• Tel: 858.663.9055
  • SeparatorEmail: info@nsjbio.com
  • Tel: 858.663.9055
  • Email: info@nsjbio.com
Home >> Antibodies >> MT-ND5 Antibody / NADH-ubiquinone oxidoreductase chain 5

MT-ND5 Antibody / NADH-ubiquinone oxidoreductase chain 5 (RQ6660)

  Catalog No Formulation Size Price (USD)  
Image RQ6660 0.5mg/ml if reconstituted with 0.2ml sterile DI water 100 ug 439
Bulk quote request
Immunofluorescent staining of FFPE human HeLa cells with MT-ND5 antibody (green) and DAPI nuclear stain (blue). HIER: steam section in pH6 citrate buffer for 20 min.
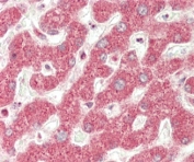
IHC staining of FFPE human liver cancer tissue with MT-ND5 antibody. HIER: boil tissue sections in pH8 EDTA for 20 min and allow to cool before testing.
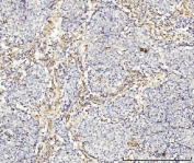
IHC staining of FFPE human lung cancer tissue with MT-ND5 antibody. HIER: boil tissue sections in pH8 EDTA for 20 min and allow to cool before testing.
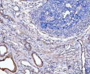
IHC staining of FFPE human appendiceal adenocarcinoma tissue with MT-ND5 antibody. HIER: boil tissue sections in pH8 EDTA for 20 min and allow to cool before testing.
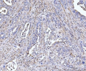
IHC staining of FFPE human bladder epithelial carcinoma tissue with MT-ND5 antibody. HIER: boil tissue sections in pH8 EDTA for 20 min and allow to cool before testing.
IHC staining of FFPE human colonic adenocarcinoma tissue with MT-ND5 antibody. HIER: boil tissue sections in pH8 EDTA for 20 min and allow to cool before testing.
IHC staining of FFPE human gastric cancer tissue with MT-ND5 antibody. HIER: boil tissue sections in pH8 EDTA for 20 min and allow to cool before testing.
IHC staining of FFPE rat heart tissue with MT-ND5 antibody. HIER: boil tissue sections in pH8 EDTA for 20 min and allow to cool before testing.
Western blot testing of human 1) HeLa, 2) HepG2 and 3) Raji cell lysate with MT-ND5 antibody. Expected molecular weight: 65-70 kDa.
Flow cytometry testing of human U-251 MG cells with MT-ND5 antibody at 1ug/million cells (blocked with goat sera); Red=cells alone, Green=isotype control, Blue= MT-ND5 antibody.
Availability 1-3 business days
Species Reactivity Human, Rat
Format Antigen affinity purified
Clonality Polyclonal (rabbit origin)
Isotype Rabbit IgG
Purity Antigen affinity purified
Buffer Lyophilized from 1X PBS with 2% Trehalose
UniProt P03915
Localization Cytoplasmic
Applications Western Blot : 1-2ug/ml
Immunohistochemistry (FFPE) : 2-5ug/ml
Immunofluorescence (FFPE) : 5ug/ml
Flow Cytometry : 1-3ug/million cells
Direct ELISA : 0.1-0.5ug/ml
Limitations This MT-ND5 antibody is available for research use only.
Review this product on BioCompare and get a $20 Amazon gift card

Related Products

Description

MT-ND5 is a gene of the mitochondrial genome coding for the NADH-ubiquinone oxidoreductase chain 5 protein (ND5). A small number of complex I subunits are the products of mitochondrial genes (subunits 1-7), while the remainder are nuclear encoded and imported from the cytoplasm. NADH dehydrogenase subunit 5 (ND5) is most likely a component of the hydrophobic protein fragment of Complex I. Mutations in the gene encoding for ND5 are implicated in Mitochondrial neurogastrointestinal encephalomyopathy, an autosomal recessive multisystem disorder that results in dramatically elevated levels of circulating thymidine and deoxyuridine.

Application Notes

Optimal dilution of the MT-ND5 antibody should be determined by the researcher.

Immunogen

Recombinant human protein (amino acids L154-Q570) was used as the immunogen for the MT-ND5 antibody.

Storage

After reconstitution, the MT-ND5 antibody can be stored for up to one month at 4oC. For long-term, aliquot and store at -20oC. Avoid repeated freezing and thawing.

Cross
Bulk Quote Request Form
Name*:
Organization*:
Email*:
Phone Number*:
Catalog No.*:
Comments and Specifics(amount, formulation, etc.)*:
Validation code: Captchapackage Image


Can't read the image? click here to refresh.
    *required field

Your bulk quote request has been submitted successfully!

Please contact us if you have any questions.