• Tel: 858.663.9055
  • SeparatorEmail: info@nsjbio.com
  • Tel: 858.663.9055
  • Email: info@nsjbio.com
Home >> Antibodies >> MUC1 Antibody / Mucin-1

MUC1 Antibody / Mucin-1 [clone Mc5] (V8931)

  Catalog No Formulation Size Price (USD)  
Image V8931-100UG 0.2 mg/ml in 1X PBS with 0.1 mg/ml BSA (US sourced), 0.05% sodium azide 100 ug 539
Image
V8931-20UG 0.2 mg/ml in 1X PBS with 0.1 mg/ml BSA (US sourced), 0.05% sodium azide 20 ug 249
Image
V8931SAF-100UG 1 mg/ml in 1X PBS; BSA free, sodium azide free 100 ug 539
Bulk quote request
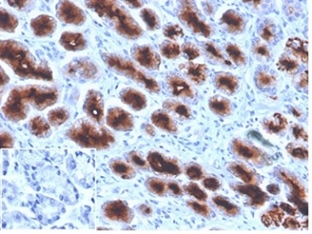
IHC staining of FFPE human stomach tissue with MUC1 antibody (clone Mc5). Negative control inset: PBS instead of primary antibody to control for secondary binding. HIER: boil tissue sections in pH 9 10mM Tris with 1mM EDTA for 20 min and allow to cool before testing.
SDS-PAGE analysis of purified, BSA-free MUC1 antibody (clone Mc5) as confirmation of integrity and purity.
Availability 1-3 business days
Species Reactivity Human
Format Purified
Clonality Monoclonal (mouse origin)
Isotype Mouse IgG1, kappa
Clone Name Mc5
Purity Protein A/G affinity
UniProt P15941
Localization Cell surface, Cytoplasm
Applications Flow Cytometry : 1-2ug/million cells
Immunofluorescence : 1-2ug/ml
Western Blot : 1-2ug/ml
Immunohistochemistry (FFPE) : 1-2ug/ml
Limitations This MUC1 antibody is available for research use only.
Review this product on BioCompare and get a $20 Amazon gift card

Related Products

Description

The mucin antigen recognized by Mc-5 is a glycosylated molecule with a molecular mass of 400 kD. The sequence to which this antibody binds is Thr-Arg-Pro-Ala-Pro. Although EMA is primarily located in mammary gland epithelium, other normal epithelia (e.g., lung) will also react against EMA antibody. Staining, however, is the strongest in mammary epithelia. The combination of positive staining for keratin with negative EMA can be used to phenotype the above-mentioned epithelial tumors. Recognizes the mucin antigen that is present in most epithelial tissues (breast, colonic, bronchial, gastric, etc.) This antibody does not recognize myelopoietic, lymphopoietic, fibroblasts or sarcomatous cells.

Application Notes

Optimal dilution of the MUC1 antibody should be determined by the researcher.

Immunogen

Delipidated human milk fat globules were used as the immunogen for the MUC1 antibody. The sequence to which this antibody binds is Thr-Arg-Pro-Ala-Pro.

Storage

Aliquot the MUC1 antibody and store frozen at -20oC or colder. Avoid repeated freeze-thaw cycles.

Cross
Bulk Quote Request Form
Name*:
Organization*:
Email*:
Phone Number*:
Catalog No.*:
Comments and Specifics(amount, formulation, etc.)*:
Validation code: Captchapackage Image


Can't read the image? click here to refresh.
    *required field

Your bulk quote request has been submitted successfully!

Please contact us if you have any questions.