• Tel: 858.663.9055
  • SeparatorEmail: info@nsjbio.com
  • Tel: 858.663.9055
  • Email: info@nsjbio.com
Home >> Antibodies >> MSI2 Antibody / Musashi RNA-binding protein 2

MSI2 Antibody / Musashi RNA-binding protein 2 (FY12558)

  Catalog No Formulation Size Price (USD)  
Image FY12558 Adding 0.2 ml of distilled water will yield a concentration of 500 ug/ml 100 ug 439
Bulk quote request
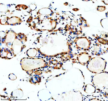
Immunohistochemical staining of MSI2 using anti-MSI2 antibody. MSI2 was detected in a paraffin-embedded section of human thyroid cancer tissue. Heat mediated antigen retrieval was performed in EDTA buffer (pH 8.0, epitope retrieval solution). The tissue section was blocked with 10% goat serum. The tissue section was then incubated with 2 ug/ml rabbit anti-MSI2 antibody overnight at 4oC. Peroxidase Conjugated Goat Anti-rabbit IgG was used as secondary antibody and incubated for 30 minutes at 37oC. The tissue section was developed using an HRP secondary and DAB substrate.
Western blot analysis of MSI2 using anti-MSI2 antibody. Electrophoresis was performed on a 10% SDS-PAGE gel at 80V (Stacking gel) / 120V (Resolving gel) for 2 hours. Lane 1: human SH-SY5Y whole cell lysates, Lane 2: human RT4 whole cell lysates, Lane 3: human U251 whole cell lysates, Lane 4: human HepG2 whole cell lysates, Lane 5: rat brain tissue lysates, Lane 6: rat C6 tissue lysates, Lane 7: mouse brain tissue lysates, Lane 8: mouse Neuro-2a tissue lysates. After electrophoresis, proteins were transferred to a nitrocellulose membrane at 150 mA for 50-90 minutes. Blocked the membrane with 5% non-fat milk/TBS for 1.5 hour at RT. The membrane was incubated with rabbit anti-MSI2 antibody at 0.5 ug/ml overnight at 4oC, then washed with TBS-0.1%Tween 3 times with 5 minutes each and probed with a goat anti-rabbit IgG-HRP secondary antibody at a dilution of 1:5000 for 1.5 hour at RT. The signal was developed using an ECL Plus Western Blotting Substrate. MSI2 (~35-39 kDa predicted, isoform-dependent) was detected as a tight doublet at ~35-38 kDa, consistent with documented phosphorylation-dependent mobility shifts and small isoform size differences for MSI2.
Immunohistochemical staining of MSI2 using anti-MSI2 antibody. MSI2 was detected in a paraffin-embedded section of rat brain tissue. Heat mediated antigen retrieval was performed in EDTA buffer (pH 8.0, epitope retrieval solution). The tissue section was blocked with 10% goat serum. The tissue section was then incubated with 2 ug/ml rabbit anti-MSI2 antibody overnight at 4oC. Peroxidase Conjugated Goat Anti-rabbit IgG was used as secondary antibody and incubated for 30 minutes at 37oC. The tissue section was developed using an HRP secondary and DAB substrate.
Immunofluorescent staining of MSI2 using anti-MSI2 antibody (red). MSI2 was detected in a paraffin-embedded section of human thyroid cancer tissue. Heat mediated antigen retrieval was performed in EDTA buffer (pH 8.0, epitope retrieval solution). The tissue section was blocked with 10% goat serum. The tissue section was then incubated with 5 ug/ml rabbit anti-MSI2 antibody overnight at 4oC. Cy3 Conjugated Goat Anti-Rabbit IgG was used as secondary antibody at 1:500 dilution and incubated for 30 minutes at 37oC. The section was counterstained with DAPI nuclear stain (blue). Visualize using a fluorescence microscope and filter sets appropriate for the label used.
Immunofluorescent staining of MSI2 using anti-MSI2 antibody (red). MSI2 was detected in a paraffin-embedded section of rat brain tissue. Heat mediated antigen retrieval was performed in EDTA buffer (pH 8.0, epitope retrieval solution). The tissue section was blocked with 10% goat serum. The tissue section was then incubated with 5 ug/ml rabbit anti-MSI2 antibody overnight at 4oC. Cy3 Conjugated Goat Anti-Rabbit IgG was used as secondary antibody at 1:500 dilution and incubated for 30 minutes at 37oC. The section was counterstained with DAPI nuclear stain (blue). Visualize using a fluorescence microscope and filter sets appropriate for the label used.
Flow Cytometry analysis of SH-SY5Y cells using anti-MSI2 antibody. Overlay histogram showing SH-SY5Y cells stained with (Blue line). To facilitate intracellular staining, cells were fixed with 4% paraformaldehyde and permeabilized with permeabilization buffer. The cells were blocked with 10% normal goat serum. And then incubated with rabbit anti-MSI2 antibody (1 ug/million cells) for 30 min at 20oC. DyLight 488 conjugated goat anti-rabbit IgG (5-10 ug/million cells) was used as secondary antibody for 30 minutes at 20oC. Isotype control antibody (Green line) was rabbit IgG (1 ug/million cells) used under the same conditions. Unlabelled sample without incubation with primary antibody and secondary antibody (Red line) was used as a blank control.
Availability 1-2 days
Species Reactivity Human, Mouse, Rat
Format Lyophilized
Clonality Polyclonal (rabbit origin)
Isotype Rabbit IgG
Purity Immunogen affinity purified
Buffer Each vial contains 4 mg Trehalose, 0.9 mg NaCl, 0.2 mg Na2HPO4.
UniProt Q96DH6
Applications Western Blot : 0.25-0.5ug/ml
Immunohistochemistry : 2-5ug/ml
Immunofluorescence : 5ug/ml
Flow Cytometry : 1-3ug/million cells
Limitations This MSI2 antibody is available for research use only.
Review this product on BioCompare and get a $20 Amazon gift card

