• Tel: 858.663.9055
  • SeparatorEmail: info@nsjbio.com
  • Tel: 858.663.9055
  • Email: info@nsjbio.com
Home >> Antibodies >> MTHFD1 Antibody / C-1-tetrahydrofolate synthase

MTHFD1 Antibody / C-1-tetrahydrofolate synthase (F54775)

  Catalog No Formulation Size Price (USD)  
Image F54775-0.4ML In 1X PBS, pH 7.4, with 0.09% sodium azide 0.4 ml 429
Image
F54775-0.08ML In 1X PBS, pH 7.4, with 0.09% sodium azide 0.08 ml 199
Bulk quote request
Western blot testing of human Y79 cell lysate with MTHFD1 antibody. Predicted molecular weight ~102 kDa.
Western blot testing of human 1) Jurkat and 2) K562 cell lysate with MTHFD1 antibody. Predicted molecular weight ~102 kDa.
Immunofluorescent staining of human HEK293 cells with MTHFD1 antibody (green) and DAPI nuclear stain (blue).
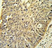
IHC testing of FFPE human lung carcinoma tissue with MTHFD1 antibody. HIER: steam section in pH6 citrate buffer for 20 min and allow to cool prior to staining.
Availability 1-3 business days
Species Reactivity Human
Format Purified
Clonality Polyclonal (rabbit origin)
Isotype Rabbit Ig
Purity Purified
UniProt P11586
Localization Cytoplasmic
Applications Immunofluorescence : 1:10-1:50
Western Blot : 1:500-1:2000
Immunohistochemistry (FFPE) : 1:50-1:100
Limitations This MTHFD1 antibody is available for research use only.
Review this product on BioCompare and get a $20 Amazon gift card

Related Products

Description

MTHFD1 is a protein that possesses three distinct enzymatic activities, 5,10-methylenetetrahydrofolate dehydrogenase, 5,10-methenyltetrahydrofolate cyclohydrolase and 10-formyltetrahydrofolate synthetase. Each of these activities catalyzes one of three sequential reactions in the interconversion of 1-carbon derivatives of tetrahydrofolate, which are substrates for methionine, thymidylate, and de novo purine syntheses. The trifunctional enzymatic activities are conferred by two major domains, an aminoterminal portion containing the dehydrogenase and cyclohydrolase activities and a larger synthetase domain.

Application Notes

The stated application concentrations are suggested starting points. Titration of the MTHFD1 antibody may be required due to differences in protocols and secondary/substrate sensitivity.

Immunogen

A portion of amino acids 535-562 from the human protein was used as the immunogen for the MTHFD1 antibody.

Storage

Aliquot the MTHFD1 antibody and store frozen at -20oC or colder. Avoid repeated freeze-thaw cycles.

Cross
Bulk Quote Request Form
Name*:
Organization*:
Email*:
Phone Number*:
Catalog No.*:
Comments and Specifics(amount, formulation, etc.)*:
Validation code: Captchapackage Image


Can't read the image? click here to refresh.
    *required field

Your bulk quote request has been submitted successfully!

Please contact us if you have any questions.