• Tel: 858.663.9055
  • SeparatorEmail: info@nsjbio.com
  • Tel: 858.663.9055
  • Email: info@nsjbio.com
Home >> Antibodies >> MUC1 Antibody / Mucin-1

MUC1 Antibody / Mucin-1 (RQ7094)

  Catalog No Formulation Size Price (USD)  
Image RQ7094 0.5mg/ml if reconstituted with 0.2ml sterile DI water 100 ug 439
Bulk quote request
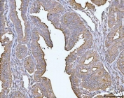
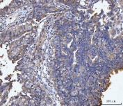
IHC staining of FFPE human ovarian carcinoma tissue with MUC1 antibody. HIER: boil tissue sections in pH8 EDTA for 20 min and allow to cool before testing.
IHC staining of FFPE human bladder epithelial carcinoma tissue with MUC1 antibody. HIER: boil tissue sections in pH8 EDTA for 20 min and allow to cool before testing.
IHC staining of FFPE human endometrial cancer tissue with MUC1 antibody. HIER: boil tissue sections in pH8 EDTA for 20 min and allow to cool before testing.
Availability 1-3 business days
Species Reactivity Human
Format Antigen affinity purified
Clonality Polyclonal (rabbit origin)
Isotype Rabbit IgG
Purity Antigen affinity purified
Buffer Lyophilized from 1X PBS with 2% Trehalose
UniProt P15941
Localization Cytoplasmic and cell surface
Applications Immunohistochemistry (FFPE) : 2-5ug/ml
Direct ELISA : 0.1-0.5ug/ml
Limitations This MUC1 antibody is available for research use only.
Review this product on BioCompare and get a $20 Amazon gift card

Related Products

Description

Mucin 1, cell surface associated (MUC1) or polymorphic epithelial mucin (PEM) is a mucin encoded by the MUC1 gene in humans. This gene encodes a membrane-bound protein that is a member of the mucin family. Mucins are O-glycosylated proteins that play an essential role in forming protective mucous barriers on epithelial surfaces. It is mapped to 1q22. Mucin 1 is a transmembrane mucin normally expressed on the apical borders of secretory epithelial cells. Overexpression of Mucin 1 is often associated with colon, breast, ovarian, lung and pancreatic cancers. The protein serves a protective function by binding to pathogens and also functions in a cell signaling capacity. Mucin 1 stimulated ESR1-mediated transcription and contributed to estradiol-mediated growth and survival of breast cancer cells. This gene also can suppress pulmonary innate immunity, and its antiinflammatory activity may play an important modulatory role during microbial infection.

Application Notes

Optimal dilution of the MUC1 antibody should be determined by the researcher.

Immunogen

Recombinant human protein (amino acids A979-R1095) was used as the immunogen for the MUC1 antibody.

Storage

After reconstitution, the MUC1 antibody can be stored for up to one month at 4oC. For long-term, aliquot and store at -20oC. Avoid repeated freezing and thawing.

Cross
Bulk Quote Request Form
Name*:
Organization*:
Email*:
Phone Number*:
Catalog No.*:
Comments and Specifics(amount, formulation, etc.)*:
Validation code: Captchapackage Image


Can't read the image? click here to refresh.
    *required field

Your bulk quote request has been submitted successfully!

Please contact us if you have any questions.