• Tel: 858.663.9055
  • SeparatorEmail: info@nsjbio.com
  • Tel: 858.663.9055
  • Email: info@nsjbio.com
Home >> Antibodies >> MUC16 Antibody

MUC16 Antibody [clone OCA125/1900] (V8373)

  Catalog No Formulation Size Price (USD)  
Image V8373-100UG 0.2 mg/ml in 1X PBS with 0.1 mg/ml BSA (US sourced) and 0.05% sodium azide 100 ug 539
Image
V8373-20UG 0.2 mg/ml in 1X PBS with 0.1 mg/ml BSA (US sourced) and 0.05% sodium azide 20 ug 249
Image
V8373SAF-100UG 1 mg/ml in 1X PBS; BSA free, sodium azide free 100 ug 539
Bulk quote request
IHC staining of FFPE human ovarian carcinoma with recombinant MUC16 antibody (clone OCA125/1900). HIER: boil tissue sections in pH 9 10mM Tris with 1mM EDTA for 20 min and allow to cool before testing.
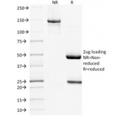
SDS-PAGE analysis of purified, BSA-free MUC16 antibody (clone OCA125/1900) as confirmation of integrity and purity.
Availability 1-3 business days
Species Reactivity Human
Format Purified
Clonality Monoclonal (mouse origin)
Isotype Mouse IgG1, kappa
Clone Name OCA125/1900
Purity Protein G affinity chromatography
UniProt Q8WXI7
Localization Cell surface, cytoplasmic, secreted
Applications Immunohistochemistry (FFPE) : 1-2ug/ml for 30 minutes at RT
Limitations This MUC16 antibody is available for research use only.
Review this product on BioCompare and get a $20 Amazon gift card

Related Products

Description

The mucins are a family of highly glycosylated, secreted proteins with a basic structure consisting of a variable number of tandem repeats (VNTRs). Membrane-associated and secretory Mucins are high molecular weight glycoproteins of the glycocalyx (polysaccharide biofilm) that protects mucosal epithelium from particulate matter and microorganisms. Epithelial Mucins are large, secreted and cell surface glycoproteins crucial for adhesion modulation, signaling and epithelial cell protection. The number of repeats is highly polymorphic and varies among different alleles. The Mucin family consists of Mucins 1-4, Mucin 5 (AC and B), Mucins 6-8, Mucins 11-13 and Mucins 15-17. The Mucin 16 protein (also commonly referred to as CA125), encoded for by the gene MUC16, is a very high molecular weight tumor antigen consisting of three domains: a carboxy terminal domain, an extracellular domain and an amino terminal domain. Mucin 16, an ovarian cancer-associated antigen, is used as a marker to monitor the progress of epithelial ovarian cancer. It is a hydrophilic membrane-associated protein that may be involved in vitamin A functions.

Application Notes

Optimal dilution of the MUC16 antibody should be determined by the researcher.

Immunogen

Full length native MUC16 protein purified from human ovarian carcinoma was used as the immunogen for the MUC16 antibody.

Storage

Store the MUC16 antibody at 2-8oC (with azide) or aliquot and store at -20oC or colder (without azide).

Cross
Bulk Quote Request Form
Name*:
Organization*:
Email*:
Phone Number*:
Catalog No.*:
Comments and Specifics(amount, formulation, etc.)*:
Validation code: Captchapackage Image


Can't read the image? click here to refresh.
    *required field

Your bulk quote request has been submitted successfully!

Please contact us if you have any questions.