• Tel: 858.663.9055
  • SeparatorEmail: info@nsjbio.com
  • Tel: 858.663.9055
  • Email: info@nsjbio.com
Home >> Antibodies >> mtTFA Antibody / TFAM / Mitochondrial transcription factor A

mtTFA Antibody / TFAM / Mitochondrial transcription factor A (R32176)

  Catalog No Formulation Size Price (USD)  
Image R32176 0.5mg/ml if reconstituted with 0.2ml sterile DI water 100 ug 439
Bulk quote request
IF/ICC staining of FFPE human A431 cells with mtTFA antibody (green) at 2ug/ml and DAPI nuclear stain (blue). HIER: steam section in pH6 citrate buffer for 20 min.
IHC testing of FFPE human lung cancer with mtTFA antibody. HIER: Boil the paraffin sections in pH 6, 10mM citrate buffer for 20 minutes and allow to cool prior to staining.
Western blot testing of human 1) Jurkat, 2) A431, 3) HL-60, 4) CCRF-CEM, 5) 293T and 6) SW620 lysate with mtTFA antibody at 0.5ug/ml. Expected molecular weight 24~29 kDa.
Western blot testing of 1) human Caco-2, 2) human SW620, 3) human PANC-1, 4) rat brain and 5) mouse brain lysate with mtTFA antibody. Expected molecular weight 24~29 kDa.
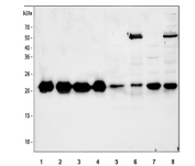
Western blot testing of 1) human 293T, 2) human K562, 3) human Caco-2, 4) human Raji, 5) rat brain, 6) rat PC-12, 7) mouse brain and 8) mouse NIH-3T3 cell lysate with mtTFA antibody. Expected molecular weight 24~29 kDa.
Immunoprecipitation of SMARCAD1 protein from 500ug of human K562 whole cell lysate with 2ug of SMARCAD1 antibody.
IHC staining of FFPE human liver cancer tissue with mtTFA antibody, HRP-labeled secondary and DAB substrate. HIER: boil tissue sections in pH8 EDTA for 20 min and allow to cool before testing.
IHC staining of FFPE human pancreas cancer tissue with mtTFA antibody, HRP-labeled secondary and DAB substrate. HIER: boil tissue sections in pH8 EDTA for 20 min and allow to cool before testing.
Immunofluorescent staining of FFPE human U-2 OS cells with mtTFA antibody (green), Alpha Tubulin mAb (red) and DAPI nuclear stain (blue). HIER: steam section in pH6 citrate buffer for 20 min.
Availability 1-3 business days
Species Reactivity Human, Mouse, Rat
Format Antigen affinity purified
Clonality Polyclonal (rabbit origin)
Isotype Rabbit IgG
Purity Antigen affinity
Buffer Lyophilized from 1X PBS with 2% Trehalose
UniProt Q00059
Localization Cytoplasmic
Applications Western Blot : 0.5-1ug/ml
Immunohistochemistry (FFPE) : 2-5ug/ml
Immunofluorescence (FFPE) : 5ug/ml
Immunoprecipitation : 2ug per 500ug of lysate
Limitations This mtTFA antibody is available for research use only.
Review this product on BioCompare and get a $20 Amazon gift card

Related Products

Description

Mitochondrial transcription factor A, commonly referred to as mtTFA or TFAM, is a key nuclear-encoded protein that plays an essential role in the maintenance and expression of mitochondrial DNA. It is a member of the high mobility group (HMG) protein family and functions by binding to mitochondrial DNA to initiate transcription and aid in replication. mtTFA is also involved in the compaction and structural organization of mitochondrial nucleoids.

The mtTFA protein is critical for mitochondrial biogenesis and energy production, making it an important target in studies related to metabolism, aging, neurodegenerative diseases, and cancer. Research indicates that mtTFA levels often correlate with mitochondrial content and function in cells, making it a widely used marker in mitochondrial biology. Multiple isoforms of mtTFA have been identified, which may have distinct regulatory roles or tissue-specific expression patterns, underscoring the importance of precise detection methods.

A well-validated mtTFA antibody is indispensable for mitochondrial research. The mtTFA antibody can be employed in western blot assays to quantify expression levels, in immunofluorescence to visualize mitochondrial localization, and in immunohistochemistry to assess tissue distribution. NSJ Bioreagents provides a high-specificity mtTFA antibody that delivers consistent and reliable results across a variety of applications in both basic and translational research.

Application Notes

Optimal dilution of the mtTFA antibody should be determined by the researcher.

Immunogen

Amino acids EMKSWEEQMIEVGRKDLLRRTIKKQRKY of human mtTFA were used as the immunogen for the mtTFA antibody.

Storage

After reconstitution, the mtTFA antibody can be stored for up to one month at 4oC. For long-term, aliquot and store at -20oC. Avoid repeated freezing and thawing.

Cross
Bulk Quote Request Form
Name*:
Organization*:
Email*:
Phone Number*:
Catalog No.*:
Comments and Specifics(amount, formulation, etc.)*:
Validation code: Captchapackage Image


Can't read the image? click here to refresh.
    *required field

Your bulk quote request has been submitted successfully!

Please contact us if you have any questions.