• Tel: 858.663.9055
  • SeparatorEmail: info@nsjbio.com
  • Tel: 858.663.9055
  • Email: info@nsjbio.com
Home >> Antibodies >> MUC5AC Antibody

MUC5AC Antibody [clone 45M1] (V8591BTN)

  Catalog No Formulation Size Price (USD)  
Image V8591BTN 1 mg/ml with 0.1 mg/ml BSA (US sourced), 0.05% sodium azide 100 ug 539
Image
V8591BTN-20UG 0.2 mg/ml with 0.1 mg/ml BSA (US sourced), 0.05% sodium azide 20 ug 249
Image
V8591BTN-SAF100UG 1 mg/ml in 1X PBS; BSA free, sodium azide free 100 ug 539
Bulk quote request
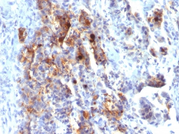
IHC staining of FFPE human gastric carcinoma with biotinylated MUC5AC antibody (clone 45M1). HIER: boil tissue sections in pH 9 10mM Tris with 1mM EDTA for 20 min and allow to cool before testing.
Availability 1-3 business days
Species Reactivity Human, Mouse, Rat
Format Biotin Conjugate
Clonality Monoclonal (mouse origin)
Isotype Mouse IgG1, kappa
Clone Name 45M1
Purity Protein G affinity chromatography
UniProt P98088
Localization Cytoplasmic
Applications Immunohistochemistry (FFPE) : 1-2ug/ml for 30 minutes at RT
Limitations This biotinylated MUC5AC antibody is available for research use only.
Review this product on BioCompare and get a $20 Amazon gift card

Related Products

Description

MUC5AC antibody detects mucin 5AC, a gel-forming glycoprotein encoded by the MUC5AC gene. MUC5AC is secreted by goblet cells in the respiratory and gastrointestinal tracts, where it contributes to the protective mucous barrier. Because MUC5AC is overexpressed in many epithelial cancers and respiratory diseases, MUC5AC antibody is an important reagent in oncology, pulmonary biology, and gastroenterology.

MUC5AC is a large polymeric mucin with extensive glycosylation that provides viscosity and protective properties. In normal physiology, it lubricates and protects epithelial surfaces against pathogens and mechanical stress. In pathology, MUC5AC is upregulated in conditions such as asthma, chronic obstructive pulmonary disease, and gastric carcinoma, where it contributes to altered barrier function and disease progression.

The MUC5AC antibody clone 45M1 is supplied here in a biotin-conjugated format, enabling direct use with streptavidin-based detection systems. Clone 45M1 has been referenced in peer-reviewed studies of gastric pathology, airway inflammation, and tumor biology. Its versatility makes it suitable for immunohistochemistry, ELISA, and other biotin-based detection platforms requiring precise localization of mucin proteins.

Research using clone 45M1 has highlighted how MUC5AC expression distinguishes mucinous carcinomas from other tumor types, aiding in diagnostic pathology. In pulmonary research, detection of MUC5AC has clarified how goblet cell hyperplasia and mucin overproduction contribute to chronic airway disease. This antibody has also been valuable in developmental biology studies of mucin gene regulation and epithelial differentiation.

NSJ Bioreagents provides this MUC5AC antibody in a biotin-conjugated format to support oncology, pulmonary biology, and gastrointestinal research. Alternate designations include MUC5AC protein antibody, mucin 5AC antibody, gastric mucin antibody, respiratory tract mucin antibody, epithelial secretory mucin antibody, and MUC5AC gene product antibody.

This MAb recognizes the peptide core of gastric mucin M1 (recently identified as Mucin 5AC). Its epitope is located in the C-terminal cysteine rich part of the peptide core of MUC5AC. Its epitope is destroyed by beta-mercaptoethanol but not by periodate treatment.

Application Notes

Optimal dilution of the biotinylated MUC5AC antibody should be determined by the researcher.

Immunogen

An M1 mucin preparation from the fluid of an ovarian mucinous cyst belonging to an O Le(a-b) patient was used as the immunogen for the biotinylated MUC5AC antibody.

Storage

Store the biotinylated MUC5AC antibody at 2-8oC (up to one month) or aliquot and store at -20oC (longer term).

Cross
Bulk Quote Request Form
Name*:
Organization*:
Email*:
Phone Number*:
Catalog No.*:
Comments and Specifics(amount, formulation, etc.)*:
Validation code: Captchapackage Image


Can't read the image? click here to refresh.
    *required field

Your bulk quote request has been submitted successfully!

Please contact us if you have any questions.