate buffer, for 20 min and allow to cool before testing.
Immunofluorescent staining of FFPE mouse ileum with Mucin-2 antibody. HIER: boil tissue sections in pH6, 10mM citrate buffer, for 20 min and allow to cool before testing.
Immunofluorescent staining of FFPE mouse colon with Mucin-2 antibody. HIER: boil tissue sections in pH6, 10mM citrate buffer, for 20 min and allow to cool before testing.
Immunofluorescent staining of FFPE mouse intestine with Mucin-2 antibody. HIER: boil tissue sections in pH6, 10mM citrate buffer, for 20 min and allow to cool before testing.
Immunofluorescent staining of FFPE human intestine with Mucin-2 antibody. HIER: boil tissue sections in pH6, 10mM citrate buffer, for 20 min and allow to cool before testing.
Availability 1-3 business days
Species Reactivity Human, Mouse, Rat
Format Antigen affinity purified
Clonality Polyclonal (rabbit origin)
Isotype Rabbit IgG
Purity Antigen affinity purified
Buffer Lyophilized from 1X PBS with 2% Trehalose
UniProt Q02817
Localization Secreted
Applications Immunohistochemistry (FFPE) : 2-5ug/ml
Immunofluorescence : 5-7ug/ml
Limitations This Mucin 2 antibody is available for research use only.
Review this product on BioCompare and get a $20 Amazon gift card

Related Products

Description

Mucin 2, also known as MUC2, is a protein that in humans is encoded by the MUC2 gene. This gene encodes a member of the mucin protein family. It is mapped to 11p15.5. Mucin 2 is particularly prominent in the gut where it is secreted from goblet cells in the epithelial lining into the lumen of the large intestine. There, mucin 2, along with small amounts of related-mucin proteins, polymerizes into a gel of which 80% by weight is oligosaccharide side-chains that are added as post-translational modifications to the mucin proteins. This gel provides an insoluble mucous barrier that serves to protect the intestinal epithelium. The primary function of the MUC2 gene product is to provide a protective barrier between the epithelial surfaces and the gut lumen. There is decreased expression of MUC2 in colonic cancer and defective polymerization of secreted mucin in ulcerative colitis.

Application Notes

Optimal dilution of the Mucin 2 antibody should be determined by the researcher.

Immunogen

Amino acids DDFKTASGLVEATGAGFANTWKAQSTCHDKLDWLDD from the human protein were used as the immunogen for the Mucin 2 antibody.

Storage

After reconstitution, the Mucin 2 antibody can be stored for up to one month at 4oC. For long-term, aliquot and store at -20oC. Avoid repeated freezing and thawing.

Cross
Bulk Quote Request Form
Name*:
Organization*:
Email*:
Phone Number*:
Catalog No.*:
Comments and Specifics(amount, formulation, etc.)*:
Validation code: Captchapackage Image


Can't read the image? click here to refresh.
    *required field

Your bulk quote request has been submitted successfully!

Please contact us if you have any questions.