• Tel: 858.663.9055
  • SeparatorEmail: info@nsjbio.com
  • Tel: 858.663.9055
  • Email: info@nsjbio.com
Home >> Antibodies >> MUC1 Antibody / Mucin-1 / EMA

MUC1 Antibody / Mucin-1 / EMA [clone MUC1/520] (V2725)

  Catalog No Formulation Size Price (USD)  
Image V2725-100UG 0.2 mg/ml in 1X PBS with 0.1 mg/ml BSA (US sourced) and 0.05% sodium azide 100 ug 539
Image
V2725-20UG 0.2 mg/ml in 1X PBS with 0.1 mg/ml BSA (US sourced) and 0.05% sodium azide 20 ug 249
Image
V2725SAF-100UG 1 mg/ml in 1X PBS; BSA free, sodium azide free 100 ug 539
Image
V2725IHC-7ML Prediluted in 1X PBS, 0.1 mg/ml BSA (US sourced), 0.05% sodium azide; *For IHC use only* 7 ml 539
Bulk quote request
Formalin-fixed, paraffin-embedded human ovarian carcinoma stained with EMA antibody (MUC1/520).
Formalin-fixed, paraffin-embedded human colon carcinoma stained with MUC1 antibody (MUC1/520).
Formalin-fixed, paraffin-embedded human endometrial carcinoma stained with MUC1 antibody (MUC1/520).
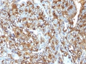
Formalin-fixed, paraffin-embedded human breast carcinoma stained with MUC1 antibody (MUC1/520).
Formalin-fixed, paraffin-embedded human breast carcinoma stained with MUC1 antibody (MUC1/520).
Formalin-fixed, paraffin-embedded human breast carcinoma stained with MUC1 antibody (MUC1/520).
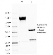
SDS-PAGE Analysis of Purified, BSA-Free MUC1 Antibody (clone MUC1/520). Confirmation of Integrity and Purity of the Antibody.
Western blot testing of human MCF7 cell lysate with MUC1 antibody (clone MUC1/520). This glycoprotein is commonly visualized between 120~500 kDa.
Species Reactivity Human
Format Purified
Clonality Monoclonal (mouse origin)
Isotype Mouse IgG2a, lambda
Clone Name MUC1/520
Purity Protein G affinity chromatography
UniProt P15941
Localization Cytoplasmic and cell surface
Applications Immunohistochemistry (FFPE) : 1-2ug/ml for 30 min at RT
Western Blot : 1-2ug/ml
Limitations This MUC1 antibody is available for research use only.
Review this product on BioCompare and get a $20 Amazon gift card

Related Products

Description

In Western blotting, it recognizes proteins in MW range of 265-400 kDa, identified as different glycoforms of MUC1/Mucin-1/Epithelial Marker Antigen/EMA. The alpha subunit has cell adhesive properties. It can act both as an adhesion and an anti-adhesion protein. EMA may provide a protective layer on epithelial cells against bacterial and enzyme attack. The beta subunit contains a C-terminal domain, which is involved in cell signaling, through phosphorylations and protein-protein interactions. In immunohistochemical assays, it superbly stains routine formalin/paraffin carcinoma tissues. Antibody to EMA is useful as a pan-epithelial marker for detecting early metastatic loci of carcinoma in bone marrow or liver.

Application Notes

Optimal dilution of the MUC1 antibody should be determined by the researcher.

1. Staining of formalin-fixed tissues requires boiling tissue sections in pH 9 10mM Tris with 1mM EDTA for 10-20 min followed by cooling at RT for 20 minutes
2. The prediluted format is supplied in a dropper bottle and is optimized for use in IHC. After epitope retrieval step (if required), drip mAb solution onto the tissue section and incubate at RT for 30 min.

Immunogen

Human milk-fat globule membranes (HMFGM) was used as the immunogen for the MUC1 antibody.

Storage

Store the MUC1 antibody at 2-8oC (with azide) or aliquot and store at -20oC or colder (without azide).

Cross
Bulk Quote Request Form
Name*:
Organization*:
Email*:
Phone Number*:
Catalog No.*:
Comments and Specifics(amount, formulation, etc.)*:
Validation code: Captchapackage Image


Can't read the image? click here to refresh.
    *required field

Your bulk quote request has been submitted successfully!

Please contact us if you have any questions.