• Tel: 858.663.9055
  • SeparatorEmail: info@nsjbio.com
  • Tel: 858.663.9055
  • Email: info@nsjbio.com
Home >> Antibodies >> Mucin-1 Antibody / MUC1 (beta subunit)

Mucin-1 Antibody / MUC1 (beta subunit) [clone FHA-13] (RQ5459)

  Catalog No Formulation Size Price (USD)  
Image RQ5459 Antibody in PBS with 0.02% sodium azide, 50% glycerol and 0.4-0.5mg/ml BSA 100 ul 439
Microvalidated Rab Mono Image
Bulk quote request
Western blot testing of human T-47D cell lysate with Mucin-1 antibody. Expected molecular weight: 17-25 kDa depending on glycosylation level.
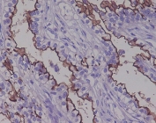
IHC staining of FFPE human ovarian cancer with Mucin-1 antibody. HIER: boil tissue sections in pH6, 10mM citrate buffer, for 10-20 min and allow to cool before testing.
Western blot testing of human MCF7 cell lysate with Mucin-1 antibody at 1:3000 dilution. Expected molecular weight: 17-25 kDa depending on glycosylation level.
Western blot testing of mouse 1) stomach and 2) pancreas tissue lysate with Mucin-1 antibody at 1:5000 dilution. Expected molecular weight: 17-25 kDa depending on glycosylation level.
Western blot testing of 1) mouse lung and 2) rat lung tissue lysate with Mucin-1 antibody at 1:5000 dilution. Expected molecular weight: 17-25 kDa depending on glycosylation level.
Availability 1-2 weeks
Species Reactivity Human, Mouse, Rat
Format Purified
Clonality Rabbit Monoclonal
Isotype Rabbit IgG
Clone Name FHA-13
Purity Affinity purified
UniProt P15941
Applications Western Blot : 1:1000-1:5000
Immunohistochemistry (FFPE) : 1:50-1:200
Limitations This Mucin-1 antibody is available for research use only.
Review this product on BioCompare and get a $20 Amazon gift card

Related Products

Description

The MUC1 gene encodes a membrane-bound protein that is a member of the mucin family. Mucins are O-glycosylated proteins that play an essential role in forming protective mucous barriers on epithelial surfaces. These proteins also play a role in intracellular signaling. This protein is expressed on the apical surface of epithelial cells that line the mucosal surfaces of many different tissues including lung, breast stomach and pancreas. This protein is proteolytically cleaved into alpha and beta subunits that form a heterodimeric complex. The N-terminal alpha subunit functions in cell-adhesion and the C-terminal beta subunit is involved in cell signaling. Overexpression, aberrant intracellular localization, and changes in glycosylation of this protein have been associated with carcinomas. This gene is known to contain a highly polymorphic variable number tandem repeats (VNTR) domain. [RefSeq]

Application Notes

Optimal dilution of the Mucin-1 antibody should be determined by the researcher.

Immunogen

A synthetic peptide specific to the C-terminal region (beta subunit) of human MUC1 / Mucin-1 was used as the immunogen for the Mucin-1 antibody.

Storage

Store the Mucin-1 antibody at -20oC.

Cross
Bulk Quote Request Form
Name*:
Organization*:
Email*:
Phone Number*:
Catalog No.*:
Comments and Specifics(amount, formulation, etc.)*:
Validation code: Captchapackage Image


Can't read the image? click here to refresh.
    *required field

Your bulk quote request has been submitted successfully!

Please contact us if you have any questions.