• Tel: 858.663.9055
  • SeparatorEmail: info@nsjbio.com
  • Tel: 858.663.9055
  • Email: info@nsjbio.com
Home >> Antibodies >> MUC2 Antibody / Mucin-2

MUC2 Antibody / Mucin-2 [clone CCP58] (V2197)

  Catalog No Formulation Size Price (USD)  
Image V2197-100UG 0.2 mg/ml in 1X PBS with 0.1 mg/ml BSA (US sourced) and 0.05% sodium azide 100 ug 539
Image
V2197-20UG 0.2 mg/ml in 1X PBS with 0.1 mg/ml BSA (US sourced) and 0.05% sodium azide 20 ug 249
Image
V2197SAF-100UG 1 mg/ml in 1X PBS; BSA free, sodium azide free 100 ug 539
Image
V2197IHC-7ML Prediluted in 1X PBS with 0.1 mg/ml BSA (US sourced) and 0.05% sodium azide; *For IHC use only* 7 ml 539
Bulk quote request
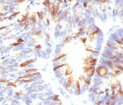
Formalin/paraffin normal human intestine stained with MUC2 antibody (CCP58).
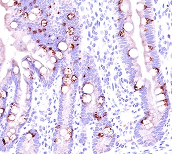
IHC testing of FFPE human colon carcinoma with MUC2 antibody
Species Reactivity Human
Format Purified
Clonality Monoclonal (mouse origin)
Isotype Mouse IgG1, kappa
Clone Name CCP58
Purity Protein G affinity chromatography
Buffer 1X PBS, pH 7.4
Gene ID 4583
Localization Cytoplasmic and cell surface
Applications Immunohistochemistry (FFPE) : 0.5-1ug/ml for 30 min at RT (1)
Prediluted IHC Only Format : incubate for 30 min at RT (2)
Limitations This MUC2 antibody is available for research use only.
Review this product on BioCompare and get a $20 Amazon gift card

Related Products

Description

MUC2 antibody clone CCP58 is a monoclonal antibody directed against mucin 2, a secreted gel forming mucin produced by goblet cells of the intestine and respiratory tract. MUC2 forms a protective mucous barrier that shields epithelial surfaces from pathogens, toxins, and mechanical stress. Because of its essential role in mucosal defense and its dysregulation in disease, MUC2 is a critical subject of research in gastrointestinal biology, infection, and cancer. NSJ Bioreagents supplies MUC2 antibody clone CCP58 as a trusted tool for exploring mucin biology and pathology.

MUC2 antibody clone CCP58 produces distinct cytoplasmic and extracellular staining of goblet cells in intestinal and respiratory epithelia. It is widely used to characterize mucin expression in normal tissue and in conditions such as inflammatory bowel disease, ulcerative colitis, and Crohn disease. In these contexts, MUC2 expression often reflects alterations in goblet cell numbers and secretory function, making detection an important readout for intestinal health.

In oncology, MUC2 antibody clone CCP58 has been applied to the study of mucinous adenocarcinomas of the colon, ovary, and pancreas. MUC2 expression is a defining feature of mucinous tumors, and clone CCP58 helps pathologists and researchers identify and classify these neoplasms. It has also been used to distinguish mucinous from non mucinous carcinomas, aiding in tumor subtyping and prognosis assessment.

MUC2 antibody clone CCP58 is also valuable in infection research, as MUC2 secretion is a frontline defense against pathogens. Studies of bacterial and parasitic infections have documented how MUC2 expression is altered during disease, and this antibody provides an essential tool for visualizing those changes.

Validated for tissue and cell based studies, MUC2 antibody clone CCP58 produces strong and reproducible results. Its wide citation history demonstrates its reliability across gastrointestinal biology, infection, and oncology. Alternate names include mucin 2 antibody, secreted mucin antibody, and gel forming mucin antibody.

Application Notes

The concentration stated for each application is a general starting point. Variations in protocols, secondaries and substrates may require the MUC2 antibody to be titered up or down for optimal performance.

1. Staining of formalin-fixed tissues requires boiling tissue sections in 10mM Tris-HCl buffer, pH 10.0, for 10-20 min followed by cooling at RT for 20 minutes.
2. The prediluted format is supplied in a dropper bottle and is optimized for use in IHC. After epitope retrieval step (if required), drip mAb solution onto the tissue section and incubate at RT for 30 min.

Immunogen

Amino acids, KYPTTTPISTTTMVTPTPTPTGTQTPTTT, from human MUC2 / Mucin-2 protein, were used as the immunogen for this antibody.

Storage

Store the MUC52 antibody at 2-8oC (with azide) or aliquot and store at -20oC or colder (without azide).

Cross
Bulk Quote Request Form
Name*:
Organization*:
Email*:
Phone Number*:
Catalog No.*:
Comments and Specifics(amount, formulation, etc.)*:
Validation code: Captchapackage Image


Can't read the image? click here to refresh.
    *required field

Your bulk quote request has been submitted successfully!

Please contact us if you have any questions.