• Tel: 858.663.9055
  • SeparatorEmail: info@nsjbio.com
  • Tel: 858.663.9055
  • Email: info@nsjbio.com
Home >> Antibodies >> MUC5AC Antibody / Mucin-5AC

MUC5AC Antibody / Mucin-5AC [clone 45M1] (V2198)

  Catalog No Formulation Size Price (USD)  
Image V2198-100UG 0.2 mg/ml in 1X PBS with 0.1 mg/ml BSA (US sourced) and 0.05% sodium azide 100 ug 539
Image
V2198-20UG 0.2 mg/ml in 1X PBS with 0.1 mg/ml BSA (US sourced) and 0.05% sodium azide 20 ug 249
Image
V2198SAF-100UG 1 mg/ml in 1X PBS; BSA free, sodium azide free 100 ug 539
Image
V2198IHC-7ML Prediluted in 1X PBS with 0.1 mg/ml BSA (US sourced) and 0.05% sodium azide; *For IHC use only* 7 ml 539
Bulk quote request
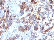
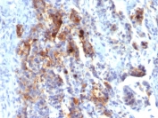
IHC testing of FFPE human stomach stained with MUC5AC antibody (clone 45M1).
IHC testing of FFPE human gastric carcinoma stained with MUC5AC antibody (clone 45M1).
IHC testing of FFPE rat stomach stained with MUC5AC antibody (clone 45M1).
IHC testing of FFPE human gastric carcinoma stained with MUC5AC antibody (clone 45M1).
Species Reactivity Human, Mouse, Rat
Format Purified
Clonality Monoclonal (mouse origin)
Isotype Mouse IgG1, kappa
Clone Name 45M1
Purity Protein G affinity chromatography
Gene ID 4586
Localization Cytoplasmic
Applications Immunohistochemistry (FFPE) : 1-2ug/ml for 30 min at RT
Limitations This MUC5AC antibody is available for research use only.
Review this product on BioCompare and get a $20 Amazon gift card

Related Products

Description

MUC5AC antibody clone 45M1 is a monoclonal antibody directed against mucin 5AC, a secreted gel forming mucin primarily produced by goblet cells of the respiratory and gastric epithelium. MUC5AC contributes to the viscoelastic properties of mucus, serving as a barrier that protects epithelial surfaces from pathogens, toxins, and environmental injury. Dysregulation of MUC5AC expression is associated with respiratory disorders, gastric disease, and cancer, making it an important focus in biomedical research. NSJ Bioreagents provides MUC5AC antibody clone 45M1 as a dependable reagent for studies of mucosal defense, inflammation, and tumor biology.

MUC5AC antibody clone 45M1 produces strong cytoplasmic and extracellular staining of goblet cells, where it reveals secretory granules filled with mucin. In pulmonary research, clone 45M1 is used to investigate mucus hypersecretion, a central feature of asthma, chronic bronchitis, and chronic obstructive pulmonary disease. Elevated MUC5AC levels in airway epithelium are associated with impaired mucociliary clearance and contribute to airway obstruction. This antibody provides a sensitive and specific means of tracking these changes in both clinical samples and experimental models.

In gastric biology, MUC5AC antibody clone 45M1 identifies epithelial cells of the gastric foveola, where MUC5AC secretion forms part of the protective mucous barrier of the stomach lining. Alterations in MUC5AC expression have been documented in gastritis and gastric carcinoma. In oncology research, clone 45M1 has been used to detect abnormal mucin expression patterns in gastric adenocarcinomas and other mucinous tumors, helping distinguish tumor subtypes and clarify their biology.

MUC5AC also has roles in host-pathogen interactions. Pathogens such as Helicobacter pylori manipulate MUC5AC expression to colonize the gastric mucosa. MUC5AC antibody clone 45M1 has been applied in infection studies to explore how mucin levels change in response to microbial exposure.

Technically, clone 45M1 has been validated across tissue based studies, producing clear and reproducible staining patterns. Its publication record spans respiratory biology, gastric disease, oncology, and infectious disease. Alternate names include mucin 5AC antibody, secreted mucin antibody, and gel forming mucin MUC5AC antibody.

Application Notes

The concentration stated for each application is a general starting point. Variations in protocols, secondaries and substrates may require the MUC5AC antibody to be titered up or down for optimal performance.

1. Staining of formalin-fixed tissues requires boiling tissue sections in pH 9 10mM Tris with 1mM EDTA for 10-20 min followed by cooling at RT for 20 minutes.
2. The prediluted format is supplied in a dropper bottle and is optimized for use in IHC. After epitope retrieval step (if required), drip mAb solution onto the tissue section and incubate at RT for 30 min.

Immunogen

M1 mucin preparation from the fluid of an ovarian mucinous cyst belonging to an O Le(a-b) patient was used as the immunogen for this MUC5AC antibody.

Storage

Store the MUC5AC antibody at 2-8oC (with azide) or aliquot and store at -20oC or colder (without azide).

Cross
Bulk Quote Request Form
Name*:
Organization*:
Email*:
Phone Number*:
Catalog No.*:
Comments and Specifics(amount, formulation, etc.)*:
Validation code: Captchapackage Image


Can't read the image? click here to refresh.
    *required field

Your bulk quote request has been submitted successfully!

Please contact us if you have any questions.