Related Products

  • Applications : WB, IHC-P
    Reactivity : Human, Mouse
    Recrabbitmono
  • Applications : WB, ELISA (peptide)
    Reactivity : Human, Mouse
    Pred. Reactivity : Dog
  • Applications : WB, ELISA (peptide)
    Reactivity : Human, Mouse
    Pred. Reactivity : Cow

Description

MSI2 antibody detects Musashi RNA-binding protein 2, an evolutionarily conserved RNA-binding protein that regulates mRNA translation and stem cell maintenance. MSI2 belongs to the Musashi family, which controls post-transcriptional gene expression during development and cancer progression. The MSI2 antibody is widely used in stem cell biology, leukemia research, and studies of neural differentiation to examine mRNA regulation and self-renewal mechanisms.

MSI2 is encoded by the MSI2 gene located on human chromosome 17q23.2. The protein is approximately 38 kilodaltons and contains two RNA recognition motifs (RRMs) at the N-terminus that specifically bind to target mRNAs containing UAG motifs in their 3' untranslated regions. Through this interaction, MSI2 represses translation of transcripts involved in differentiation while enhancing those promoting proliferation and stemness. MSI2 expression is particularly high in hematopoietic stem cells and neural progenitors.

The MSI2 antibody detects a 38 kilodalton band by western blot and shows cytoplasmic and perinuclear staining in stem cell populations and tumor cells. MSI2 regulates asymmetric cell division and maintains an undifferentiated state by antagonizing translational repressors such as PABP and interacting with the translational initiation machinery. In hematopoiesis, MSI2 cooperates with HOXA9 and MYC signaling to promote leukemic transformation. Overexpression correlates with poor prognosis in acute myeloid leukemia, breast cancer, and colorectal carcinoma.

In the nervous system, MSI2 modulates neurogenesis by controlling translation of key developmental regulators such as NUMB and REST. Loss of MSI2 leads to premature differentiation and reduced progenitor proliferation. Its function is tightly regulated by phosphorylation and interaction with signaling pathways including Notch and mTOR.

Because of its dual role in maintaining stemness and driving oncogenesis, MSI2 serves as a key marker and therapeutic target in cancer stem cell biology. NSJ Bioreagents provides a validated MSI2 antibody optimized for its applications, supporting detailed research into translational control, stem cell regulation, and tumor initiation.

Application Notes

Optimal dilution of the MSI2 antibody should be determined by the researcher.

Immunogen

A synthetic peptide corresponding to a sequence at the N-terminus of human MSI2 was used as the immunogen for the MSI2 antibody.

Storage

After reconstitution, the MSI2 antibody can be stored for up to one month at 4oC. For long-term, aliquot and store at -20oC. Avoid repeated freezing and thawing.

Cross
Bulk Quote Request Form
Name*:
Organization*:
Email*:
Phone Number*:
Catalog No.*:
Comments and Specifics(amount, formulation, etc.)*:
Validation code: Captchapackage Image


Can't read the image? click here to refresh.
    *required field

Your bulk quote request has been submitted successfully!

Please contact us if you have any questions.