• Tel: 858.663.9055
  • SeparatorEmail: info@nsjbio.com
  • Tel: 858.663.9055
  • Email: info@nsjbio.com
Home >> Antibodies >> MUC5AC Antibody

MUC5AC Antibody [clone MUC5AC/7798R] (V4160)

  Catalog No Formulation Size Price (USD)  
Image V4160-100UG 0.2 mg/ml in 1X PBS with 0.1 mg/ml BSA (US sourced), 0.05% sodium azide 100 ug 539
Image
V4160-20UG 0.2 mg/ml in 1X PBS with 0.1 mg/ml BSA (US sourced), 0.05% sodium azide 20 ug 249
Image
V4160SAF-100UG 1 mg/ml in 1X PBS; BSA free, sodium azide free 100 ug 539
Microvalidated Recrabbitmono
Bulk quote request
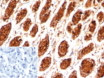
IHC staining of FFPE human stomach tissue with MUC5AC antibody (clone MUC5AC/7798R). Inset: PBS used in place of primary Ab (secondary Ab negative control). HIER: boil tissue sections in pH 9 10mM Tris with 1mM EDTA for 20 min and allow to cool before testing.
SDS-PAGE analysis of purified, BSA-free MUC5AC antibody (clone MUC5AC/7798R) as confirmation of integrity and purity.
Availability 1-3 business days
Species Reactivity Human
Format Purified
Clonality Recombinant Rabbit Monoclonal
Isotype Rabbit IgG, kappa
Clone Name MUC5AC/7798R
Purity Protein A/G affinity
UniProt P98088
Localization Cytoplasm
Applications Immunohistochemistry (FFPE) : 1-2ug/ml
Limitations This MUC5AC antibody is available for research use only.
Review this product on BioCompare and get a $20 Amazon gift card

Related Products

Description

Mucins are a group of high molecular weight glycoproteins consisting of a mucin core protein and O-linked carbohydrates. Mucin 6 carries GlcNAcAlpha1- 4Galbeta-R structures, indicating that Alpha1, 4-N acetylglucosaminyltransferase is important to the formation of the mucous glycoproteins in vivo. Mucin 5AC is a gel-forming mucin that is secreted from surface mucous cells. Glucocorticoid is required for the expression of Mucin 5AC mRNA and high doses of hydrocortisone suppresses its expression. Additionally, asthmatic fluid stimulates Mucin 5AC synthesis several-fold. The pro-inflammatory cytokines IL-6 and TNFAlpha stimulate Mucin 5AC secretion and thus contribute to the upregulation of mucin by chronic inflammation. Expression of Mucin 5AC is retinoic acid (RA)- or retinol-dependent, and RA control of mucin genes is mediated by the retinoid acid receptor RARAlpha and, to a lesser extent, by RARGamma. Thyroid hormone binding to thyroid receptors inhibits Mucin 5AC gene expression. Mucin 5AC is also expressed in normal endocervical epithelium, small intestine, gastric cells (Lewis type 1) and gastric metaplasia and it is one of the major mucins in the ethmoid mucosa.

Application Notes

Optimal dilution of the MUC5AC antibody should be determined by the researcher.

Immunogen

Recombinant full-length human MUC5AC protein was used as the immunogen for the MUC5AC antibody.

Storage

Aliquot the MUC5AC antibody and store frozen at -20oC or colder. Avoid repeated freeze-thaw cycles.

Cross
Bulk Quote Request Form
Name*:
Organization*:
Email*:
Phone Number*:
Catalog No.*:
Comments and Specifics(amount, formulation, etc.)*:
Validation code: Captchapackage Image


Can't read the image? click here to refresh.
    *required field

Your bulk quote request has been submitted successfully!

Please contact us if you have any questions.