• Tel: 858.663.9055
  • SeparatorEmail: info@nsjbio.com
  • Tel: 858.663.9055
  • Email: info@nsjbio.com
Home >> Antibodies >> mtTFA Antibody

mtTFA Antibody [clone 4D9] (RQ5617)

  Catalog No Formulation Size Price (USD)  
Image RQ5617 0.5mg/ml if reconstituted with 0.2ml sterile DI water 100 ug 439
Bulk quote request
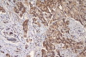
IHC staining of FFPE human rectal cancer with mtTFA antibody. HIER: boil tissue sections in pH6, 10mM citrate buffer, for 20 min and allow to cool before testing.
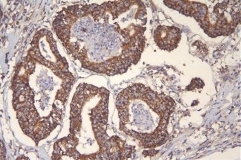
IHC staining of FFPE human breast cancer with mtTFA antibody. HIER: boil tissue sections in pH6, 10mM citrate buffer, for 20 min and allow to cool before testing.
Western blot testing of human 1) HEK293, 2) K562, 3) Caco-2, 4) Raji and 5) A549 lysate with mtTFA antibody. Expected molecular weight: 24~29 kDa.
Flow cytometry testing of human Caco-2 cells with mtTFA antibody at 1ug/million cells (blocked with goat sera); Red=cells alone, Green=isotype control, Blue= mtTFA antibody.
Availability 1-3 business days
Species Reactivity Human
Format Antigen affinity purified
Clonality Monoclonal (mouse origin)
Isotype Mouse IgG2b
Clone Name 4D9
Purity Affinity purified
Buffer Lyophilized from 1X PBS with 2% Trehalose and 0.025% sodium azide
UniProt Q00059
Localization Cytoplasmic
Applications Western Blot : 1-2ug/ml
Immunohistochemistry (FFPE) : 1-2ug/ml
Flow Cytometry : 1-3ug/million cells
Limitations This mtTFA antibody is available for research use only.
Review this product on BioCompare and get a $20 Amazon gift card

Related Products

  • Applications : IHC-P, WB
    Reactivity : Human
  • Applications : WB, IHC-P, IF
    Reactivity : Human
  • Applications : IHC, FACS, IF, WB, ELISA
    Reactivity : Human
  • Applications : WB, IHC-P, IF, IP
    Reactivity : Human, Mouse, Rat
  • Applications : WB, Direct ELISA
    Reactivity : Mouse, Rat

Description

TFAM (Transcription factor A, mitochondrial), also known as TCF6 or TCF6L2, is a 162-amino acid protein that activates transcription of each mitochondrial DNA (mtDNA) strand by binding to an element of approximately 30 nucleotides present in both the light-strand and the heavy-strand promoters. By Southern blot analysis of restriction enzyme digests of human/Chinese hamster somatic cell hybrid lines, Milatovich et al. (1992) mapped TFAM sequences, which they called MTTF1, to 3 different chromosomes: chromosomes 10, 7p, and 11q. By PCR-based screening of a somatic cell hybrid panel and by fluorescence in situ hybridization, Scott (2007) stated that the sequences mapped to chromosomes 7p (TCF6L1) and 11q (MTTF1, or TCF6L3) are pseudogenes. Larsson et al. (1997) mapped the mouse mitochondrial transcription factor A gene (Tfam) to the central part of mouse chromosome 10. This region exhibits syntenic homology with human 10q21. Mitochondrial transcription factor A is a key activator of mitochondrial transcription in mammals. It also has a role in mitochondrial DNA replication, since transcription generates an RNA primer necessary for initiation of mtDNA replication.

Application Notes

Optimal dilution of the mtTFA antibody should be determined by the researcher.

Immunogen

Amino acids EMKSWEEQMIEVGRKDLLRRTIKKQRKY were used as the immunogen for the mtTFA antibody.

Storage

After reconstitution, the mtTFA antibody can be stored for up to one month at 4oC. For long-term, aliquot and store at -20oC. Avoid repeated freezing and thawing.

Cross
Bulk Quote Request Form
Name*:
Organization*:
Email*:
Phone Number*:
Catalog No.*:
Comments and Specifics(amount, formulation, etc.)*:
Validation code: Captchapackage Image


Can't read the image? click here to refresh.
    *required field

Your bulk quote request has been submitted successfully!

Please contact us if you have any questions.