• Tel: 858.663.9055
  • SeparatorEmail: info@nsjbio.com
  • Tel: 858.663.9055
  • Email: info@nsjbio.com
Home >> Antibodies >> MUC4 Antibody / Mucin-4

MUC4 Antibody / Mucin-4 [clone MUC4/3105] (V7542)

  Catalog No Formulation Size Price (USD)  
Image V7542-100UG 0.2 mg/ml in 1X PBS with 0.1 mg/ml BSA (US sourced) and 0.05% sodium azide 100 ug 539
Image
V7542-20UG 0.2 mg/ml in 1X PBS with 0.1 mg/ml BSA (US sourced) and 0.05% sodium azide 20 ug 249
Image
V7542SAF-100UG 1 mg/ml in 1X PBS; BSA free, sodium azide free 100 ug 539
Image
V7542IHC-7ML Prediluted in 1X PBS with 0.1 mg/ml BSA (US sourced) and 0.05% sodium azide; *For IHC use only* 7 ml 539
Microvalidated
Bulk quote request
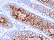
IHC testing of FFPE human gastric carcinoma with MUC4 antibody (clone MUC4/3105). HIER: requires steaming of sections in 10mM citrate buffer, pH 6, for 10-20 min and allow to cool before testing.
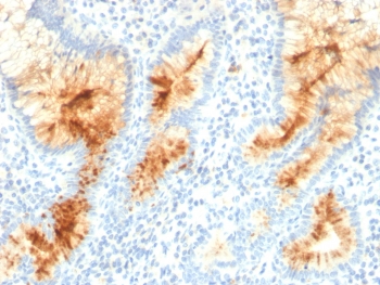
IHC testing of FFPE human colon carcinoma with MUC4 antibody (clone MUC4/3105). HIER: requires steaming of sections in 10mM citrate buffer, pH 6, for 10-20 min and allow to cool before testing.
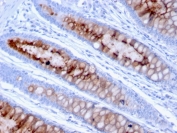
IHC testing of FFPE human colon carcinoma with MUC4 antibody (clone MUC4/3105). HIER: requires steaming of sections in 10mM citrate buffer, pH 6, for 10-20 min and allow to cool before testing.
Analysis of HuProt(TM) microarray containing more than 19,000 full-length human proteins using MUC4 antibody (clone MUC4/3105). These results demonstrate the foremost specificity of the MUC4/3105 mAb.
Z- and S- score: The Z-score represents the strength of a signal that an antibody (in combination with a fluorescently-tagged anti-IgG secondary Ab) produces when binding to a particular protein on the HuProt(TM) array. Z-scores are described in units of standard deviations (SD's) above the mean value of all signals generated on that array. If the targets on the HuProt(TM) are arranged in descending order of the Z-score, the S-score is the difference (also in units of SD's) between the Z-scores. The S-score therefore represents the relative target specificity of an Ab to its intended target.
SDS-PAGE analysis of purified, BSA-free MUC4 antibody (clone MUC4/3105) as confirmation of integrity and purity.
Species Reactivity Human
Format Purified
Clonality Monoclonal (mouse origin)
Isotype Mouse IgG2b, kappa
Clone Name MUC4/3105
Purity Protein G affinity chromatography
UniProt Q99102
Localization Cytoplasmic
Applications Immunohistochemistry (FFPE) : 1-2ug/ml for 30 min at RT
Limitations This MUC4 antibody is available for research use only.
Review this product on BioCompare and get a $20 Amazon gift card

Related Products

Description

The major constituents of mucus, the viscous secretion that covers epithelial surfaces such as those in the trachea, colon, and cervix, are highly glycosylated proteins called mucins. These glycoproteins play important roles in the protection of the epithelial cells and have been implicated in epithelial renewal and differentiation. This gene encodes an integral membrane glycoprotein found on the cell surface, although secreted isoforms may exist. MUC-4 transcripts have been detected in normal respiratory epithelium and lung. MUC-4 is a very specific (100%) and sensitive (90%) marker of lung adenocarcinomas and is negative for mesotheliomas. Reportedly, MUC-4 expression in invasive ductal carcinoma of the pancreas is an independent factor for poor prognosis.

Application Notes

The concentration stated for each application is a general starting point. Variations in protocols, secondaries and substrates may require the MUC4 antibody to be titered up or down for optimal performance.

1. The prediluted format is supplied in a dropper bottle and is optimized for use in IHC. After epitope retrieval step (if required), drip mAb solution onto the tissue section and incubate at RT for 30 min.

Immunogen

Amino acids 1730-1864 from the human protein were used as the immunogen for this MUC4 antibody.

Storage

Store the MUC4 antibody at 2-8oC (with azide) or aliquot and store at -20oC or colder (without azide).

Cross
Bulk Quote Request Form
Name*:
Organization*:
Email*:
Phone Number*:
Catalog No.*:
Comments and Specifics(amount, formulation, etc.)*:
Validation code: Captchapackage Image


Can't read the image? click here to refresh.
    *required field

Your bulk quote request has been submitted successfully!

Please contact us if you have any questions.